IHCeasy® PLOD3 Ready-To-Use IHC Kit
PLOD3 Ready-to-use reagent kit for IHC.
Cat no : KHC3147
Synonyms
Galactosylhydroxylysine-glucosyltransferase, LH3, Lysyl hydroxylase 3, Multifunctional procollagen lysine hydroxylase and glycosyltransferase LH3, Procollagen galactosyltransferase
Validation Data Gallery View All
Product Information
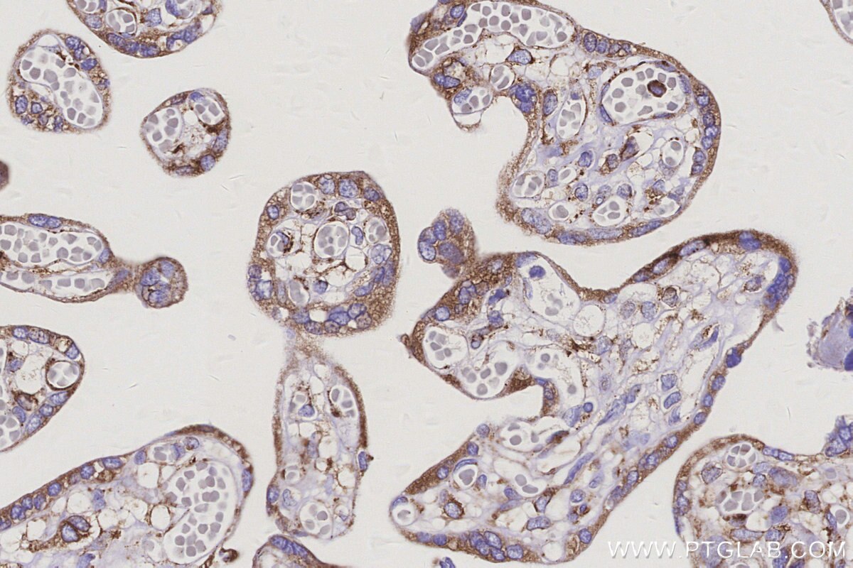
KHC3147 is a ready-to-use IHC kit for staining of PLOD3. The kit provides all reagents, from antigen retrieval to cover slip mounting, that require little to no diluting or handling prior to use. Simply apply the reagents to your sample slide according to the protocol and you're steps away from obtaining high-quality IHC data.
| Product name | IHCeasy® PLOD3 Ready-To-Use IHC Kit |
| Sample type | FFPE tissue |
| Assay type | Immunohistochemistry |
| Primary antibody type | Rabbit Polyclonal |
| Secondary antibody type | Polymer-HRP-Goat anti-Rabbit |
| Reactivity | Human |
Kit components
| Component | Size | Concentration |
|---|---|---|
| Antigen Retrieval Buffer | 100 mL | 50× |
| Washing Buffer | 100 mL ×2 | 20× |
| Blocking Buffer | 5 mL | RTU |
| Primary Antibody | 5 mL | RTU |
| Secondary Antibody | 5 mL | RTU |
| Chromogen Component A | 0.2 mL | RTU |
| Chromogen Component B | 4 mL | RTU |
| Signal Enhancer | 5 mL | RTU |
| Counter Staining Reagent | 5 mL | RTU |
| Mounting Media | 5 mL | RTU |
| Datasheet | 1 Copy | |
| Manual | 1 Copy |
Background Information
PLOD3, also named as LH3, forms hydroxylysine residues in -Xaa-Lys-Gly- sequences in collagens. These hydroxylysines serve as sites of attachment for carbohydrate units and are essential for the stability of the intermolecular collagen cross-links. The major function of PLOD3 in osteoblasts is to glucosylate galactosylhydroxylysine residues in type I collagen.
Properties
| Storage Instructions | All the reagents are stored at 2-8°C. The kit is stable for 6 months from the date of receipt. |
| Synonyms | Galactosylhydroxylysine-glucosyltransferase, LH3, Lysyl hydroxylase 3, Multifunctional procollagen lysine hydroxylase and glycosyltransferase LH3, Procollagen galactosyltransferase |

