IHCeasy® RALY Ready-To-Use IHC Kit
RALY Ready-to-use reagent kit for IHC.
Cat no : KHC3028
Synonyms
Autoantigen p542, Heterogeneous nuclear ribonucleoprotein C-like 2, hnRNP associated with lethal yellow protein homolog, hnRNP core protein C-like 2, HNRPCL2
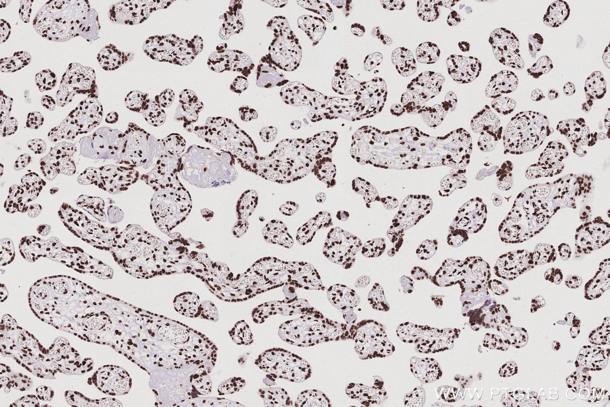
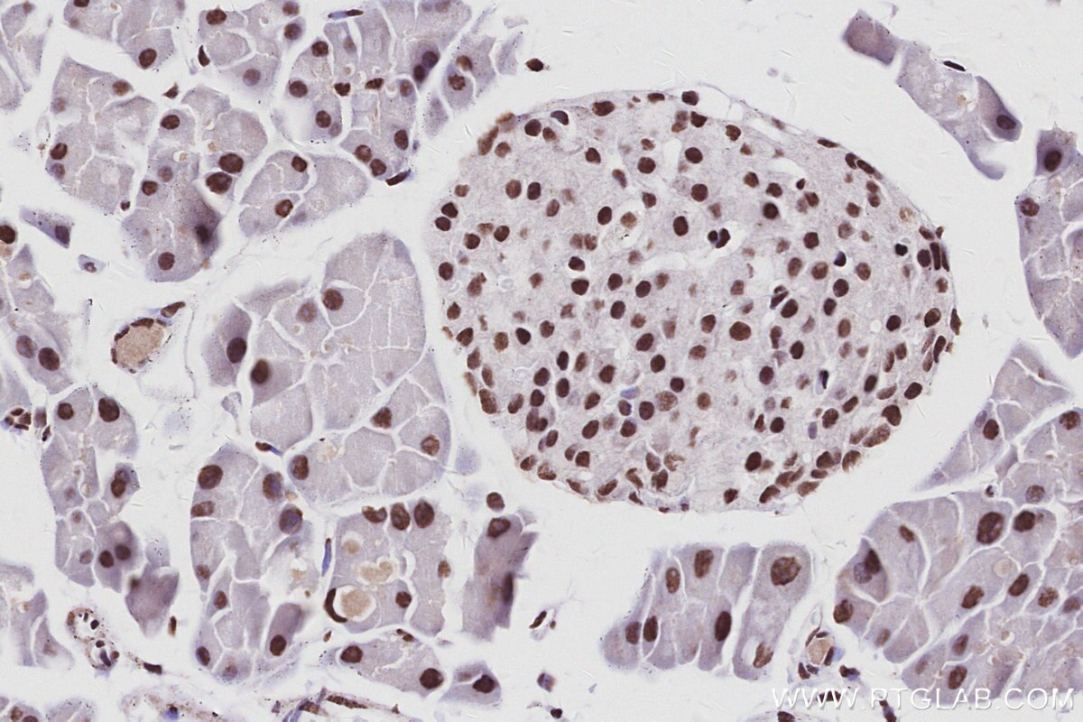
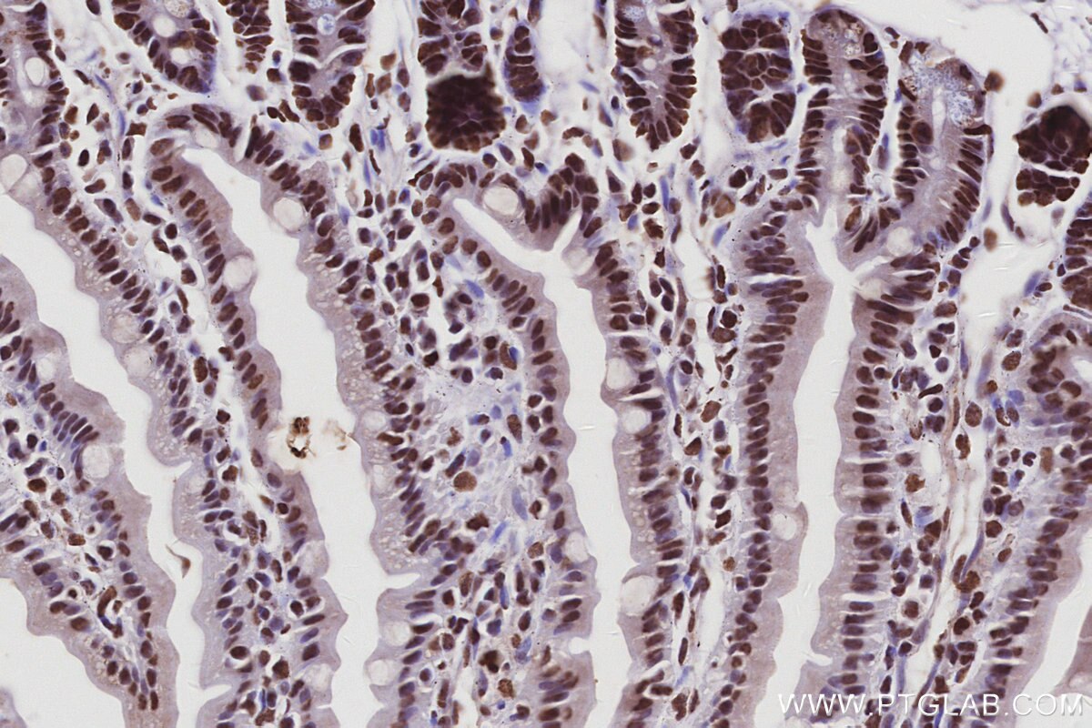
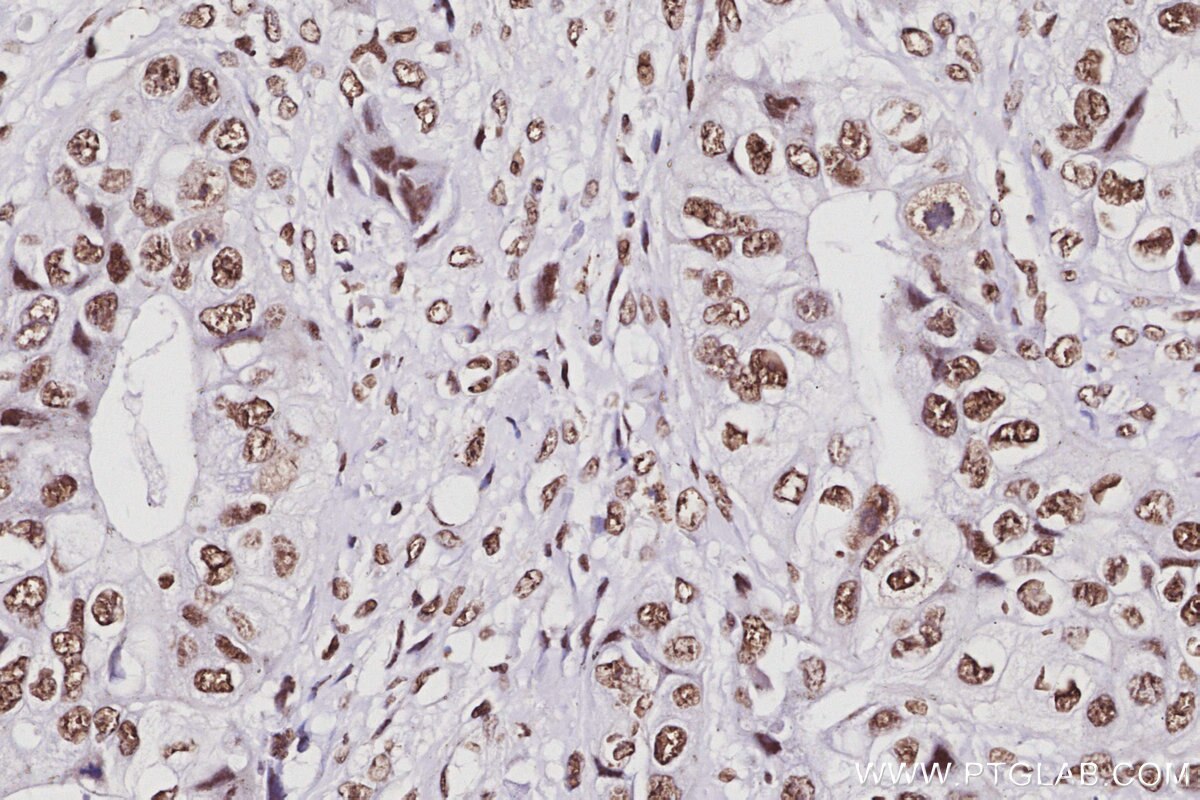
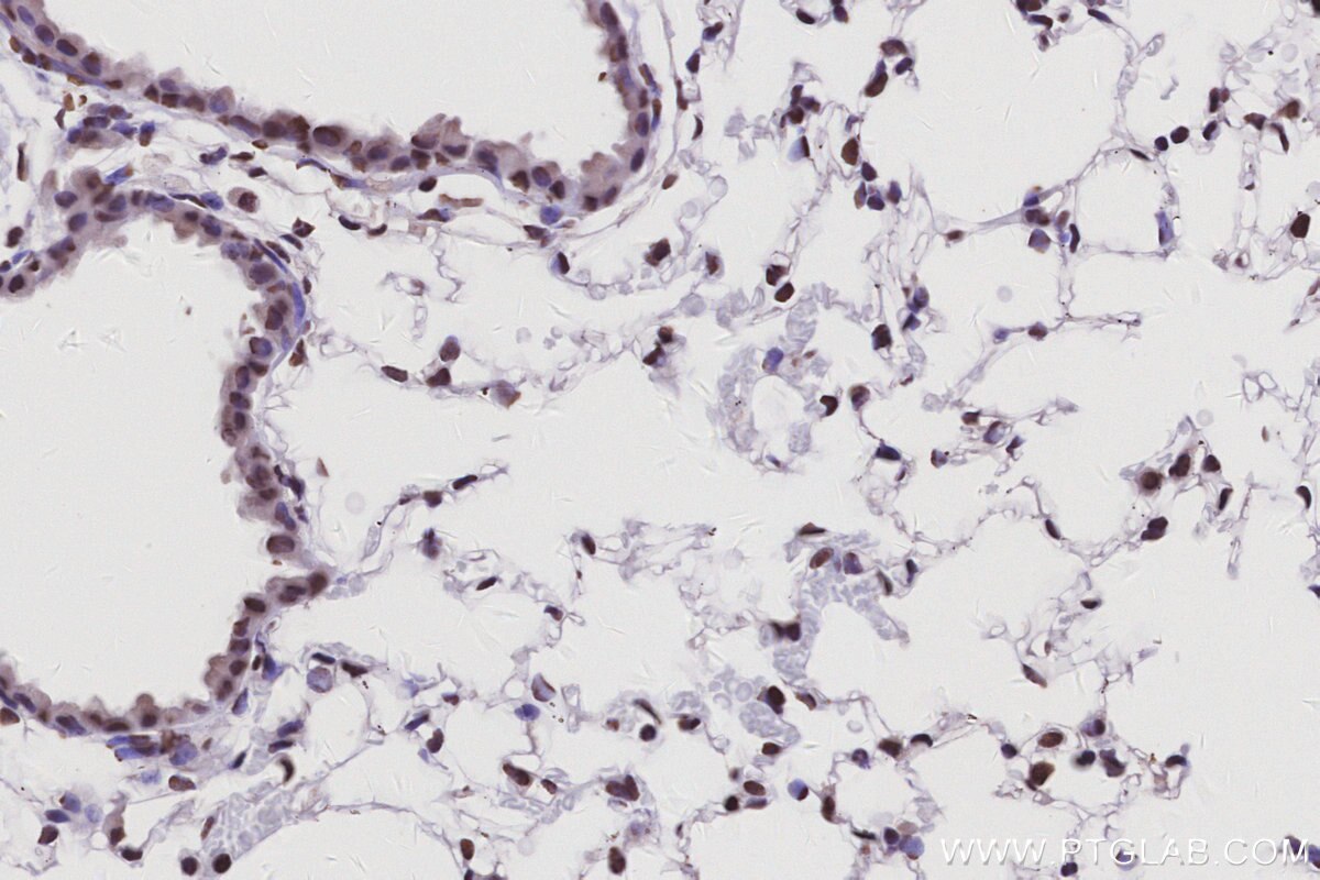
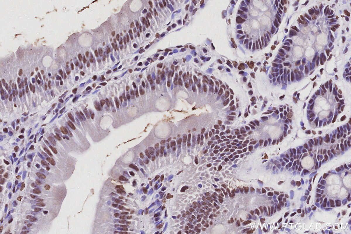
Validation Data Gallery View All
Product Information
KHC3028 is a ready-to-use IHC kit for staining of RALY. The kit provides all reagents, from antigen retrieval to cover slip mounting, that require little to no diluting or handling prior to use. Simply apply the reagents to your sample slide according to the protocol and you're steps away from obtaining high-quality IHC data.
| Product name | IHCeasy® RALY Ready-To-Use IHC Kit |
| Sample type | FFPE tissue |
| Assay type | Immunohistochemistry |
| Primary antibody type | Rabbit Polyclonal |
| Secondary antibody type | Polymer-HRP-Goat anti-Rabbit |
| Reactivity | Human, Mouse, Rat |
Kit components
| Component | Size | Concentration |
|---|---|---|
| Antigen Retrieval Buffer | 100 mL | 50× |
| Washing Buffer | 100 mL ×2 | 20× |
| Blocking Buffer | 5 mL | RTU |
| Primary Antibody | 5 mL | RTU |
| Secondary Antibody | 5 mL | RTU |
| Chromogen Component A | 0.2 mL | RTU |
| Chromogen Component B | 4 mL | RTU |
| Signal Enhancer | 5 mL | RTU |
| Counter Staining Reagent | 5 mL | RTU |
| Mounting Media | 5 mL | RTU |
| Datasheet | 1 Copy | |
| Manual | 1 Copy |
Background Information
RNA-binding protein RALY is a protein that in humans is encoded by the RALY gene. In infectious mononucleosis, anti-EBNA-1 antibodies are produced which cross-react with multiple normal human proteins. The cross-reactivity is due to anti-gly/ala antibodies that cross-react with host proteins containing configurations like those in the EBNA-1 repeat. One such antigen is RALY which is a member of the heterogeneous nuclear ribonucleoprotein gene family.
Properties
| Storage Instructions | All the reagents are stored at 2-8°C. The kit is stable for 6 months from the date of receipt. |
| Synonyms | Autoantigen p542, Heterogeneous nuclear ribonucleoprotein C-like 2, hnRNP associated with lethal yellow protein homolog, hnRNP core protein C-like 2, HNRPCL2 |







