IHCeasy® SULT1C2 Ready-To-Use IHC Kit
SULT1C2 Ready-to-use reagent kit for IHC.
Cat no : KHC3135
Synonyms
EC:2.8.2.1, humSULTC2, ST1C1, ST1C2, SULT1 C2
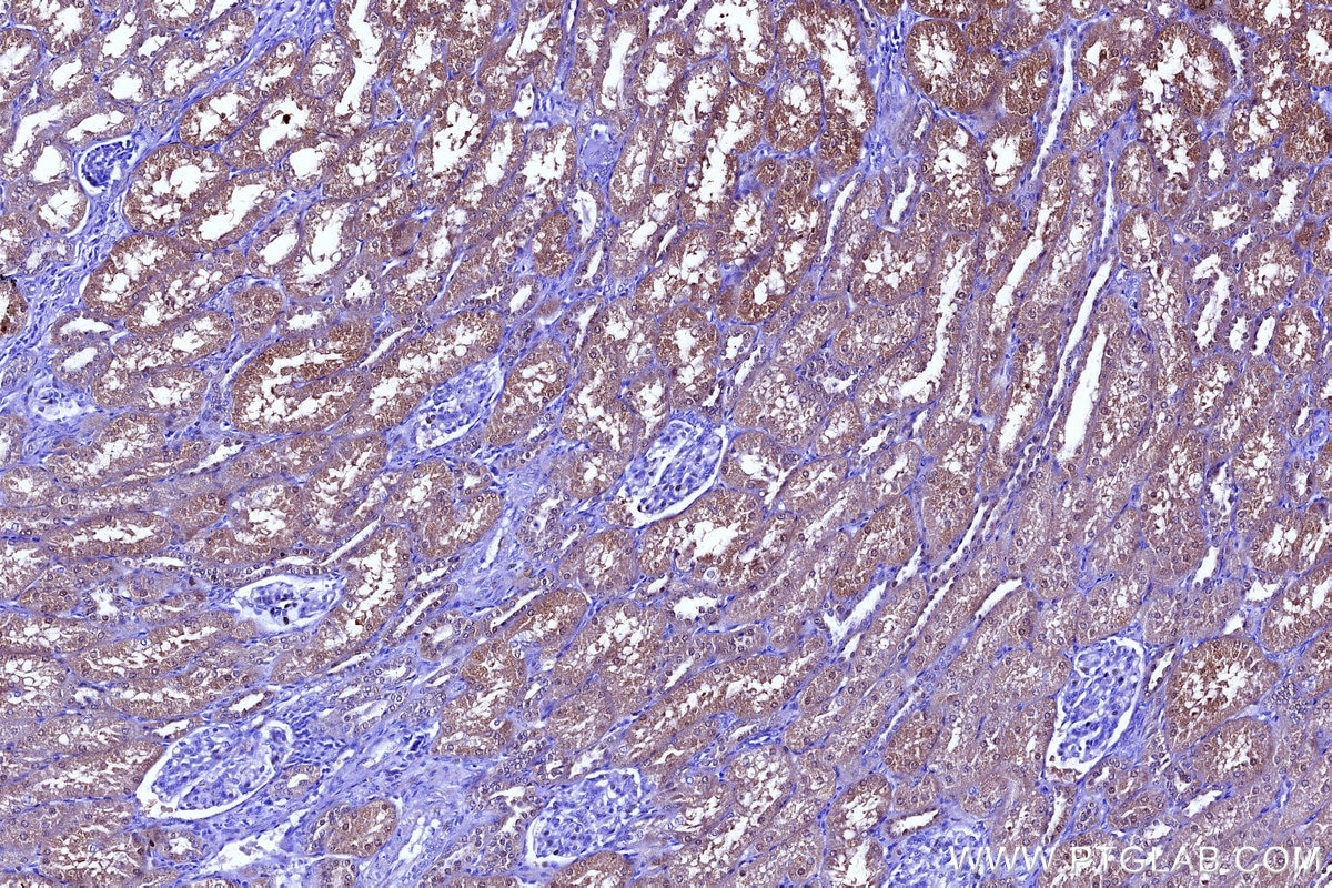
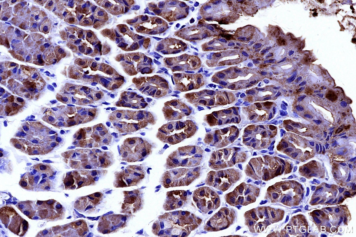
Validation Data Gallery View All
Product Information
KHC3135 is a ready-to-use IHC kit for staining of SULT1C2. The kit provides all reagents, from antigen retrieval to cover slip mounting, that require little to no diluting or handling prior to use. Simply apply the reagents to your sample slide according to the protocol and you're steps away from obtaining high-quality IHC data.
| Product name | IHCeasy® SULT1C2 Ready-To-Use IHC Kit |
| Sample type | FFPE tissue |
| Assay type | Immunohistochemistry |
| Primary antibody type | Rabbit Polyclonal |
| Secondary antibody type | Polymer-HRP-Goat anti-Rabbit |
| Reactivity | Human, Mouse |
Kit components
| Component | Size | Concentration |
|---|---|---|
| Antigen Retrieval Buffer | 100 mL | 50× |
| Washing Buffer | 100 mL ×2 | 20× |
| Blocking Buffer | 5 mL | RTU |
| Primary Antibody | 5 mL | RTU |
| Secondary Antibody | 5 mL | RTU |
| Chromogen Component A | 0.2 mL | RTU |
| Chromogen Component B | 4 mL | RTU |
| Signal Enhancer | 5 mL | RTU |
| Counter Staining Reagent | 5 mL | RTU |
| Mounting Media | 5 mL | RTU |
| Datasheet | 1 Copy | |
| Manual | 1 Copy |
Background Information
SULT1C2, also named as SULT1C1, ST1C2, ST1C1, and humSULTC2, belongs to the sulfotransferase 1 family. It is a sulfotransferase enzymes that catalyze the sulfate conjugation of many hormones, neurotransmitters, drugs, and xenobiotic compounds. SULT1C2 may be involved in the activation of carcinogenic hyroxylamines. It is responsible for transferring a sulfo moiety from PAPS to phenol-containing compounds.
Properties
| Storage Instructions | All the reagents are stored at 2-8°C. The kit is stable for 6 months from the date of receipt. |
| Synonyms | EC:2.8.2.1, humSULTC2, ST1C1, ST1C2, SULT1 C2 |


