IHCeasy® TNIK Ready-To-Use IHC Kit
TNIK Ready-to-use reagent kit for IHC.
Cat no : KHC3024
Synonyms
EC:2.7.11.1, KIAA0551, TRAF2 and NCK-interacting protein kinase
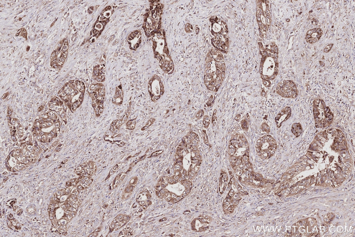
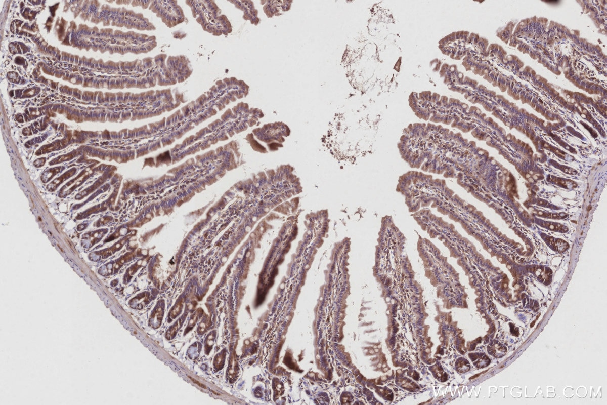
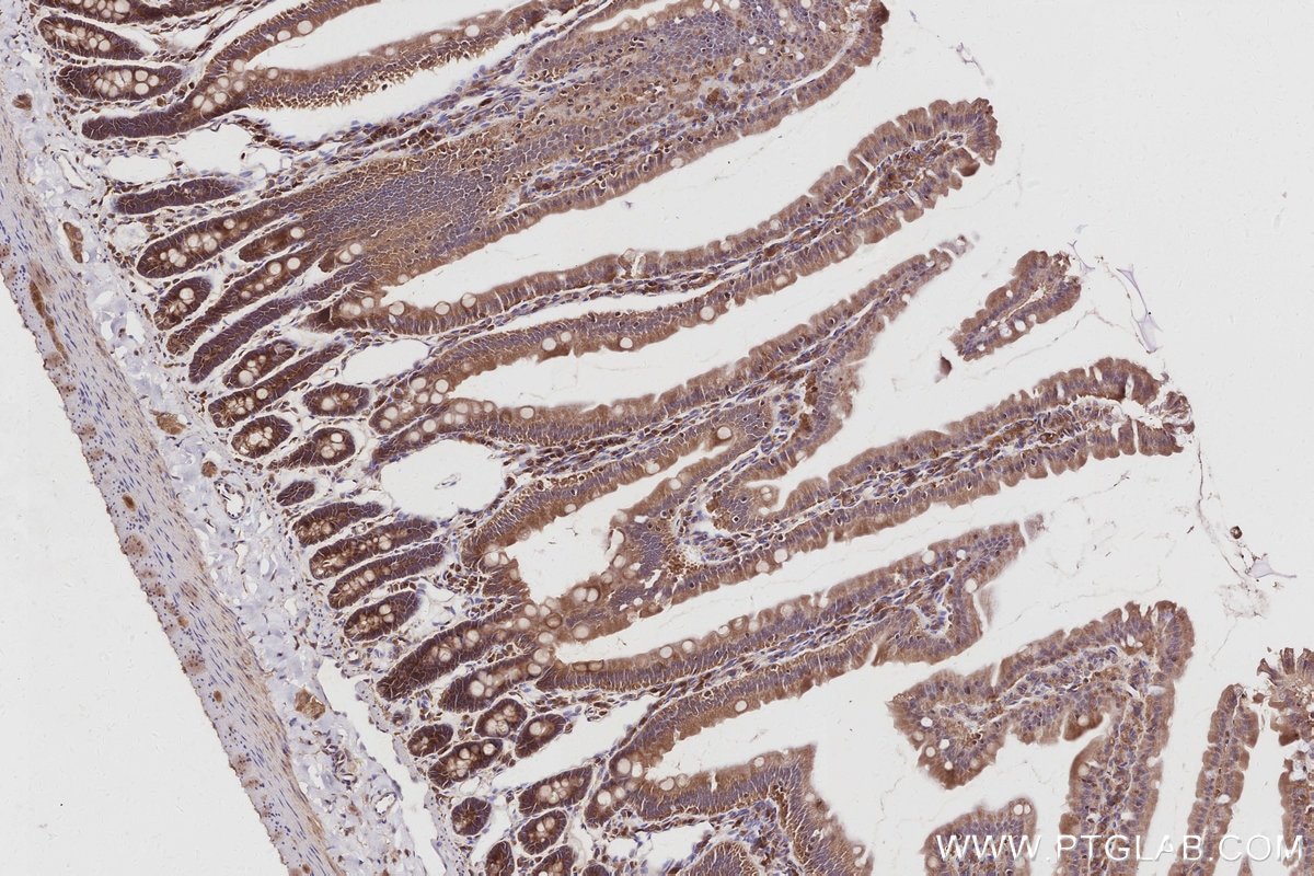
Validation Data Gallery View All
Product Information
KHC3024 is a ready-to-use IHC kit for staining of TNIK. The kit provides all reagents, from antigen retrieval to cover slip mounting, that require little to no diluting or handling prior to use. Simply apply the reagents to your sample slide according to the protocol and you're steps away from obtaining high-quality IHC data.
| Product name | IHCeasy® TNIK Ready-To-Use IHC Kit |
| Sample type | FFPE tissue |
| Assay type | Immunohistochemistry |
| Primary antibody type | Rabbit Recombinant |
| Secondary antibody type | Polymer-HRP-Goat anti-Rabbit |
| Reactivity | Human, Mouse, Rat |
Kit components
| Component | Size | Concentration |
|---|---|---|
| Antigen Retrieval Buffer | 100 mL | 50× |
| Washing Buffer | 100 mL ×2 | 20× |
| Blocking Buffer | 5 mL | RTU |
| Primary Antibody | 5 mL | RTU |
| Secondary Antibody | 5 mL | RTU |
| Chromogen Component A | 0.2 mL | RTU |
| Chromogen Component B | 4 mL | RTU |
| Signal Enhancer | 5 mL | RTU |
| Counter Staining Reagent | 5 mL | RTU |
| Mounting Media | 5 mL | RTU |
| Datasheet | 1 Copy | |
| Manual | 1 Copy |
Background Information
TNIK (Traf2- and Nck-interacting kinase) is one of the germinal center kinase family members involved in cytoskeleton organization and neuronal dendrite extension, which had been implicated in postsynaptic signaling as well as in regulation of cell proliferation. TNiK is expressed in the nervous system and plays key roles at the synapse and nucleus, In non-neuronal cells, TNiK has been described as a critical component of transcriptional regulatory mechanisms, mediated by Wnt signaling. TNIK is also an essential regulatory component of the T-cell factor-4 and β-catenin transcriptional complex and is required for the tumor-initiating function of colorectal cancer stem cells.
Properties
| Storage Instructions | All the reagents are stored at 2-8°C. The kit is stable for 6 months from the date of receipt. |
| Synonyms | EC:2.7.11.1, KIAA0551, TRAF2 and NCK-interacting protein kinase |



