IHCeasy® GSR Ready-To-Use IHC Kit
GSR Ready-to-use reagent kit for IHC.
Cat no : KHC3159
Synonyms
EC:1.8.1.7, GLUR, glutathione reductase, GRase, GRD1
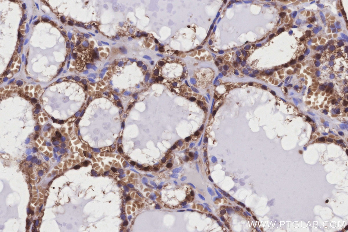
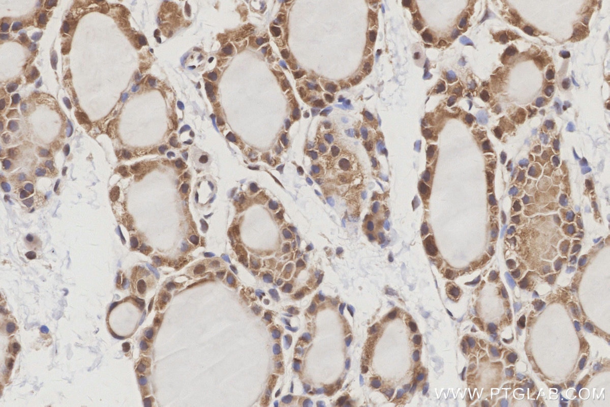
Validation Data Gallery View All
Product Information
KHC3159 is a ready-to-use IHC kit for staining of GSR. The kit provides all reagents, from antigen retrieval to cover slip mounting, that require little to no diluting or handling prior to use. Simply apply the reagents to your sample slide according to the protocol and you're steps away from obtaining high-quality IHC data.
| Product name | IHCeasy® GSR Ready-To-Use IHC Kit |
| Sample type | FFPE tissue |
| Assay type | Immunohistochemistry |
| Primary antibody type | Rabbit Recombinant |
| Secondary antibody type | Polymer-HRP-Goat anti-Rabbit |
| Reactivity | Human, Rat |
Kit components
| Component | Size | Concentration |
|---|---|---|
| Antigen Retrieval Buffer | 100 mL | 50× |
| Washing Buffer | 100 mL ×2 | 20× |
| Blocking Buffer | 5 mL | RTU |
| Primary Antibody | 5 mL | RTU |
| Secondary Antibody | 5 mL | RTU |
| Chromogen Component A | 0.2 mL | RTU |
| Chromogen Component B | 4 mL | RTU |
| Signal Enhancer | 5 mL | RTU |
| Counter Staining Reagent | 5 mL | RTU |
| Mounting Media | 5 mL | RTU |
| Datasheet | 1 Copy | |
| Manual | 1 Copy |
Background Information
GSR(Glutathione reductase) is also named as GLUR, GRD1 and belongs to the class-I pyridine nucleotide-disulfide oxidoreductase family.It was first found in a black American a variant red cell GSR characterized by greater electrophoretic mobility and enzyme activity per unit of hemoglobin than the normal.This protein maintains high levels of reduced glutathione in the cytosol.
Properties
| Storage Instructions | All the reagents are stored at 2-8°C. The kit is stable for 6 months from the date of receipt. |
| Synonyms | EC:1.8.1.7, GLUR, glutathione reductase, GRase, GRD1 |


