IHCeasy® STK33 Ready-To-Use IHC Kit
STK33 Ready-to-use reagent kit for IHC.
Cat no : KHC2888
Synonyms
EC:2.7.11.1, serine/threonine kinase 33, Serine/threonine-protein kinase 33
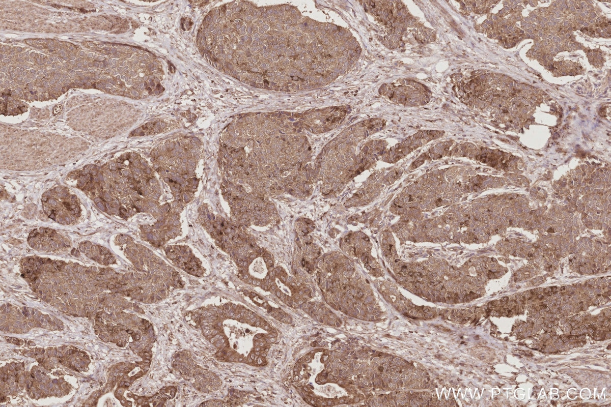
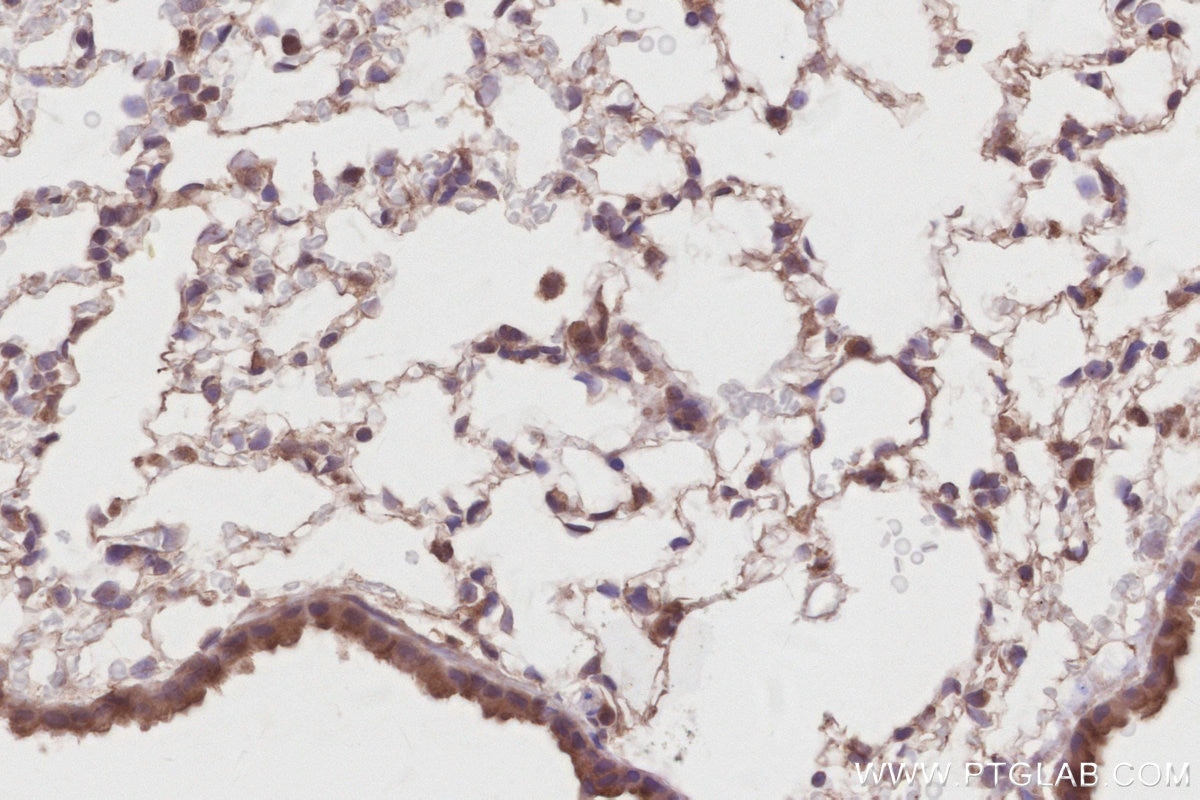
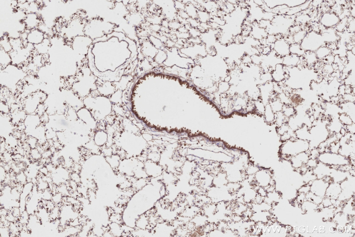
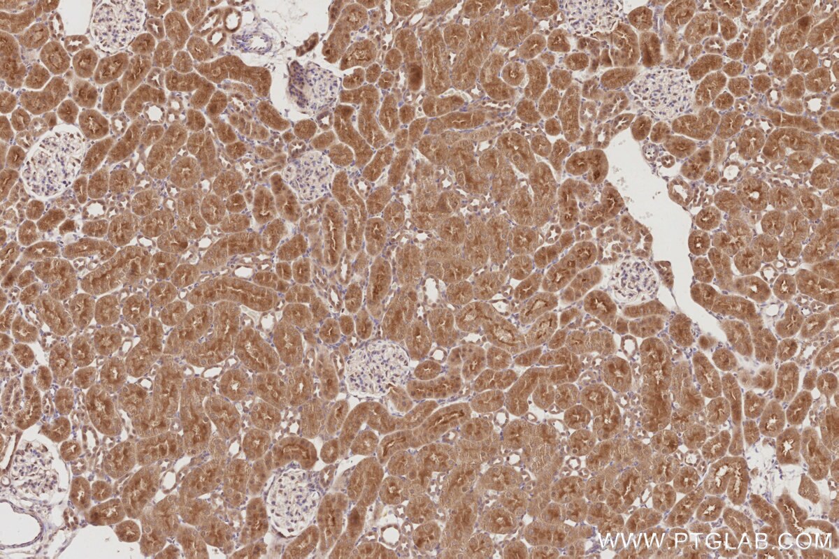
Validation Data Gallery View All
Product Information
KHC2888 is a ready-to-use IHC kit for staining of STK33. The kit provides all reagents, from antigen retrieval to cover slip mounting, that require little to no diluting or handling prior to use. Simply apply the reagents to your sample slide according to the protocol and you're steps away from obtaining high-quality IHC data.
| Product name | IHCeasy® STK33 Ready-To-Use IHC Kit |
| Sample type | FFPE tissue |
| Assay type | Immunohistochemistry |
| Primary antibody type | Rabbit Polyclonal |
| Secondary antibody type | Polymer-HRP-Goat anti-Rabbit |
| Reactivity | Human, Mouse, Rat |
Kit components
| Component | Size | Concentration |
|---|---|---|
| Antigen Retrieval Buffer | 100 mL | 50× |
| Washing Buffer | 100 mL ×2 | 20× |
| Blocking Buffer | 5 mL | RTU |
| Primary Antibody | 5 mL | RTU |
| Secondary Antibody | 5 mL | RTU |
| Chromogen Component A | 0.2 mL | RTU |
| Chromogen Component B | 4 mL | RTU |
| Signal Enhancer | 5 mL | RTU |
| Counter Staining Reagent | 5 mL | RTU |
| Mounting Media | 5 mL | RTU |
| Datasheet | 1 Copy | |
| Manual | 1 Copy |
Background Information
Serine/threonine kinase 33 (STK33) gene, which is identified in human chromosome 11 and mouse chromosome 7, encodes a serine/threonine kinase. STK33 belongs to a member of the calcium/calmodulin‐dependent kinase (CAMK), which is mainly existed in testis, certain brain regions and embryonic organs such as brain, heart and spinal cord in human and mouse and is likely to participate in spermatogenesis and organ ontogenesis.
Properties
| Storage Instructions | All the reagents are stored at 2-8°C. The kit is stable for 6 months from the date of receipt. |
| Synonyms | EC:2.7.11.1, serine/threonine kinase 33, Serine/threonine-protein kinase 33 |







