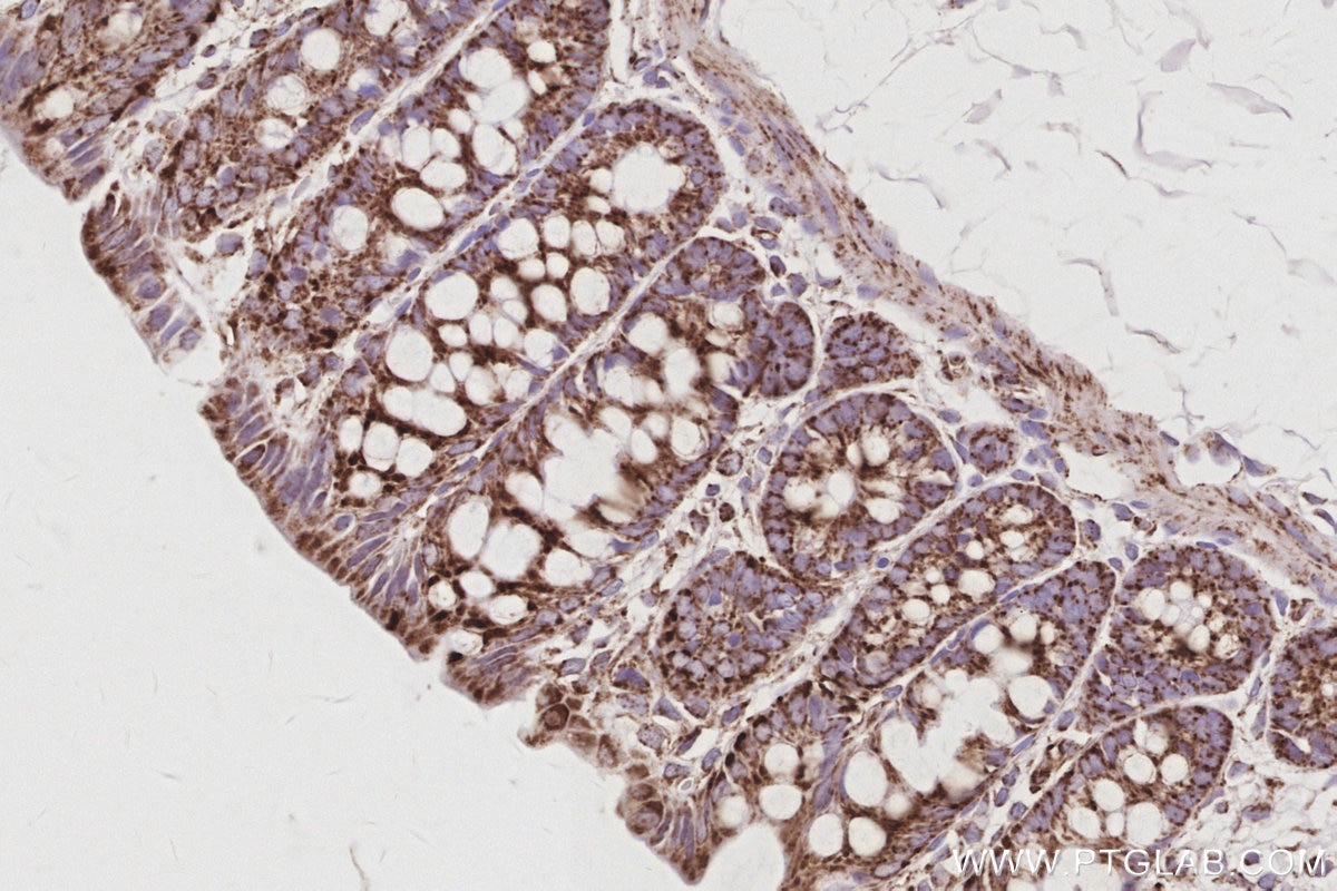
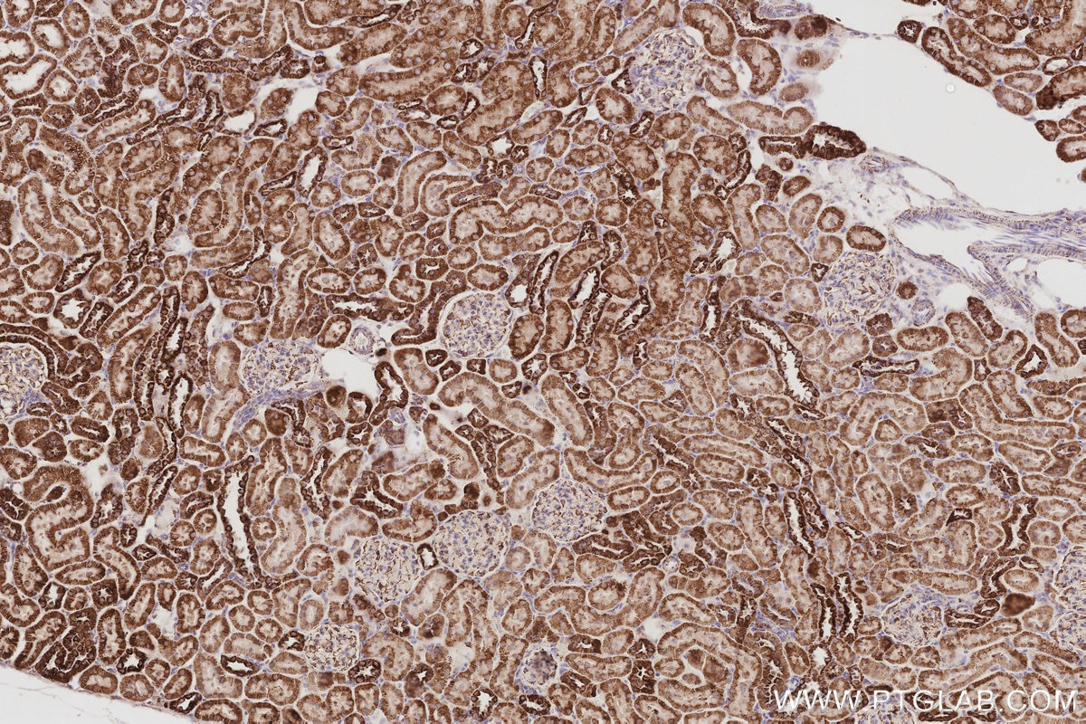
IHCeasy® SAMM50 Ready-To-Use IHC Kit
SAMM50 Ready-to-use reagent kit for IHC.
Cat no : KHC3075
Synonyms
SAM50, CGI 51, CGI-51, OMP85, SAMM 50
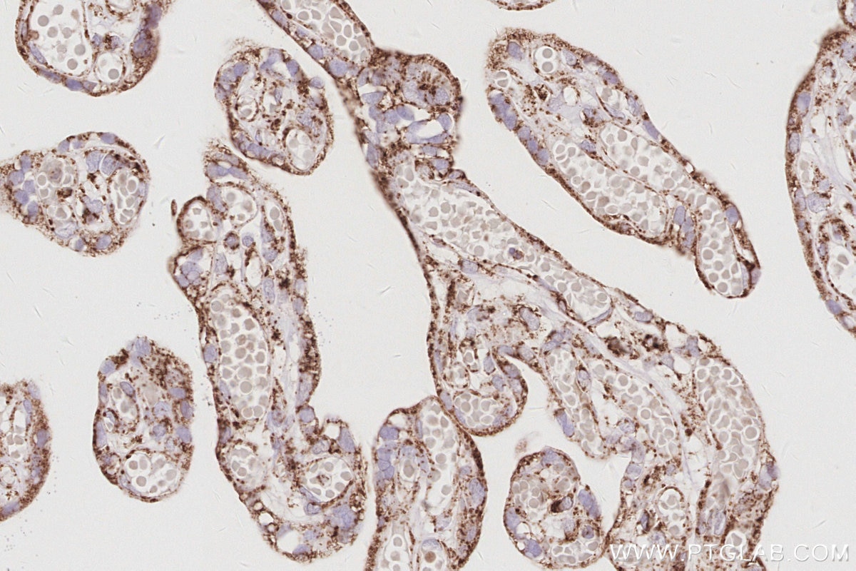
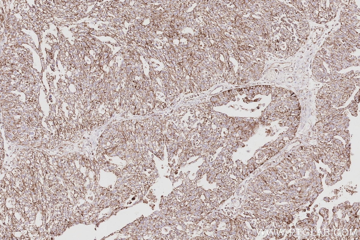
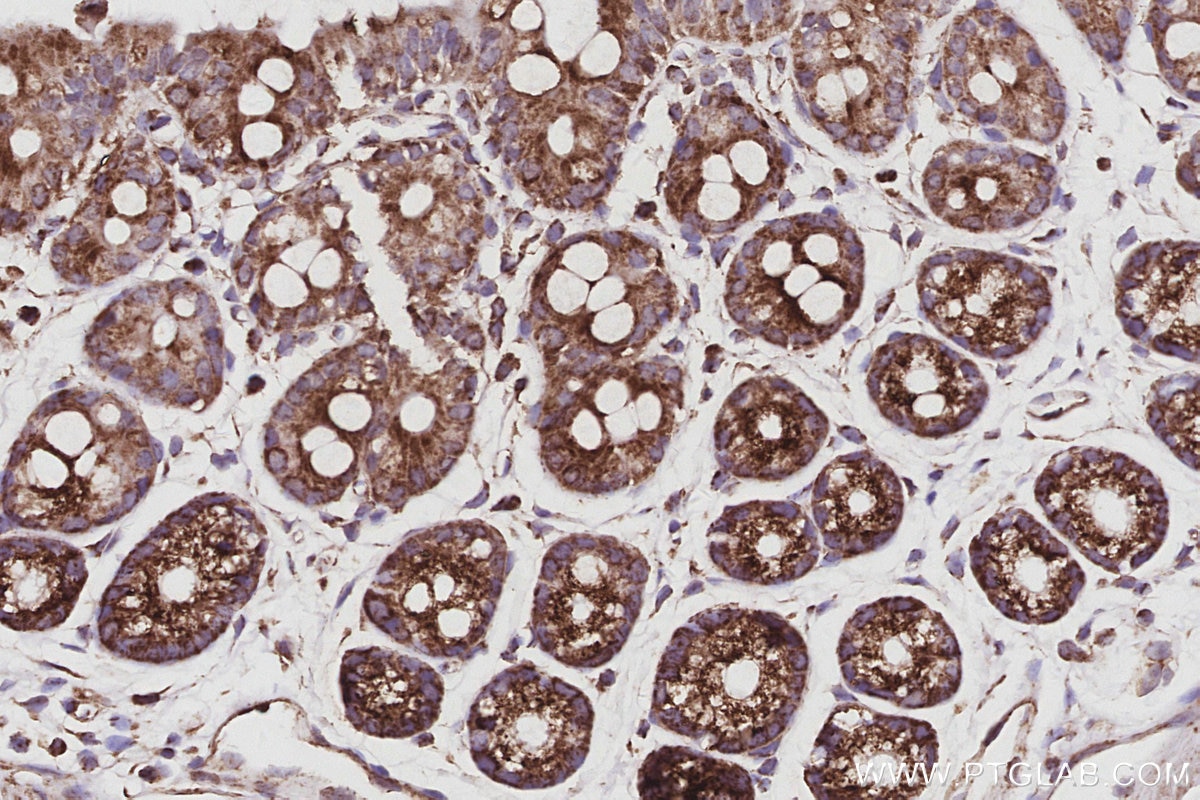
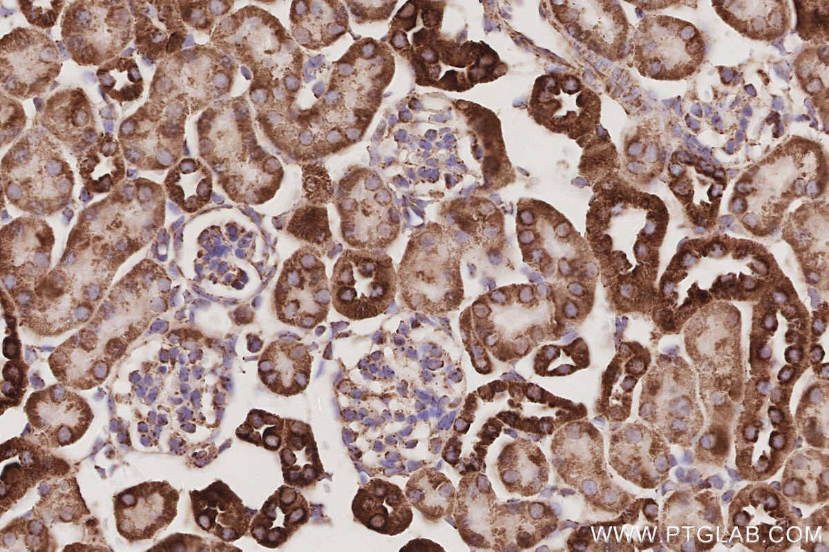
Validation Data Gallery View All
Product Information
KHC3075 is a ready-to-use IHC kit for staining of SAMM50. The kit provides all reagents, from antigen retrieval to cover slip mounting, that require little to no diluting or handling prior to use. Simply apply the reagents to your sample slide according to the protocol and you're steps away from obtaining high-quality IHC data.
| Product name | IHCeasy® SAMM50 Ready-To-Use IHC Kit |
| Sample type | FFPE tissue |
| Assay type | Immunohistochemistry |
| Primary antibody type | Rabbit Polyclonal |
| Secondary antibody type | Polymer-HRP-Goat anti-Rabbit |
| Reactivity | Human, Mouse, Rat |
Kit components
| Component | Size | Concentration |
|---|---|---|
| Antigen Retrieval Buffer | 100 mL | 50× |
| Washing Buffer | 100 mL ×2 | 20× |
| Blocking Buffer | 5 mL | RTU |
| Primary Antibody | 5 mL | RTU |
| Secondary Antibody | 5 mL | RTU |
| Chromogen Component A | 0.2 mL | RTU |
| Chromogen Component B | 4 mL | RTU |
| Signal Enhancer | 5 mL | RTU |
| Counter Staining Reagent | 5 mL | RTU |
| Mounting Media | 5 mL | RTU |
| Datasheet | 1 Copy | |
| Manual | 1 Copy |
Background Information
Sam50, encoded by the SAMM50 gene, is an essential protein of the mitochondrial outer membrane (OMM). It contains a beta-barrel domain conserved from bacteria to man. Sam50 is a part of the sorting and assembly machinery (SAM) necessary for the assembly of beta-barrel proteins in the OMM. It is crucial for maintaining mitochondrial shape, morphology of mitochondrial cristae, and assembly of the mitochondrial respiratory chain complexes. Polymorphisms in the SAMM50 gene have been associated with development and progression of nonalcoholic fatty liver disease.
Properties
| Storage Instructions | All the reagents are stored at 2-8°C. The kit is stable for 6 months from the date of receipt. |
| Synonyms | SAM50, CGI 51, CGI-51, OMP85, SAMM 50 |








