IHCeasy® SH3BP1 Ready-To-Use IHC Kit
SH3BP1 Ready-to-use reagent kit for IHC.
Cat no : KHC3064
Synonyms
3BP 1, SH3 domain binding protein 1, SH3 domain-binding protein 1
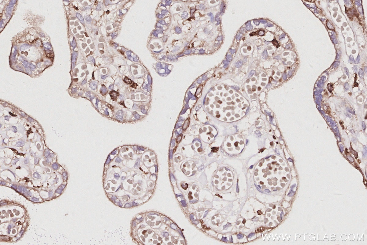
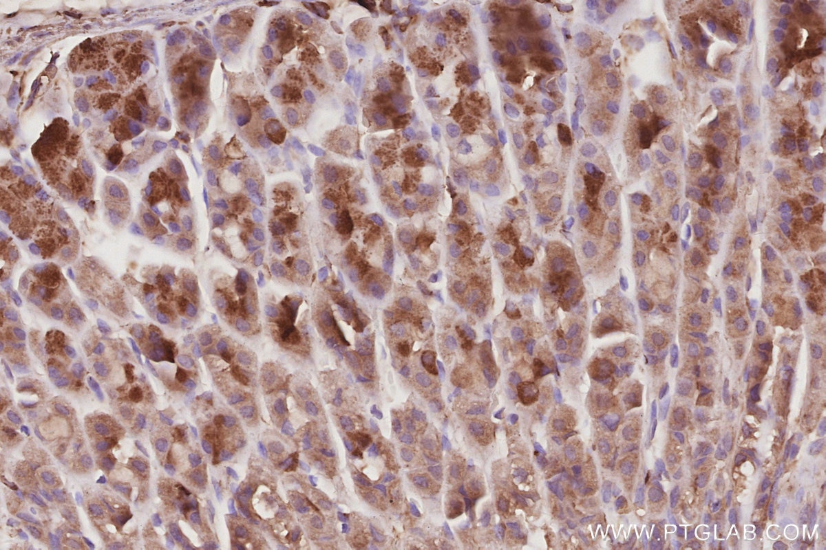
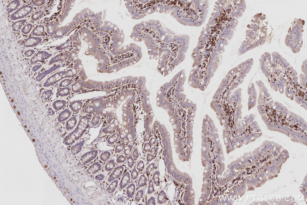
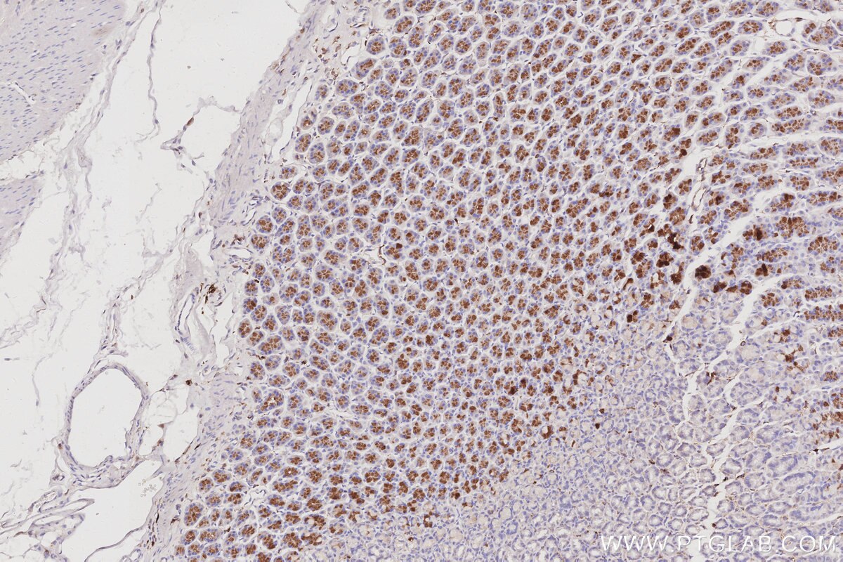
Validation Data Gallery View All
Product Information
KHC3064 is a ready-to-use IHC kit for staining of SH3BP1. The kit provides all reagents, from antigen retrieval to cover slip mounting, that require little to no diluting or handling prior to use. Simply apply the reagents to your sample slide according to the protocol and you're steps away from obtaining high-quality IHC data.
| Product name | IHCeasy® SH3BP1 Ready-To-Use IHC Kit |
| Sample type | FFPE tissue |
| Assay type | Immunohistochemistry |
| Primary antibody type | Mouse Monoclonal |
| Secondary antibody type | Polymer-HRP-Goat anti-Mouse |
| Reactivity | Human, Mouse, Rat |
Kit components
| Component | Size | Concentration |
|---|---|---|
| Antigen Retrieval Buffer | 100 mL | 50× |
| Washing Buffer | 100 mL ×2 | 20× |
| Blocking Buffer | 5 mL | RTU |
| Primary Antibody | 5 mL | RTU |
| Secondary Antibody | 5 mL | RTU |
| Chromogen Component A | 0.2 mL | RTU |
| Chromogen Component B | 4 mL | RTU |
| Signal Enhancer | 5 mL | RTU |
| Counter Staining Reagent | 5 mL | RTU |
| Mounting Media | 5 mL | RTU |
| Datasheet | 1 Copy | |
| Manual | 1 Copy |
Background Information
SH3BP1 is also named as Chimeric SH3BP1-PDXP protein and BARGIN, and belongs to the to the RhoGAP family. SH3BP1 can be as a partner of the exocyst complex and establish a physical and functional link between two motility-driving pathways, the Ral/exocyst and Rac signaling pathways. SH3BP1 localizes together with the exocyst to the leading edge of motile cells and that SH3BP1 regulates cell migration via its GAP activity upon Rac1.
Properties
| Storage Instructions | All the reagents are stored at 2-8°C. The kit is stable for 6 months from the date of receipt. |
| Synonyms | 3BP 1, SH3 domain binding protein 1, SH3 domain-binding protein 1 |




