IHCeasy® NCKAP1 Ready-To-Use IHC Kit
NCKAP1 Ready-to-use reagent kit for IHC.
Cat no : KHC3053
Synonyms
HEM2, KIAA0587, Membrane-associated protein HEM-2, NAP 1, NAP1
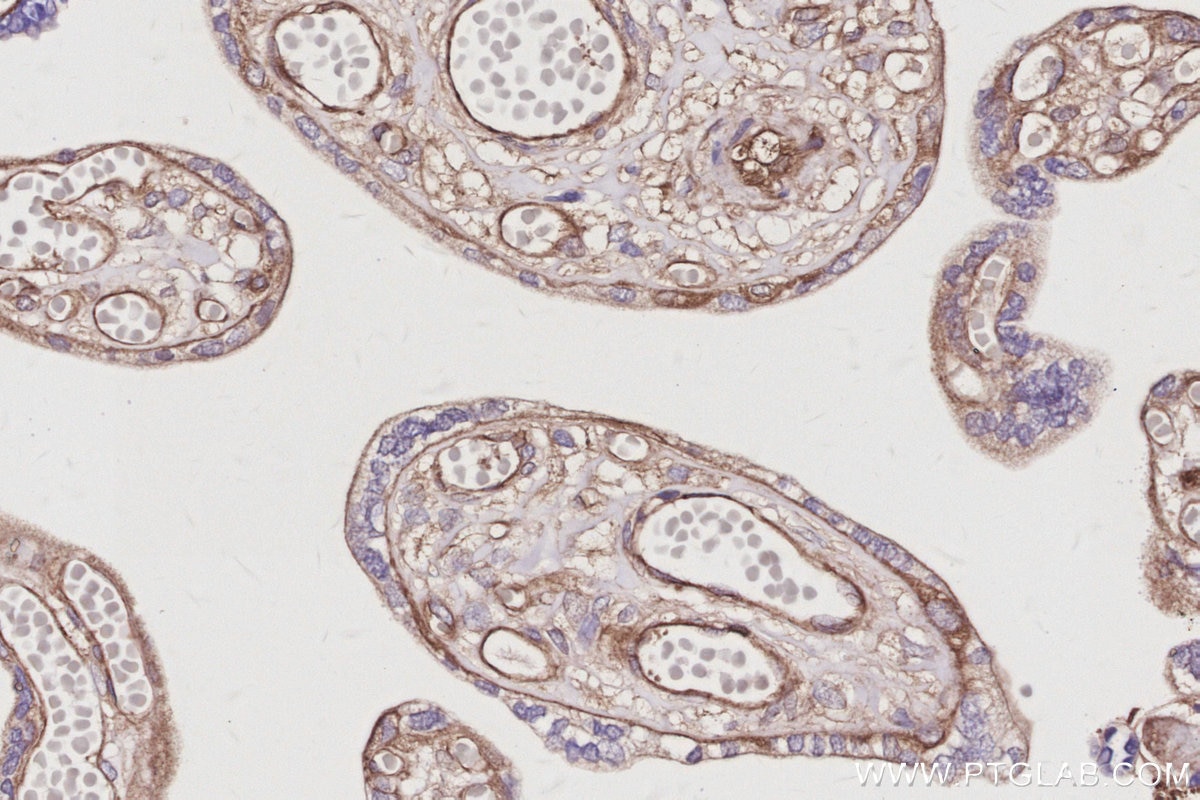
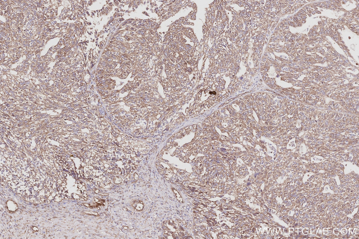
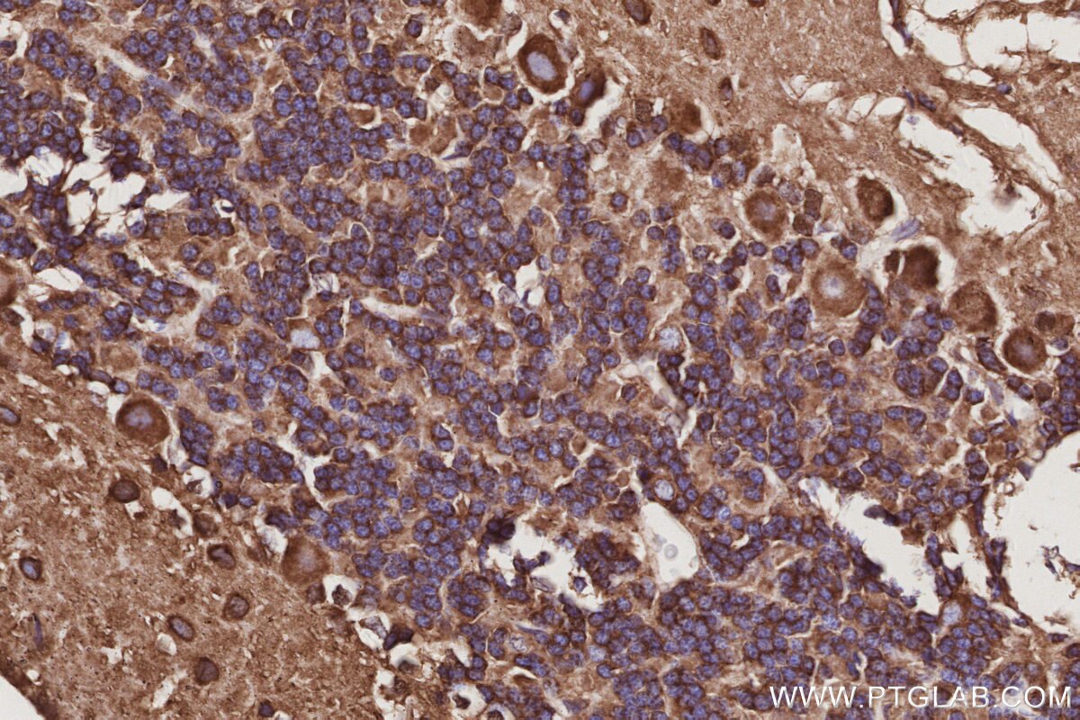
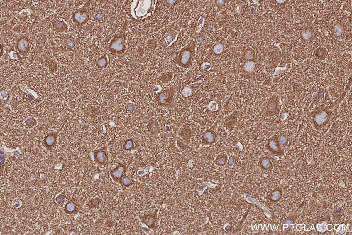
Validation Data Gallery View All
Product Information
KHC3053 is a ready-to-use IHC kit for staining of NCKAP1. The kit provides all reagents, from antigen retrieval to cover slip mounting, that require little to no diluting or handling prior to use. Simply apply the reagents to your sample slide according to the protocol and you're steps away from obtaining high-quality IHC data.
| Product name | IHCeasy® NCKAP1 Ready-To-Use IHC Kit |
| Sample type | FFPE tissue |
| Assay type | Immunohistochemistry |
| Primary antibody type | Rabbit Recombinant |
| Secondary antibody type | Polymer-HRP-Goat anti-Rabbit |
| Reactivity | Human, Mouse, Rat |
Kit components
| Component | Size | Concentration |
|---|---|---|
| Antigen Retrieval Buffer | 100 mL | 50× |
| Washing Buffer | 100 mL ×2 | 20× |
| Blocking Buffer | 5 mL | RTU |
| Primary Antibody | 5 mL | RTU |
| Secondary Antibody | 5 mL | RTU |
| Chromogen Component A | 0.2 mL | RTU |
| Chromogen Component B | 4 mL | RTU |
| Signal Enhancer | 5 mL | RTU |
| Counter Staining Reagent | 5 mL | RTU |
| Mounting Media | 5 mL | RTU |
| Datasheet | 1 Copy | |
| Manual | 1 Copy |
Background Information
NCK-associated protein 1 (NCKAP1), also known as NAP1 or HEM2, is encoded by an apoptosis-related gene human NAP1, the expression of which is strongly down-regulated in sporadic Alzheimer's disease (AD). Human NAP1 is predominantly expressed in neuronal cells. Antisense oligo DNA of human NAP1 transcripts was found to induce apoptosis of neuronal cells. Loss of NAP1 function disrupts neuronal differentiation. Likewise, NAP1 plays an essential role in facilitating neuronal cytoskeletal changes underlying the postmigratory differentiation of cortical neurons, a critical step in functional wiring of the cortex. Human NAP1 is also proved to be an orthologue of rat Nap1 which binds to the adaptor molecule NCK in signal transduction.
Properties
| Storage Instructions | All the reagents are stored at 2-8°C. The kit is stable for 6 months from the date of receipt. |
| Synonyms | HEM2, KIAA0587, Membrane-associated protein HEM-2, NAP 1, NAP1 |






