IHCeasy® NDUFS5 Ready-To-Use IHC Kit
NDUFS5 Ready-to-use reagent kit for IHC.
Cat no : KHC3146
Synonyms
CI 15 kDa, CI-15 kDa, Complex I 15 kDa, Complex I-15 kDa, NADH dehydrogenase [ubiquinone] iron-sulfur protein 5
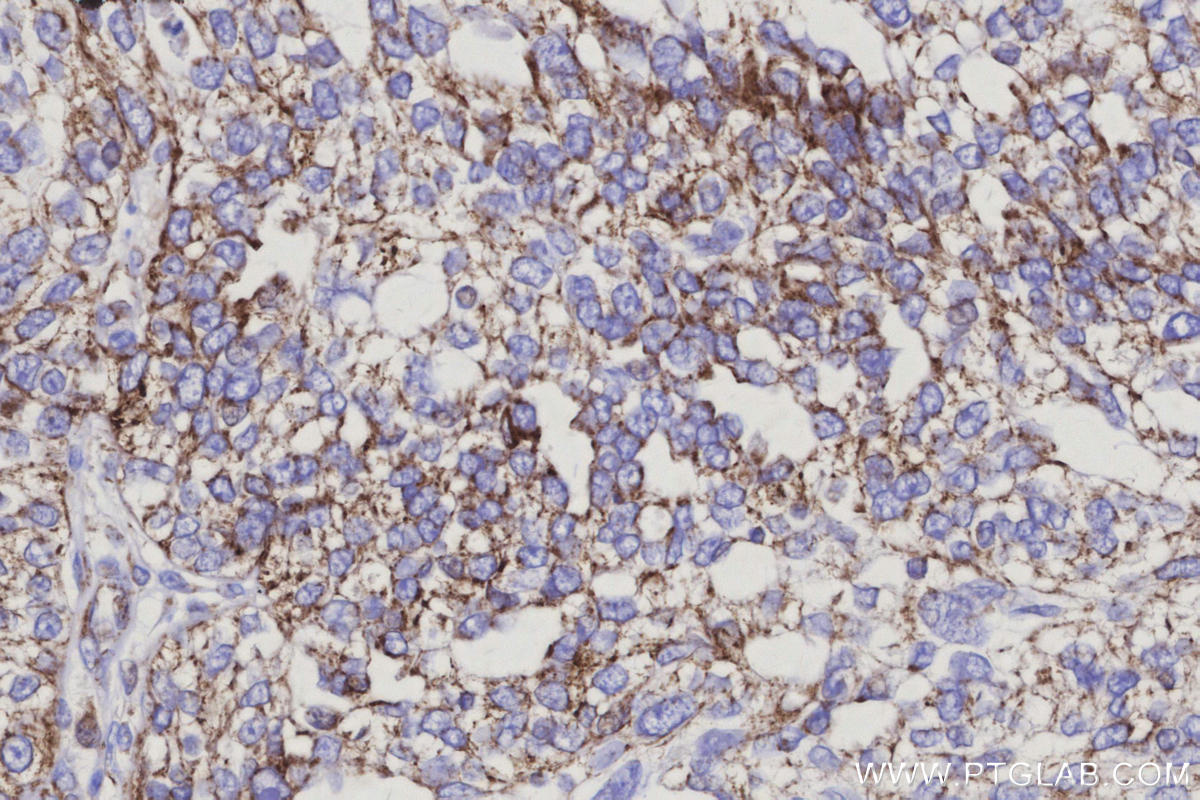
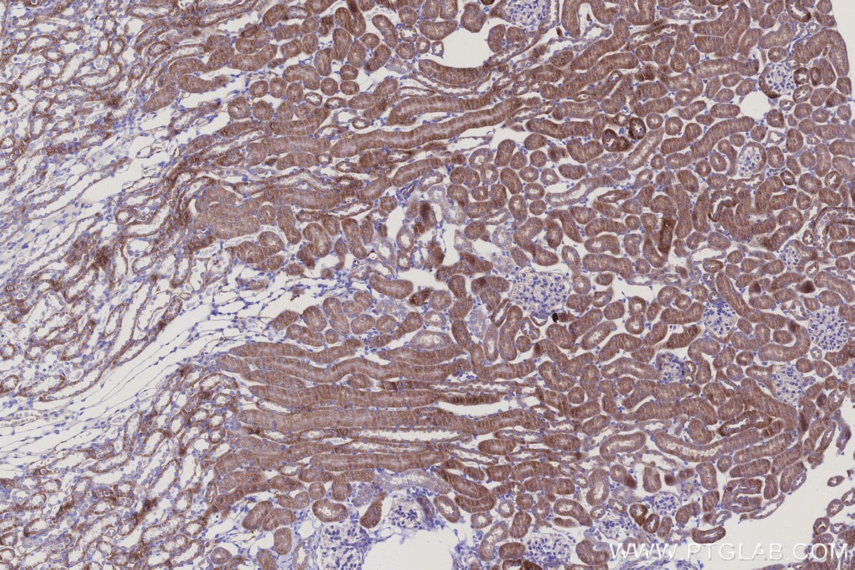
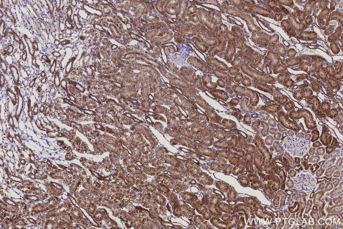
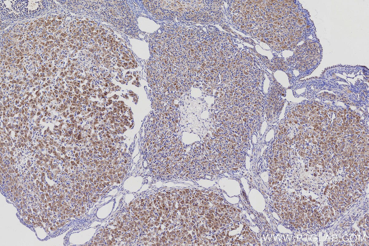
Validation Data Gallery View All
Product Information
KHC3146 is a ready-to-use IHC kit for staining of NDUFS5. The kit provides all reagents, from antigen retrieval to cover slip mounting, that require little to no diluting or handling prior to use. Simply apply the reagents to your sample slide according to the protocol and you're steps away from obtaining high-quality IHC data.
| Product name | IHCeasy® NDUFS5 Ready-To-Use IHC Kit |
| Sample type | FFPE tissue |
| Assay type | Immunohistochemistry |
| Primary antibody type | Mouse Monoclonal |
| Secondary antibody type | Polymer-HRP-Goat anti-Mouse |
| Reactivity | Human, Mouse, Rat |
Kit components
| Component | Size | Concentration |
|---|---|---|
| Antigen Retrieval Buffer | 100 mL | 50× |
| Washing Buffer | 100 mL ×2 | 20× |
| Blocking Buffer | 5 mL | RTU |
| Primary Antibody | 5 mL | RTU |
| Secondary Antibody | 5 mL | RTU |
| Chromogen Component A | 0.2 mL | RTU |
| Chromogen Component B | 4 mL | RTU |
| Signal Enhancer | 5 mL | RTU |
| Counter Staining Reagent | 5 mL | RTU |
| Mounting Media | 5 mL | RTU |
| Datasheet | 1 Copy | |
| Manual | 1 Copy |
Background Information
NDUFS5 gene is a member of the NADH dehydrogenase (ubiquinone) iron-sulfur protein family. The encoded protein is a subunit of the NADH:ubiquinone oxidoreductase (complex I), the first enzyme complex in the electron transport chain located in the inner mitochondrial membrane. The NDUFS5 mRNA is expressed ubiquitously in human tissues, with a relative higher expression in human heart, skeletal muscle, liver, kidney and fetal heart. The NDUFS5 (15 kDa) subunit located at mitochondrion and contains two C-X9-C motifs that are predicted to form a helix-coil-helix structure, permitting the formation of intramolecular disulfide bonds.
Properties
| Storage Instructions | All the reagents are stored at 2-8°C. The kit is stable for 6 months from the date of receipt. |
| Synonyms | CI 15 kDa, CI-15 kDa, Complex I 15 kDa, Complex I-15 kDa, NADH dehydrogenase [ubiquinone] iron-sulfur protein 5 |






