IHCeasy® MAD1L1/MAD1 Ready-To-Use IHC Kit
MAD1L1/MAD1 Ready-to-use reagent kit for IHC.
Cat no : KHC3089
Synonyms
MAD1, MAD1L1, hMAD1, HsMAD1, MAD1-like protein 1
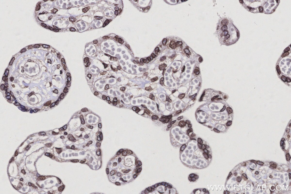
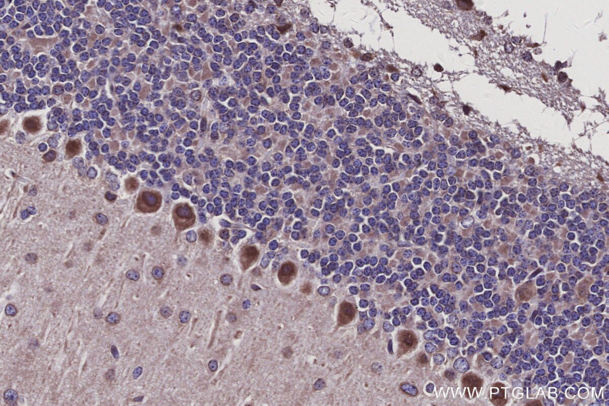
Validation Data Gallery View All
Product Information
KHC3089 is a ready-to-use IHC kit for staining of MAD1L1/MAD1. The kit provides all reagents, from antigen retrieval to cover slip mounting, that require little to no diluting or handling prior to use. Simply apply the reagents to your sample slide according to the protocol and you're steps away from obtaining high-quality IHC data.
| Product name | IHCeasy® MAD1L1/MAD1 Ready-To-Use IHC Kit |
| Sample type | FFPE tissue |
| Assay type | Immunohistochemistry |
| Primary antibody type | Rabbit Polyclonal |
| Secondary antibody type | Polymer-HRP-Goat anti-Rabbit |
| Reactivity | Human |
Kit components
| Component | Size | Concentration |
|---|---|---|
| Antigen Retrieval Buffer | 100 mL | 50× |
| Washing Buffer | 100 mL ×2 | 20× |
| Blocking Buffer | 5 mL | RTU |
| Primary Antibody | 5 mL | RTU |
| Secondary Antibody | 5 mL | RTU |
| Chromogen Component A | 0.2 mL | RTU |
| Chromogen Component B | 4 mL | RTU |
| Signal Enhancer | 5 mL | RTU |
| Counter Staining Reagent | 5 mL | RTU |
| Mounting Media | 5 mL | RTU |
| Datasheet | 1 Copy | |
| Manual | 1 Copy |
Background Information
MAD1L1 is a component of the spindle-assembly checkpoint that prevents the onset of anaphase until all chromosomes are properly aligned at the metaphase plate. It recruits MAD2L1 to unattached kinetochores. Also it is required for anchoring MAD2L1 to the nuclear periphery. In addition, it binds to the TERT promoter and represses telomerase expression, possibly by interfering with MYC binding.
Properties
| Storage Instructions | All the reagents are stored at 2-8°C. The kit is stable for 6 months from the date of receipt. |
| Synonyms | MAD1, MAD1L1, hMAD1, HsMAD1, MAD1-like protein 1 |


