IHCeasy® MTCO3 Ready-To-Use IHC Kit
MTCO3 Ready-to-use reagent kit for IHC.
Cat no : KHC3160
Synonyms
COX3, COIII, COX 3, COXIII, MT CO3
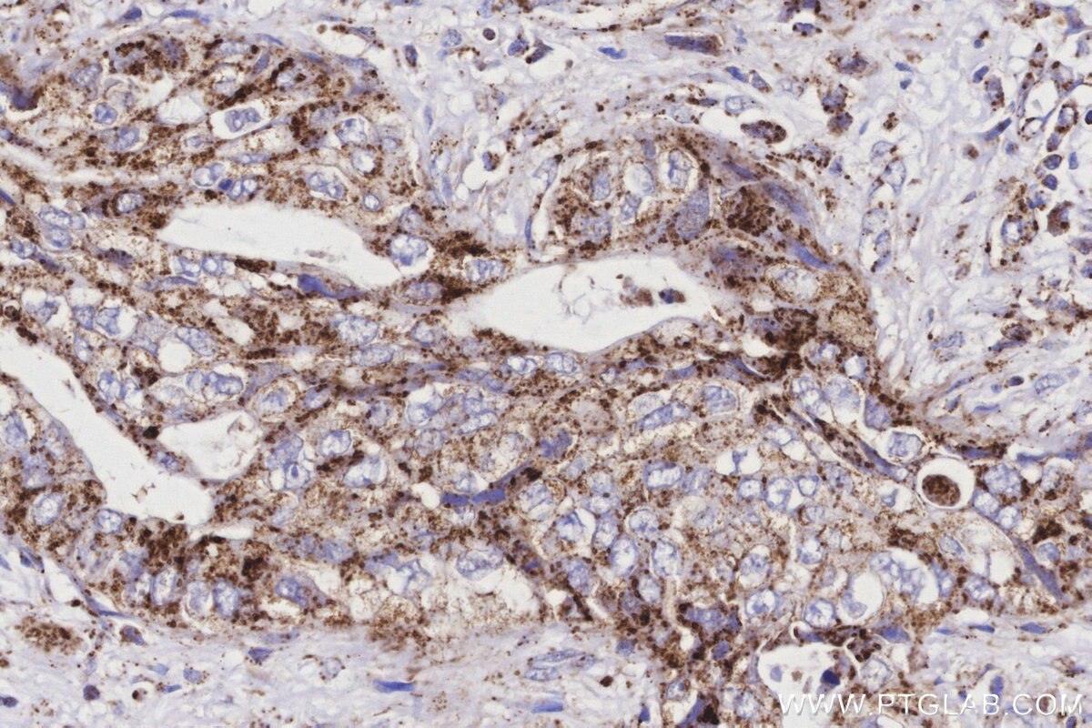
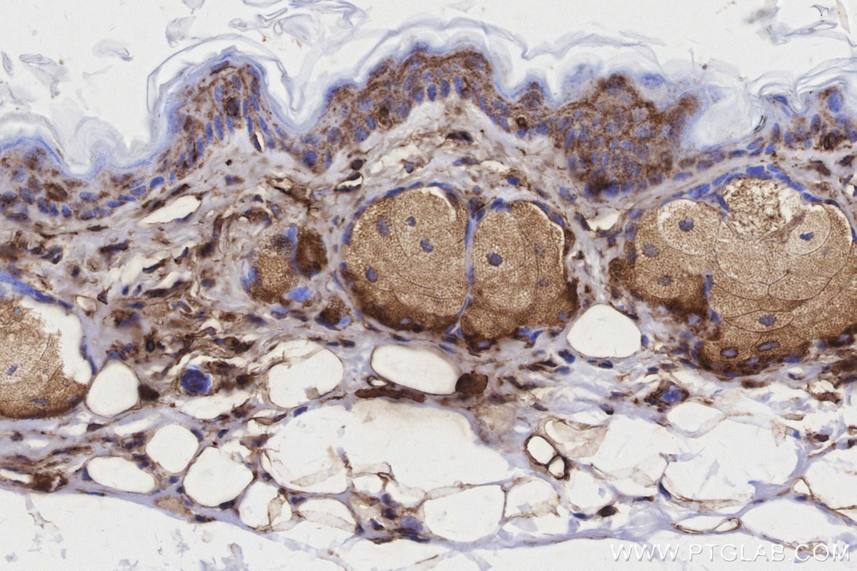
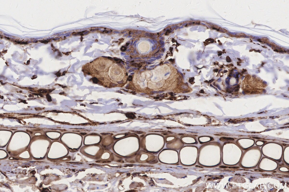
Validation Data Gallery View All
Product Information
KHC3160 is a ready-to-use IHC kit for staining of MTCO3. The kit provides all reagents, from antigen retrieval to cover slip mounting, that require little to no diluting or handling prior to use. Simply apply the reagents to your sample slide according to the protocol and you're steps away from obtaining high-quality IHC data.
| Product name | IHCeasy® MTCO3 Ready-To-Use IHC Kit |
| Sample type | FFPE tissue |
| Assay type | Immunohistochemistry |
| Primary antibody type | Rabbit Recombinant |
| Secondary antibody type | Polymer-HRP-Goat anti-Rabbit |
| Reactivity | Human, Mouse, Rat |
Kit components
| Component | Size | Concentration |
|---|---|---|
| Antigen Retrieval Buffer | 100 mL | 50× |
| Washing Buffer | 100 mL ×2 | 20× |
| Blocking Buffer | 5 mL | RTU |
| Primary Antibody | 5 mL | RTU |
| Secondary Antibody | 5 mL | RTU |
| Chromogen Component A | 0.2 mL | RTU |
| Chromogen Component B | 4 mL | RTU |
| Signal Enhancer | 5 mL | RTU |
| Counter Staining Reagent | 5 mL | RTU |
| Mounting Media | 5 mL | RTU |
| Datasheet | 1 Copy | |
| Manual | 1 Copy |
Background Information
MTCO3 (cytochrome c oxidase subunit III) is a mitochondrial DNA encoded subunit of respiratory Complex IV which is located within the mitochondrial inner membrane and is the final enzyme of the electron transport chain of mitochondrial oxidative phosphorylation.
Properties
| Storage Instructions | All the reagents are stored at 2-8°C. The kit is stable for 6 months from the date of receipt. |
| Synonyms | COX3, COIII, COX 3, COXIII, MT CO3 |







