IHCeasy® NOC2L Ready-To-Use IHC Kit
NOC2L Ready-to-use reagent kit for IHC.
Cat no : KHC3067
Synonyms
NIR, NOC2-like protein, Novel INHAT repressor, Nucleolar complex protein 2 homolog, Protein NOC2 homolog
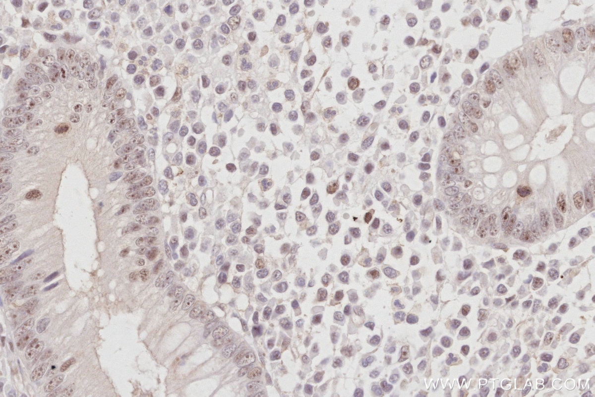
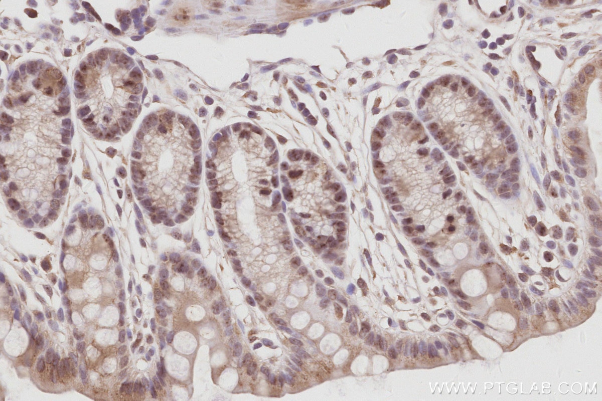
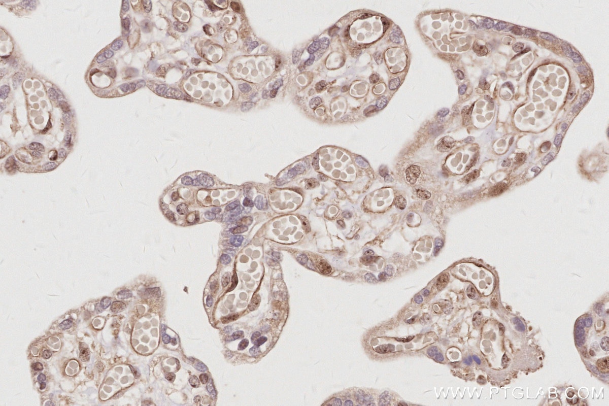
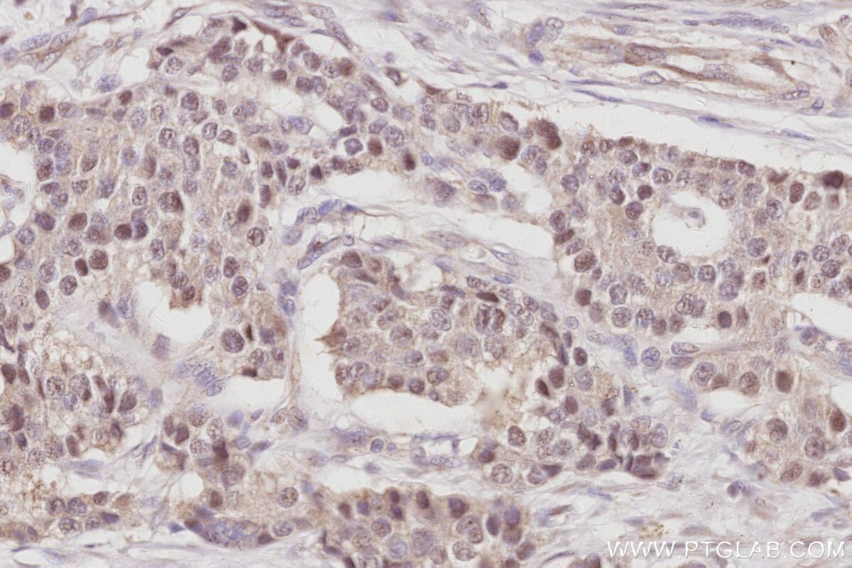
Validation Data Gallery View All
Product Information
KHC3067 is a ready-to-use IHC kit for staining of NOC2L. The kit provides all reagents, from antigen retrieval to cover slip mounting, that require little to no diluting or handling prior to use. Simply apply the reagents to your sample slide according to the protocol and you're steps away from obtaining high-quality IHC data.
| Product name | IHCeasy® NOC2L Ready-To-Use IHC Kit |
| Sample type | FFPE tissue |
| Assay type | Immunohistochemistry |
| Primary antibody type | Rabbit Polyclonal |
| Secondary antibody type | Polymer-HRP-Goat anti-Rabbit |
| Reactivity | Human, Mouse |
Kit components
| Component | Size | Concentration |
|---|---|---|
| Antigen Retrieval Buffer | 100 mL | 50× |
| Washing Buffer | 100 mL ×2 | 20× |
| Blocking Buffer | 5 mL | RTU |
| Primary Antibody | 5 mL | RTU |
| Secondary Antibody | 5 mL | RTU |
| Chromogen Component A | 0.2 mL | RTU |
| Chromogen Component B | 4 mL | RTU |
| Signal Enhancer | 5 mL | RTU |
| Counter Staining Reagent | 5 mL | RTU |
| Mounting Media | 5 mL | RTU |
| Datasheet | 1 Copy | |
| Manual | 1 Copy |
Background Information
NOC2L, also known as NIR, is a transcriptional corepressor with inhibitor of histone acetyltransferase (INHAT) activity. It prevents acetylation of all core histones by the histone acetyltransferase EP300/p300. NOC2L interacts with p53, inhibits p53-activated gene expression, and regulates p53-dependent apoptosis. NIR binds to TAp63 and acts as a repressor of TAp63-mediated transactivation of the p21Cip1 gene. NOC2L is ubiquitously expressed throughout embryonic development and adulthood. NOC2L has been reported as a key regulator of skin development. Epidermis-specific ablation of NOC2L impairs epidermal stratification and barrier function.
Properties
| Storage Instructions | All the reagents are stored at 2-8°C. The kit is stable for 6 months from the date of receipt. |
| Synonyms | NIR, NOC2-like protein, Novel INHAT repressor, Nucleolar complex protein 2 homolog, Protein NOC2 homolog |




