IHCeasy® IDH3B Ready-To-Use IHC Kit
IDH3B Ready-to-use reagent kit for IHC.
Cat no : KHC3145
Synonyms
H IDHB, NAD(+)-specific ICDH subunit beta, RP46
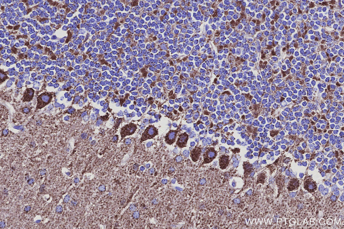
Validation Data Gallery View All
Product Information
KHC3145 is a ready-to-use IHC kit for staining of IDH3B. The kit provides all reagents, from antigen retrieval to cover slip mounting, that require little to no diluting or handling prior to use. Simply apply the reagents to your sample slide according to the protocol and you're steps away from obtaining high-quality IHC data.
| Product name | IHCeasy® IDH3B Ready-To-Use IHC Kit |
| Sample type | FFPE tissue |
| Assay type | Immunohistochemistry |
| Primary antibody type | Mouse Monoclonal |
| Secondary antibody type | Polymer-HRP-Goat anti-Mouse |
| Reactivity | Human, Mouse, Rat |
Kit components
| Component | Size | Concentration |
|---|---|---|
| Antigen Retrieval Buffer | 100 mL | 50× |
| Washing Buffer | 100 mL ×2 | 20× |
| Blocking Buffer | 5 mL | RTU |
| Primary Antibody | 5 mL | RTU |
| Secondary Antibody | 5 mL | RTU |
| Chromogen Component A | 0.2 mL | RTU |
| Chromogen Component B | 4 mL | RTU |
| Signal Enhancer | 5 mL | RTU |
| Counter Staining Reagent | 5 mL | RTU |
| Mounting Media | 5 mL | RTU |
| Datasheet | 1 Copy | |
| Manual | 1 Copy |
Background Information
Isocitrate dehydrogenase 3 (IDH3) is a key enzyme in the mitochondrial tricarboxylic acid (TCA) cycle, which catalyzes the decarboxylation of isocitrate into α-ketoglutarate and concurrently converts NAD+ into NADH. IDH3B(Isocitrate dehydrogenase 3 (NAD+) beta), also named as RP46, is the beta subunit of IDH3 and controls its substrate levels in the TCA cycle, and it is required for sperm mitochondrial metabolism and spermiogenesis. In addition, DH3B expression increased PFKFB3 protein levels and enhanced glucose uptake, and high expression of IDH3B correlated with poor survival in patients with ESCC, suggesting a potential application of IDH3B in prognosis.
Properties
| Storage Instructions | All the reagents are stored at 2-8°C. The kit is stable for 6 months from the date of receipt. |
| Synonyms | H IDHB, NAD(+)-specific ICDH subunit beta, RP46 |



