IHCeasy® NDUFS6 Ready-To-Use IHC Kit
NDUFS6 Ready-to-use reagent kit for IHC.
Cat no : KHC3150
Synonyms
CI 13kD A, CI-13kD-A, Complex I 13kD A, Complex I-13kD-A, NADH dehydrogenase [ubiquinone] iron-sulfur protein 6, mitochondrial
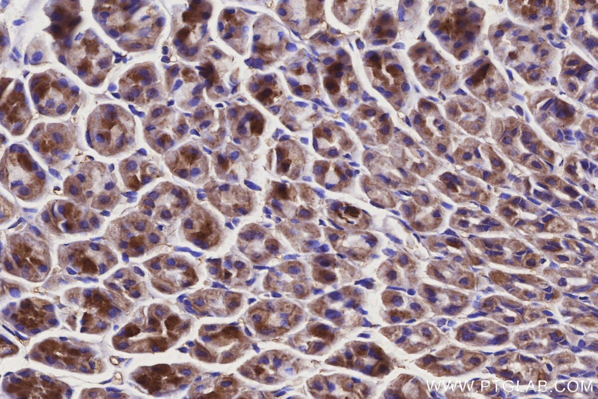
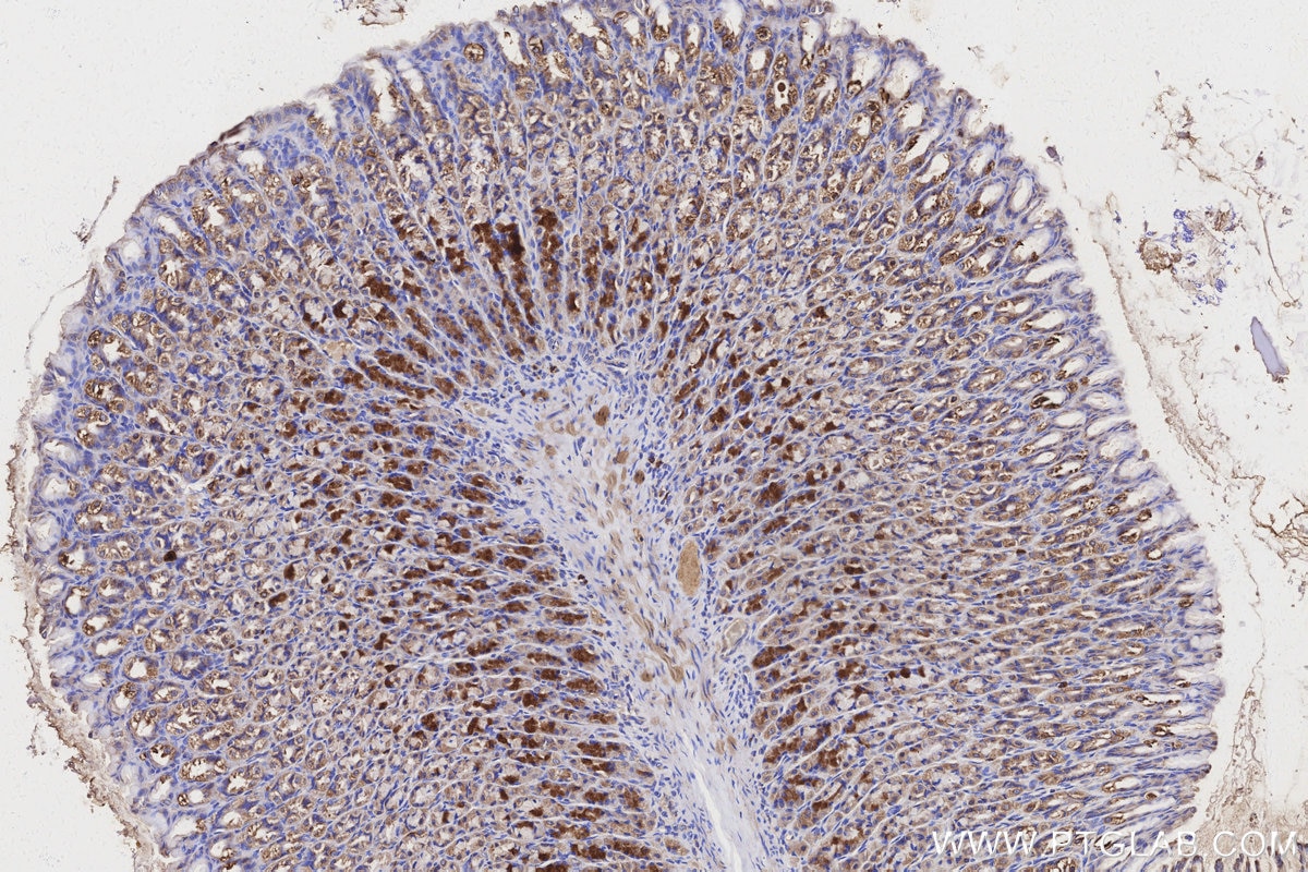
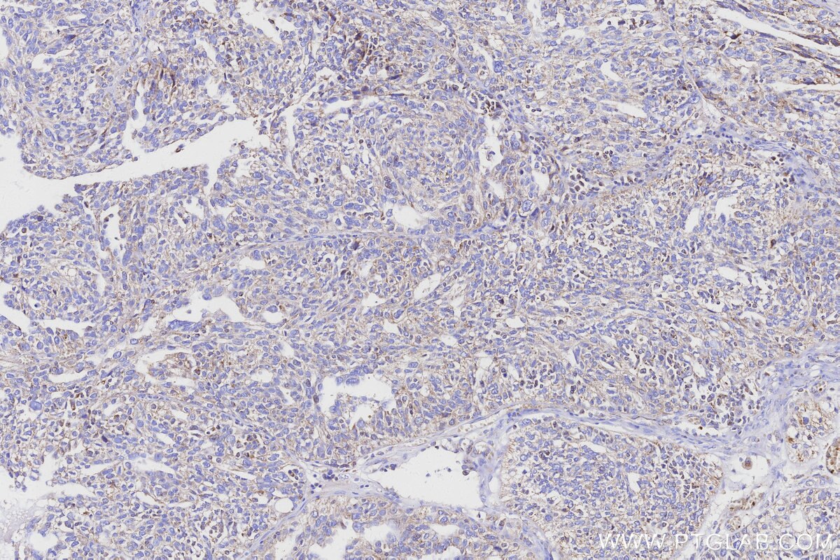
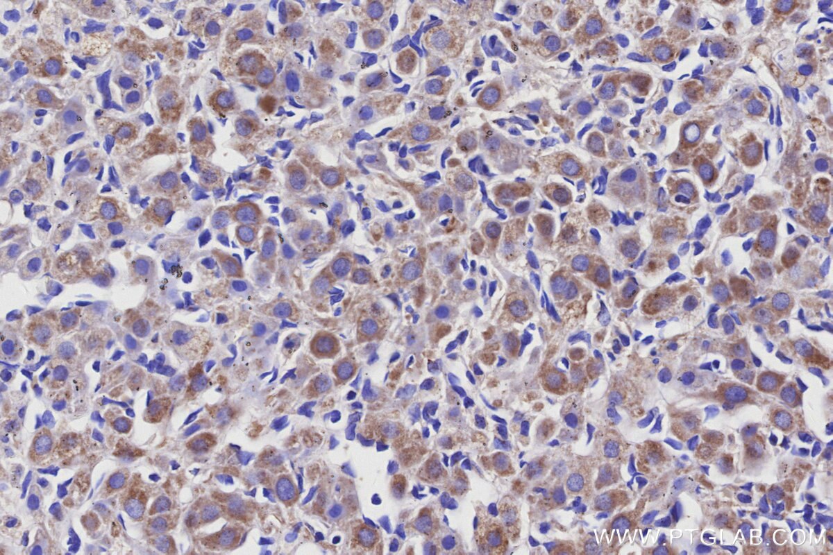
Validation Data Gallery View All
Product Information
KHC3150 is a ready-to-use IHC kit for staining of NDUFS6. The kit provides all reagents, from antigen retrieval to cover slip mounting, that require little to no diluting or handling prior to use. Simply apply the reagents to your sample slide according to the protocol and you're steps away from obtaining high-quality IHC data.
| Product name | IHCeasy® NDUFS6 Ready-To-Use IHC Kit |
| Sample type | FFPE tissue |
| Assay type | Immunohistochemistry |
| Primary antibody type | Mouse Monoclonal |
| Secondary antibody type | Polymer-HRP-Goat anti-Mouse |
| Reactivity | Human, Mouse, Rat |
Kit components
| Component | Size | Concentration |
|---|---|---|
| Antigen Retrieval Buffer | 100 mL | 50× |
| Washing Buffer | 100 mL ×2 | 20× |
| Blocking Buffer | 5 mL | RTU |
| Primary Antibody | 5 mL | RTU |
| Secondary Antibody | 5 mL | RTU |
| Chromogen Component A | 0.2 mL | RTU |
| Chromogen Component B | 4 mL | RTU |
| Signal Enhancer | 5 mL | RTU |
| Counter Staining Reagent | 5 mL | RTU |
| Mounting Media | 5 mL | RTU |
| Datasheet | 1 Copy | |
| Manual | 1 Copy |
Background Information
NDUFS6(NADH dehydrogenase [ubiquinone] iron-sulfur protein 6, mitochondrial) is also named as CI-13kD-A, NADH-ubiquinone oxidoreductase 13 kDa-A subunit and belongs to the complex I NDUFS6 subunit family.It is an accessory subunit of the mitochondrial membrane respiratory chain NADH dehydrogenase (Complex I), that is believed not to be involved in catalysis.
Properties
| Storage Instructions | All the reagents are stored at 2-8°C. The kit is stable for 6 months from the date of receipt. |
| Synonyms | CI 13kD A, CI-13kD-A, Complex I 13kD A, Complex I-13kD-A, NADH dehydrogenase [ubiquinone] iron-sulfur protein 6, mitochondrial |





