IHCeasy® MEKK2 Ready-To-Use IHC Kit
MEKK2 Ready-to-use reagent kit for IHC.
Cat no : KHC3058
Synonyms
MAP3K2, EC:2.7.11.25, MAPKKK2, MEK kinase 2, MEKK 2
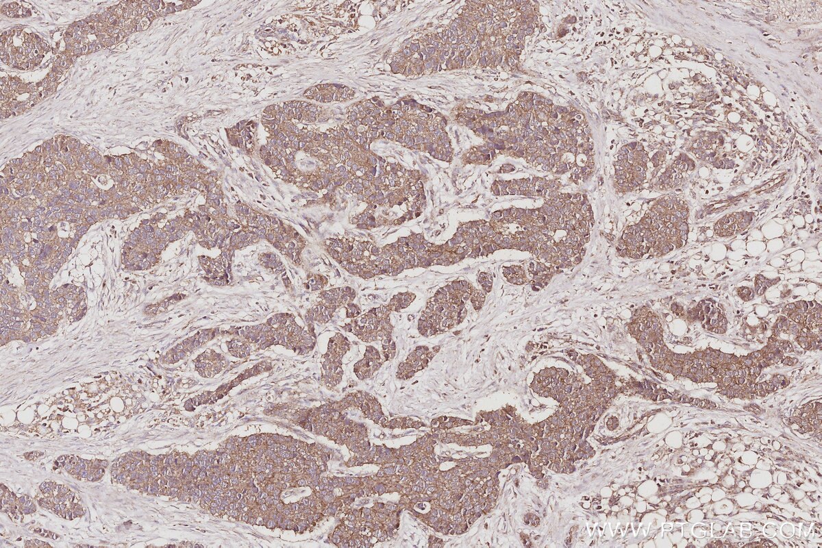
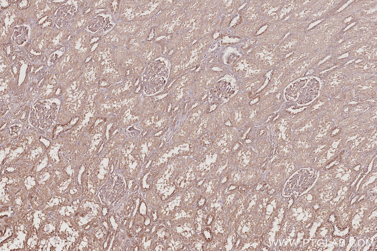
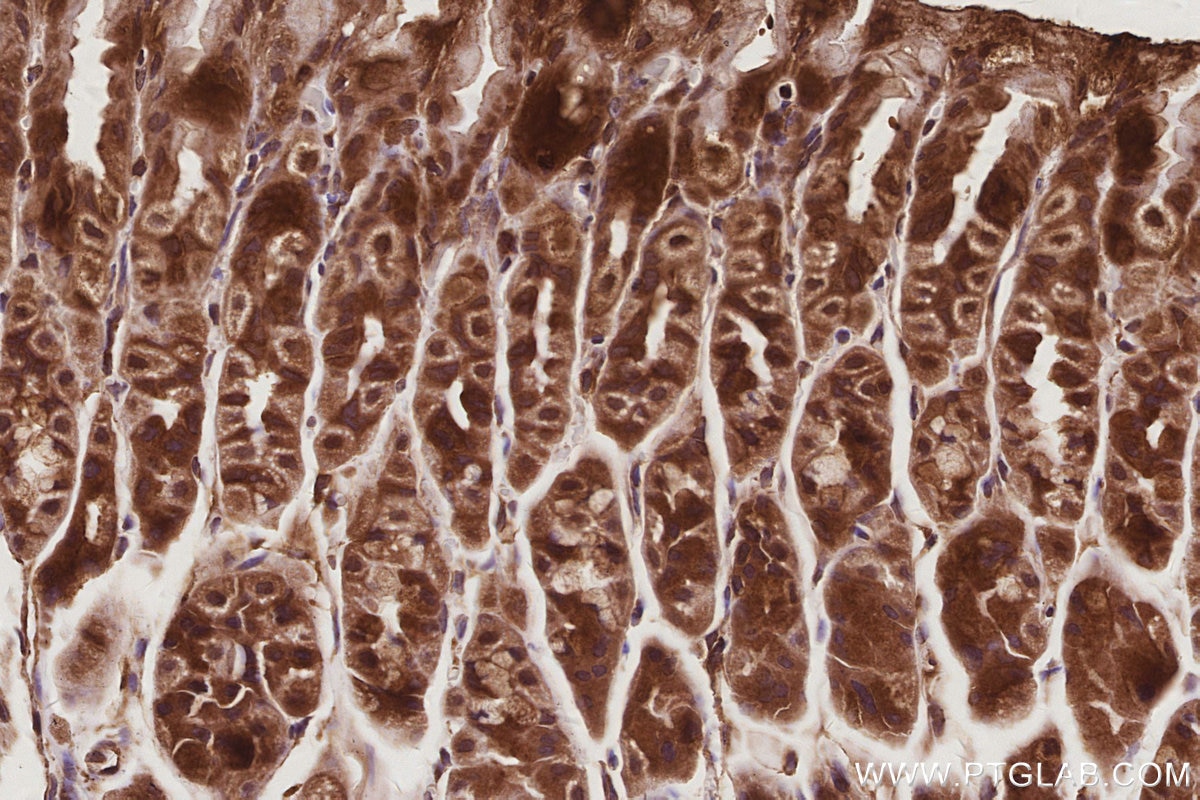
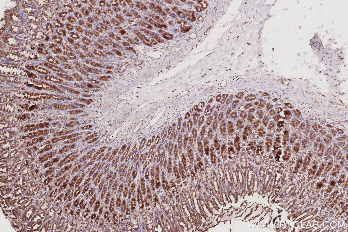
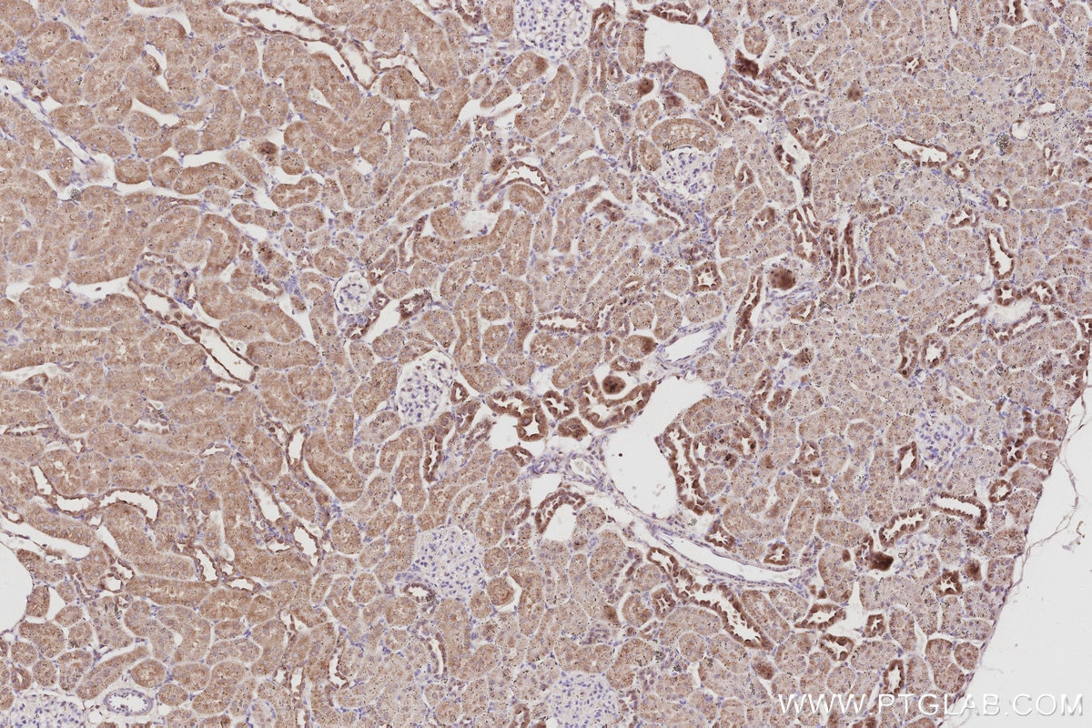
Validation Data Gallery View All
Product Information
KHC3058 is a ready-to-use IHC kit for staining of MEKK2. The kit provides all reagents, from antigen retrieval to cover slip mounting, that require little to no diluting or handling prior to use. Simply apply the reagents to your sample slide according to the protocol and you're steps away from obtaining high-quality IHC data.
| Product name | IHCeasy® MEKK2 Ready-To-Use IHC Kit |
| Sample type | FFPE tissue |
| Assay type | Immunohistochemistry |
| Primary antibody type | Rabbit Polyclonal |
| Secondary antibody type | Polymer-HRP-Goat anti-Rabbit |
| Reactivity | Human, Mouse, Rat |
Kit components
| Component | Size | Concentration |
|---|---|---|
| Antigen Retrieval Buffer | 100 mL | 50× |
| Washing Buffer | 100 mL ×2 | 20× |
| Blocking Buffer | 5 mL | RTU |
| Primary Antibody | 5 mL | RTU |
| Secondary Antibody | 5 mL | RTU |
| Chromogen Component A | 0.2 mL | RTU |
| Chromogen Component B | 4 mL | RTU |
| Signal Enhancer | 5 mL | RTU |
| Counter Staining Reagent | 5 mL | RTU |
| Mounting Media | 5 mL | RTU |
| Datasheet | 1 Copy | |
| Manual | 1 Copy |
Background Information
MAP3K2, also named as MEKK2 and MEKK2B, belongs to the protein kinase superfamily, STE Ser/Thr protein kinase family and MAPK kinase kinase subfamily. It is a component of a protein kinase signal transduction cascade. MAP3K2 mediates activation of the NF-kappa-B, AP1 and DDIT3 transcriptional regulators.
Properties
| Storage Instructions | All the reagents are stored at 2-8°C. The kit is stable for 6 months from the date of receipt. |
| Synonyms | MAP3K2, EC:2.7.11.25, MAPKKK2, MEK kinase 2, MEKK 2 |





