IHCeasy® INO80 Ready-To-Use IHC Kit
INO80 Ready-to-use reagent kit for IHC.
Cat no : KHC3035
Synonyms
Chromatin-remodeling ATPase INO80, DNA helicase-related INO80 complex homolog 1, DNA helicase-related protein INO80, EC:3.6.4.-, hINO80
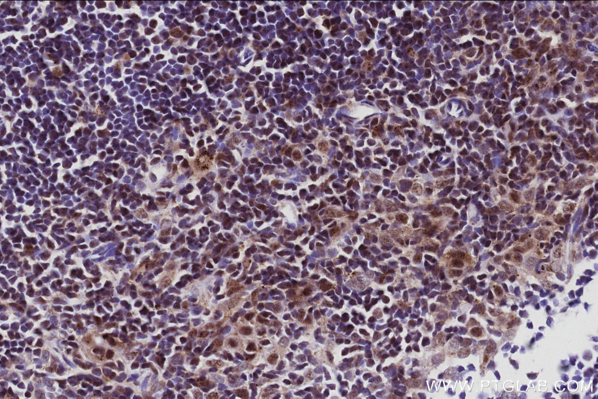
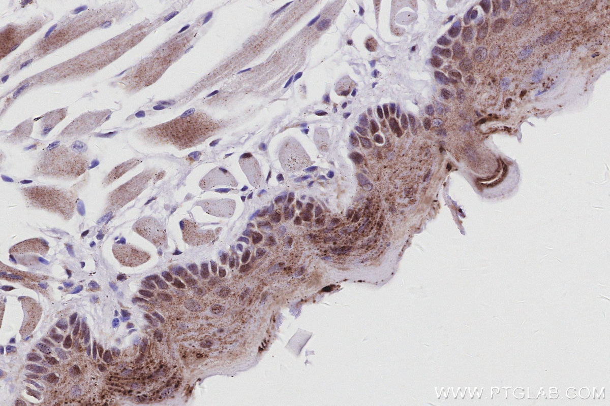
Validation Data Gallery View All
Product Information
KHC3035 is a ready-to-use IHC kit for staining of INO80. The kit provides all reagents, from antigen retrieval to cover slip mounting, that require little to no diluting or handling prior to use. Simply apply the reagents to your sample slide according to the protocol and you're steps away from obtaining high-quality IHC data.
| Product name | IHCeasy® INO80 Ready-To-Use IHC Kit |
| Sample type | FFPE tissue |
| Assay type | Immunohistochemistry |
| Primary antibody type | Rabbit Recombinant |
| Secondary antibody type | Polymer-HRP-Goat anti-Rabbit |
| Reactivity | Human, Mouse, Rat |
Kit components
| Component | Size | Concentration |
|---|---|---|
| Antigen Retrieval Buffer | 100 mL | 50× |
| Washing Buffer | 100 mL ×2 | 20× |
| Blocking Buffer | 5 mL | RTU |
| Primary Antibody | 5 mL | RTU |
| Secondary Antibody | 5 mL | RTU |
| Chromogen Component A | 0.2 mL | RTU |
| Chromogen Component B | 4 mL | RTU |
| Signal Enhancer | 5 mL | RTU |
| Counter Staining Reagent | 5 mL | RTU |
| Mounting Media | 5 mL | RTU |
| Datasheet | 1 Copy | |
| Manual | 1 Copy |
Background Information
DNA helicase INO80, also namd as INO80 or hINO80, is a 1,556 amino acid protein, which contains one helicase C-terminal domain, one helicase ATP-binding domain, and one DBINO domain. INO80 co-localizes with PCMA at replication forks during S-phase in the nucleus and belongs to the SNF2 helicase family. INO80 is a component of the chromatin remolding INO80 complex and is widely expressed in many tissues, such as brain,liver and pancreas. INO80 is involved in transcription regulation.
Properties
| Storage Instructions | All the reagents are stored at 2-8°C. The kit is stable for 6 months from the date of receipt. |
| Synonyms | Chromatin-remodeling ATPase INO80, DNA helicase-related INO80 complex homolog 1, DNA helicase-related protein INO80, EC:3.6.4.-, hINO80 |





