IHCeasy® IRSp53 Ready-To-Use IHC Kit
IRSp53 Ready-to-use reagent kit for IHC.
Cat no : KHC3049
Synonyms
BAIAP2, BAI associated protein 2, BAI1 associated protein 2, BAI1-associated protein 2, BAI-associated protein 2
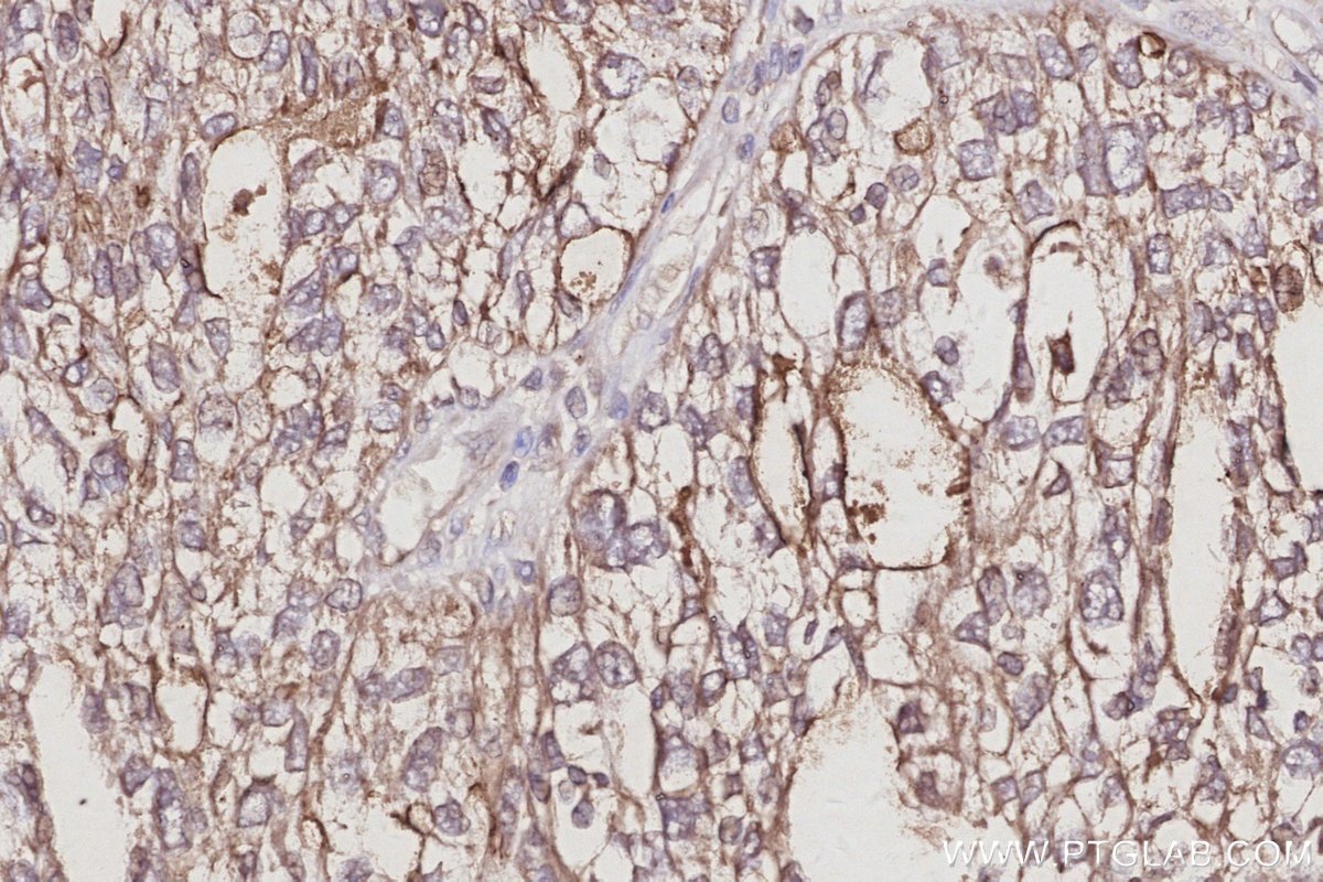
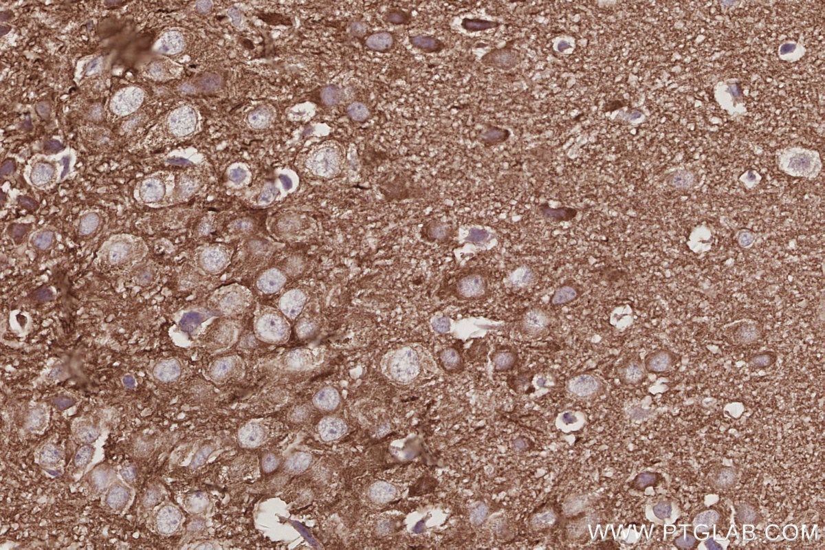
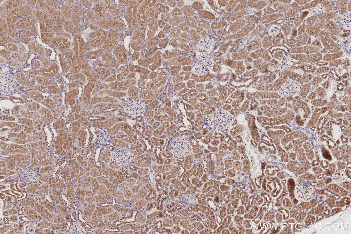
Validation Data Gallery View All
Product Information
KHC3049 is a ready-to-use IHC kit for staining of IRSp53. The kit provides all reagents, from antigen retrieval to cover slip mounting, that require little to no diluting or handling prior to use. Simply apply the reagents to your sample slide according to the protocol and you're steps away from obtaining high-quality IHC data.
| Product name | IHCeasy® IRSp53 Ready-To-Use IHC Kit |
| Sample type | FFPE tissue |
| Assay type | Immunohistochemistry |
| Primary antibody type | Rabbit Polyclonal |
| Secondary antibody type | Polymer-HRP-Goat anti-Rabbit |
| Reactivity | Human, Mouse, Rat |
Kit components
| Component | Size | Concentration |
|---|---|---|
| Antigen Retrieval Buffer | 100 mL | 50× |
| Washing Buffer | 100 mL ×2 | 20× |
| Blocking Buffer | 5 mL | RTU |
| Primary Antibody | 5 mL | RTU |
| Secondary Antibody | 5 mL | RTU |
| Chromogen Component A | 0.2 mL | RTU |
| Chromogen Component B | 4 mL | RTU |
| Signal Enhancer | 5 mL | RTU |
| Counter Staining Reagent | 5 mL | RTU |
| Mounting Media | 5 mL | RTU |
| Datasheet | 1 Copy | |
| Manual | 1 Copy |
Background Information
IRSp53 (also known as BAIAP2) is a multi-domain adaptor protein that originally identified as a 58/53-kDa substrate of insulin-receptor kinase in the hamster. As a BAI1-binding protein, IRSp53 plays an important role in linking between membrane and cytoskeleton in the process of neuronal growth. IRSp53 is necessary for Cdc42-mediated reorganization of the actin cytoskeleton and for Rac1-mediated membrane ruffling. Alternatively spliced isoforms of IRSp53 exist. IRSp53 has been implicated in several psychiatric disorders, including autism spectrum disorders (ASDs), schizophrenia, and attention deficit/hyperactivity disorder (ADHD).
Properties
| Storage Instructions | All the reagents are stored at 2-8°C. The kit is stable for 6 months from the date of receipt. |
| Synonyms | BAIAP2, BAI associated protein 2, BAI1 associated protein 2, BAI1-associated protein 2, BAI-associated protein 2 |




