IHCeasy® MEA1 Ready-To-Use IHC Kit
MEA1 Ready-to-use reagent kit for IHC.
Cat no : KHC3125
Synonyms
HYS, Male-enhanced antigen 1, MEA, MEA-1
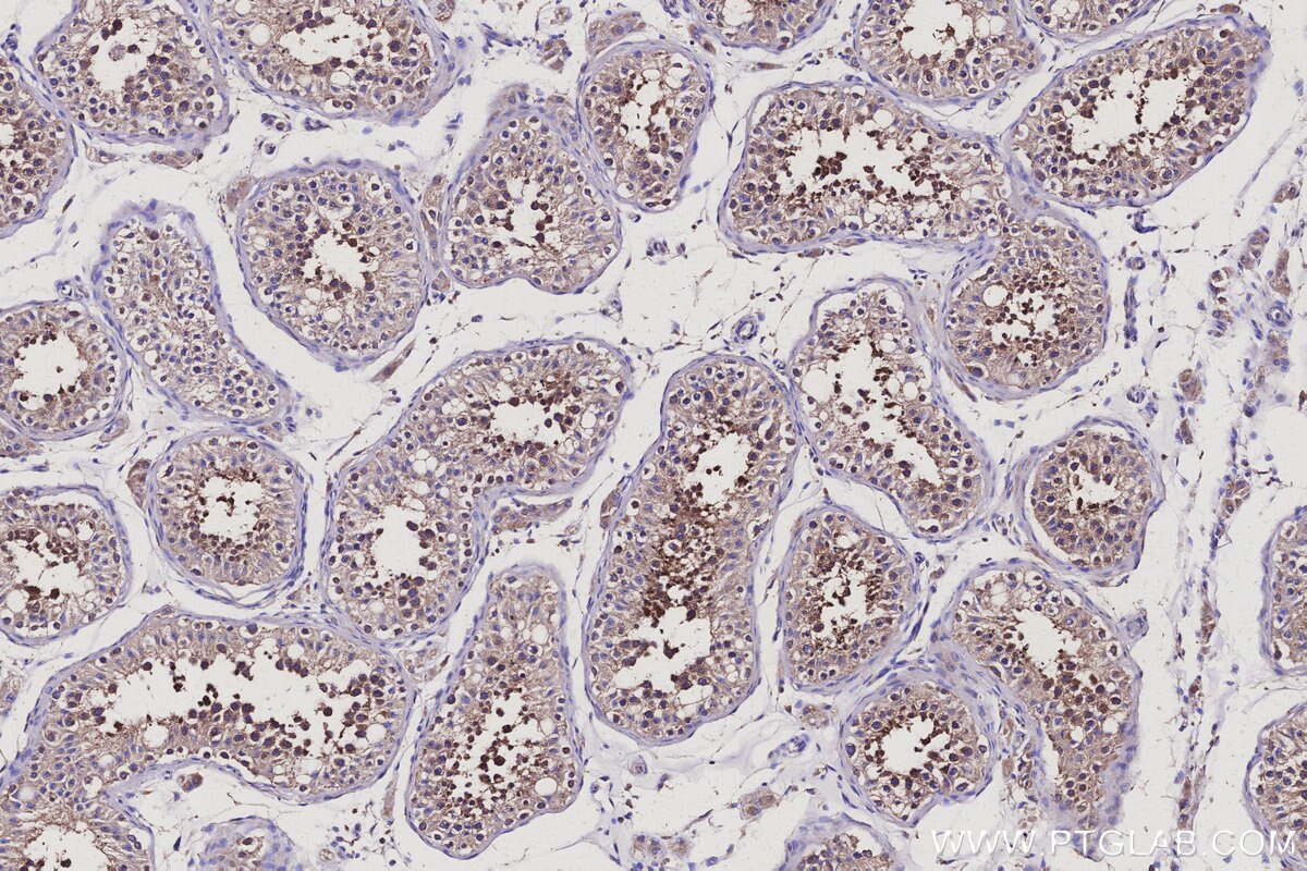
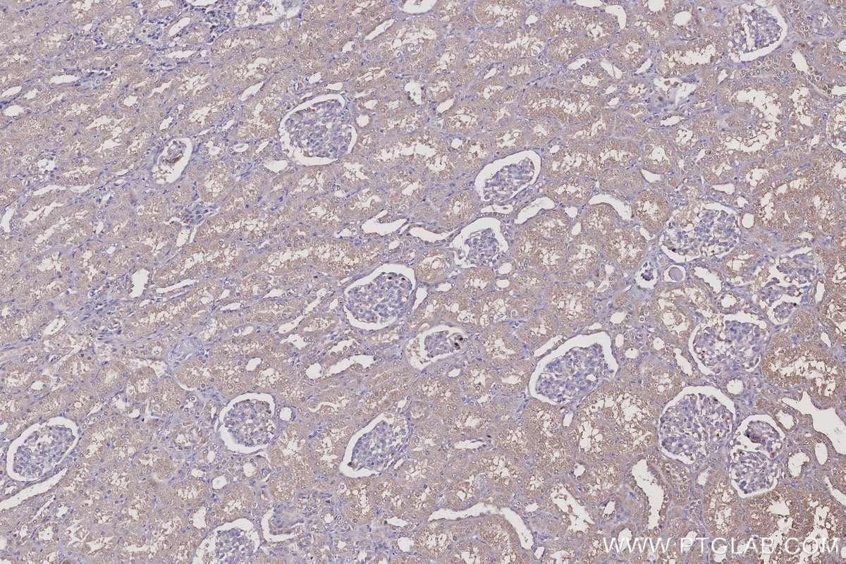
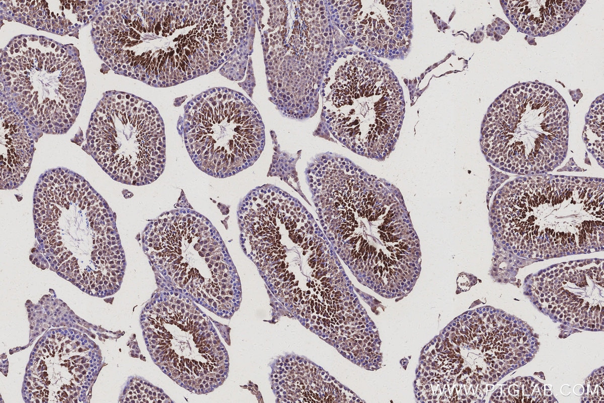
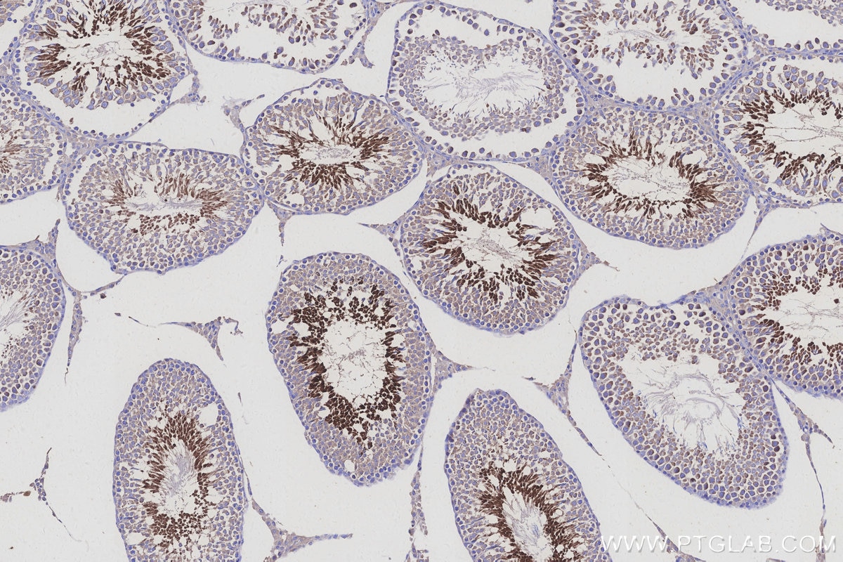
Validation Data Gallery View All
Product Information
KHC3125 is a ready-to-use IHC kit for staining of MEA1. The kit provides all reagents, from antigen retrieval to cover slip mounting, that require little to no diluting or handling prior to use. Simply apply the reagents to your sample slide according to the protocol and you're steps away from obtaining high-quality IHC data.
| Product name | IHCeasy® MEA1 Ready-To-Use IHC Kit |
| Sample type | FFPE tissue |
| Assay type | Immunohistochemistry |
| Primary antibody type | Mouse Monoclonal |
| Secondary antibody type | Polymer-HRP-Goat anti-Mouse |
| Reactivity | Human, Mouse, Rat |
Kit components
| Component | Size | Concentration |
|---|---|---|
| Antigen Retrieval Buffer | 100 mL | 50× |
| Washing Buffer | 100 mL ×2 | 20× |
| Blocking Buffer | 5 mL | RTU |
| Primary Antibody | 5 mL | RTU |
| Secondary Antibody | 5 mL | RTU |
| Chromogen Component A | 0.2 mL | RTU |
| Chromogen Component B | 4 mL | RTU |
| Signal Enhancer | 5 mL | RTU |
| Counter Staining Reagent | 5 mL | RTU |
| Mounting Media | 5 mL | RTU |
| Datasheet | 1 Copy | |
| Manual | 1 Copy |
Background Information
MEA1, also named as Male-enhanced antigen 1, is a 185 amino acid protein, which is highly expressed in testis. MEA1 may play an important role in spermatogenesis and/or testis development.
Properties
| Storage Instructions | All the reagents are stored at 2-8°C. The kit is stable for 6 months from the date of receipt. |
| Synonyms | HYS, Male-enhanced antigen 1, MEA, MEA-1 |





