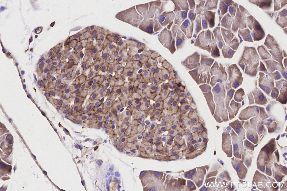
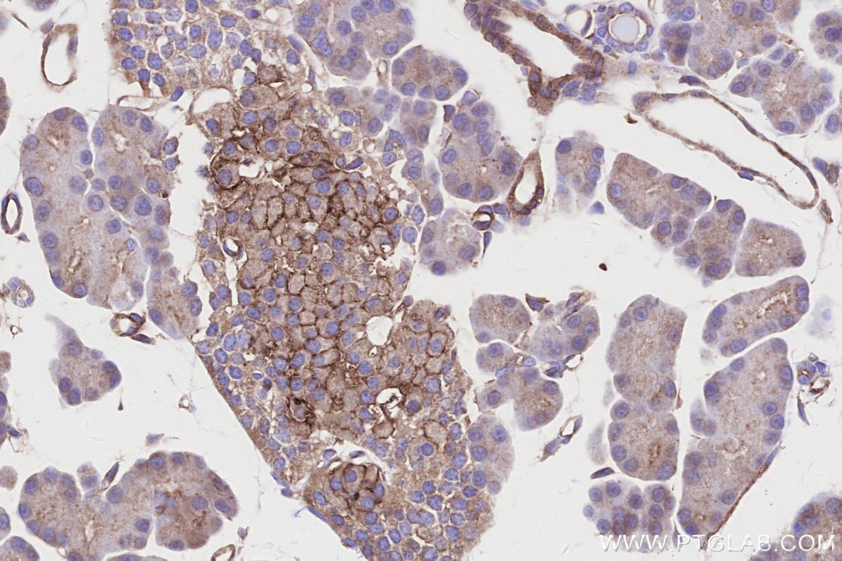
IHCeasy® GLUT2 Ready-To-Use IHC Kit
GLUT2 Ready-to-use reagent kit for IHC.
Cat no : KHC3177
Synonyms
GLUT-2, SLC2A2
Validation Data Gallery View All
Product Information
KHC3177 is a ready-to-use IHC kit for staining of GLUT2. The kit provides all reagents, from antigen retrieval to cover slip mounting, that require little to no diluting or handling prior to use. Simply apply the reagents to your sample slide according to the protocol and you're steps away from obtaining high-quality IHC data.
| Product name | IHCeasy® GLUT2 Ready-To-Use IHC Kit |
| Sample type | FFPE tissue |
| Assay type | Immunohistochemistry |
| Primary antibody type | Rabbit Polyclonal |
| Secondary antibody type | Polymer-HRP-Goat anti-Rabbit |
| Reactivity | Human, Mouse, Rat |
Kit components
| Component | Size | Concentration |
|---|---|---|
| Antigen Retrieval Buffer | 100 mL | 50× |
| Washing Buffer | 100 mL ×2 | 20× |
| Blocking Buffer | 5 mL | RTU |
| Primary Antibody | 5 mL | RTU |
| Secondary Antibody | 5 mL | RTU |
| Chromogen Component A | 0.2 mL | RTU |
| Chromogen Component B | 4 mL | RTU |
| Signal Enhancer | 5 mL | RTU |
| Counter Staining Reagent | 5 mL | RTU |
| Mounting Media | 5 mL | RTU |
| Datasheet | 1 Copy | |
| Manual | 1 Copy |
Background Information
GLUT2 is a member of glucose transporters or GLUTs which catalyze the glucose transport across plasma membrane. GLUT2 is selectively expressed in hepatocytes, pancreatic beta cells, and absorptive renal and intestinal epithelial cells. GLUT2 is required to maintain normal glucose homeostasis and normal function and development of the endocrine pancreas. Its absence leads to symptoms characteristic of non-insulin-dependent diabetes mellitus.
Properties
| Storage Instructions | All the reagents are stored at 2-8°C. The kit is stable for 6 months from the date of receipt. |
| Synonyms | GLUT-2, SLC2A2 |



