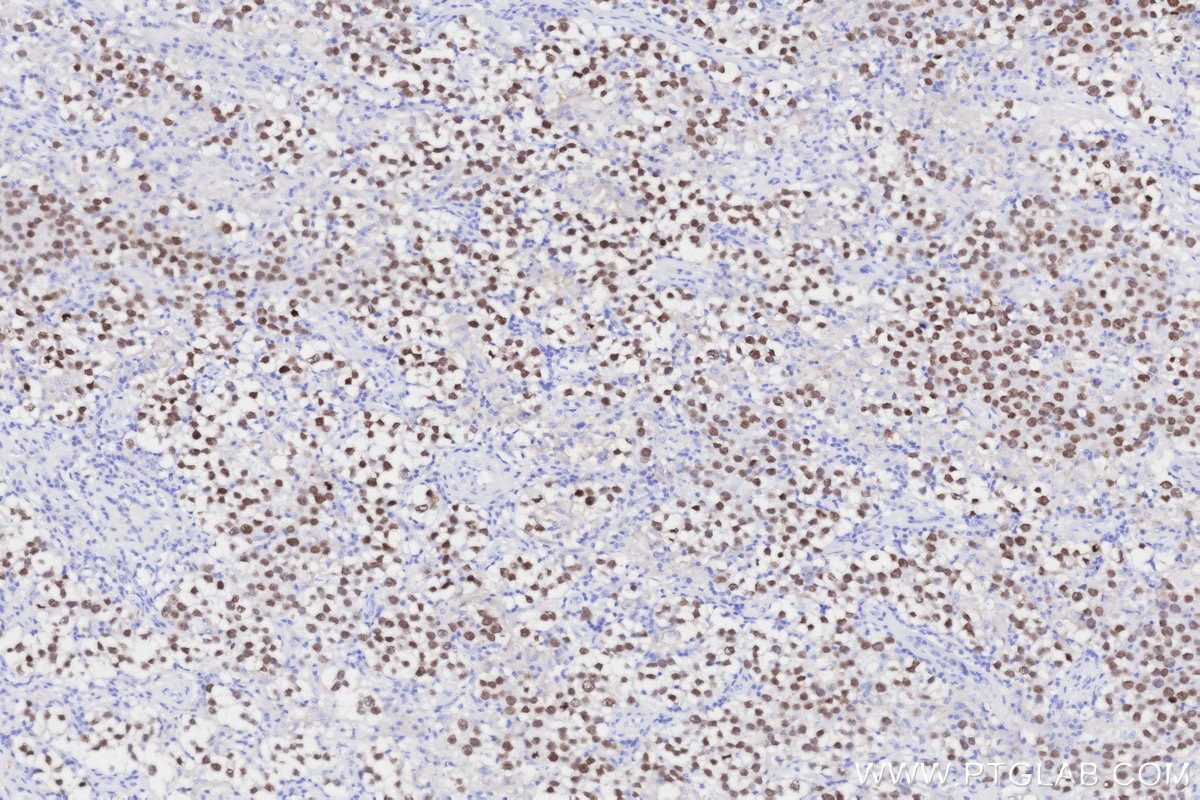
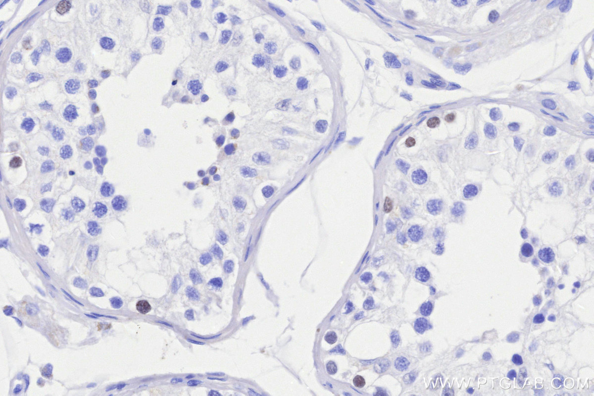
IHCeasy® SALL4 Ready-To-Use IHC Kit
SALL4 Ready-to-use reagent kit for IHC.
Cat no : KHC3312
Synonyms
DRRS, HSAL4, Sal like protein 4, Sal-like protein 4, Zinc finger protein 797
Validation Data Gallery View All
Product Information
KHC3312 is a ready-to-use IHC kit for staining of SALL4. The kit provides all reagents, from antigen retrieval to cover slip mounting, that require little to no diluting or handling prior to use. Simply apply the reagents to your sample slide according to the protocol and you're steps away from obtaining high-quality IHC data.
| Product name | IHCeasy® SALL4 Ready-To-Use IHC Kit |
| Sample type | FFPE tissue |
| Assay type | Immunohistochemistry |
| Primary antibody type | Rabbit Recombinant |
| Secondary antibody type | Polymer-HRP-Goat anti-Rabbit |
| Reactivity | Human |
Kit components
| Component | Size | Concentration |
|---|---|---|
| Antigen Retrieval Buffer | 100 mL | 50× |
| Washing Buffer | 100 mL ×2 | 20× |
| Blocking Buffer | 5 mL | RTU |
| Primary Antibody | 5 mL | RTU |
| Secondary Antibody | 5 mL | RTU |
| Chromogen Component A | 0.2 mL | RTU |
| Chromogen Component B | 4 mL | RTU |
| Signal Enhancer | 5 mL | RTU |
| Counter Staining Reagent | 5 mL | RTU |
| Mounting Media | 5 mL | RTU |
| Datasheet | 1 Copy | |
| Manual | 1 Copy |
Background Information
Sal-like protein 4 (SALL4), also named Zinc finger protein 797, contains 7 C2H2-type zinc fingers and belongs to the sal C2H2-type zinc-finger protein family. SALL4 is a transcription factor that exists in two splice isoforms and regulates transcription in embryonic stem cells, hematopoiesis, and acute myeloid leukemia. SALL4 is activated in fetal liver tissue, silenced in adult liver tissue, and reexpressed as an oncofetal protein in hepatocellular carcinoma . SALL4 has two isoforms with predicted molecular weights of 112 kDa (SALL4A) and 66 kDa (unmodified SALL4B), and SALL4B was found to be the dominant endogenous isoform in HCC cell lines.
Properties
| Storage Instructions | All the reagents are stored at 2-8°C. The kit is stable for 6 months from the date of receipt. |
| Synonyms | DRRS, HSAL4, Sal like protein 4, Sal-like protein 4, Zinc finger protein 797 |


