IHCeasy® GRAF Ready-To-Use IHC Kit
GRAF Ready-to-use reagent kit for IHC.
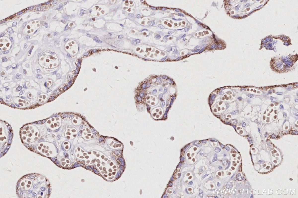
Cat no : KHC3042
Synonyms
ARHGAP26, GRAF1, KIAA0621, Oligophrenin 1 like protein, Oligophrenin-1-like protein
Validation Data Gallery View All
Product Information
KHC3042 is a ready-to-use IHC kit for staining of GRAF. The kit provides all reagents, from antigen retrieval to cover slip mounting, that require little to no diluting or handling prior to use. Simply apply the reagents to your sample slide according to the protocol and you're steps away from obtaining high-quality IHC data.
| Product name | IHCeasy® GRAF Ready-To-Use IHC Kit |
| Sample type | FFPE tissue |
| Assay type | Immunohistochemistry |
| Primary antibody type | Rabbit Recombinant |
| Secondary antibody type | Polymer-HRP-Goat anti-Rabbit |
| Reactivity | Human |
Kit components
| Component | Size | Concentration |
|---|---|---|
| Antigen Retrieval Buffer | 100 mL | 50× |
| Washing Buffer | 100 mL ×2 | 20× |
| Blocking Buffer | 5 mL | RTU |
| Primary Antibody | 5 mL | RTU |
| Secondary Antibody | 5 mL | RTU |
| Chromogen Component A | 0.2 mL | RTU |
| Chromogen Component B | 4 mL | RTU |
| Signal Enhancer | 5 mL | RTU |
| Counter Staining Reagent | 5 mL | RTU |
| Mounting Media | 5 mL | RTU |
| Datasheet | 1 Copy | |
| Manual | 1 Copy |
Background Information
GTPase Regulator Associated with Focal Adhesion Kinase (GRAF), also known as Rho GTPase activating protein 26 (ARHGAP26) , is a GTPase-activating protein and inhibits the activity of Rho GTPases by promoting the hydrolytic ability of Rho GTPases. GRAF enhances the hydrolysis of GTPases and converts GTPases from an active form to an inactive form, thereby inhibiting signaling transduction. Deletion and mutation of ARHGAP26 can lead to promyelocytic leukemia, suggesting tumor suppressive activity of ARHGAP26. ARHGAP26 was downregulated in glioblastoma and associated with cell proliferation and migration.
Properties
| Storage Instructions | All the reagents are stored at 2-8°C. The kit is stable for 6 months from the date of receipt. |
| Synonyms | ARHGAP26, GRAF1, KIAA0621, Oligophrenin 1 like protein, Oligophrenin-1-like protein |

