IHCeasy® SPAST Ready-To-Use IHC Kit
SPAST Ready-to-use reagent kit for IHC.
Cat no : KHC3000
Synonyms
EC:5.6.1.1, spastin
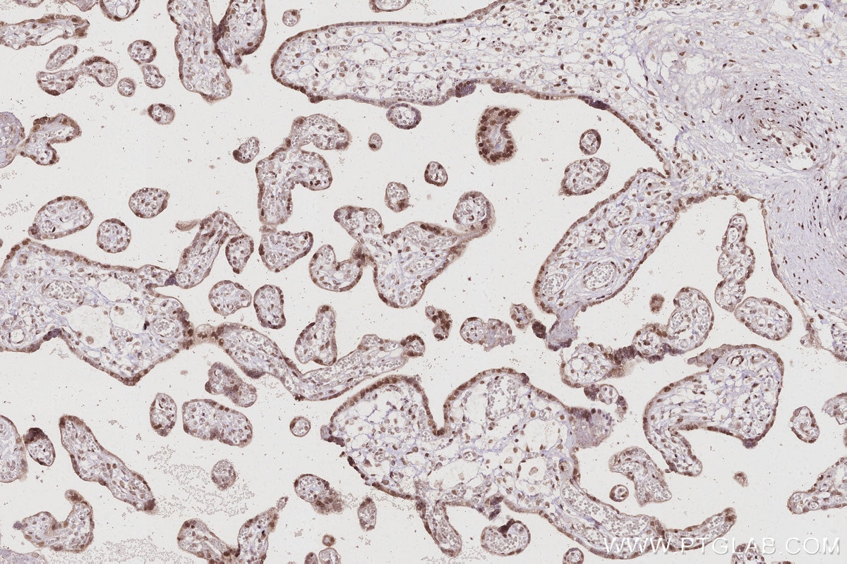
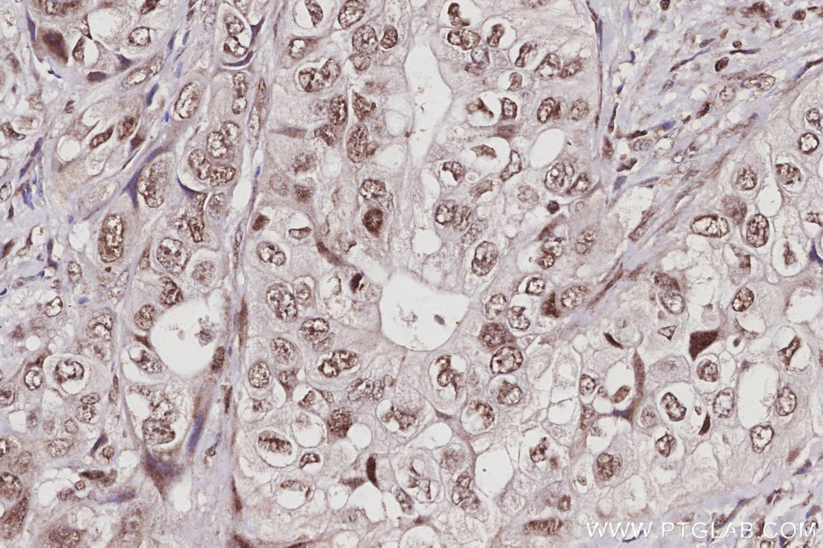
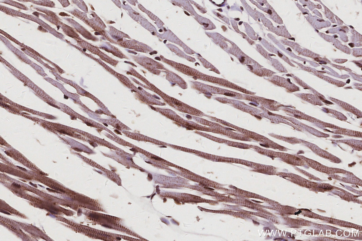
Validation Data Gallery View All
Product Information
KHC3000 is a ready-to-use IHC kit for staining of SPAST. The kit provides all reagents, from antigen retrieval to cover slip mounting, that require little to no diluting or handling prior to use. Simply apply the reagents to your sample slide according to the protocol and you're steps away from obtaining high-quality IHC data.
| Product name | IHCeasy® SPAST Ready-To-Use IHC Kit |
| Sample type | FFPE tissue |
| Assay type | Immunohistochemistry |
| Primary antibody type | Mouse Monoclonal |
| Secondary antibody type | Polymer-HRP-Goat anti-Mouse |
| Reactivity | Human, Mouse, Rat |
Kit components
| Component | Size | Concentration |
|---|---|---|
| Antigen Retrieval Buffer | 100 mL | 50× |
| Washing Buffer | 100 mL ×2 | 20× |
| Blocking Buffer | 5 mL | RTU |
| Primary Antibody | 5 mL | RTU |
| Secondary Antibody | 5 mL | RTU |
| Chromogen Component A | 0.2 mL | RTU |
| Chromogen Component B | 4 mL | RTU |
| Signal Enhancer | 5 mL | RTU |
| Counter Staining Reagent | 5 mL | RTU |
| Mounting Media | 5 mL | RTU |
| Datasheet | 1 Copy | |
| Manual | 1 Copy |
Background Information
SPAST encodes a microtubule-severing protein called spastin. By severing microtubules into small segments, SPAST participates in the regeneration of neurites. Mutations in the SPAST gene (previously known as SPG4) are the most common causes of hereditary spastic paraplegia (HSP-SPG4).
Properties
| Storage Instructions | All the reagents are stored at 2-8°C. The kit is stable for 6 months from the date of receipt. |
| Synonyms | EC:5.6.1.1, spastin |






