IHCeasy® UCHL5 Ready-To-Use IHC Kit
UCHL5 Ready-to-use reagent kit for IHC.
Cat no : KHC3078
Synonyms
UCH37, AD-019, CGI 70, CGI70, CGI-70
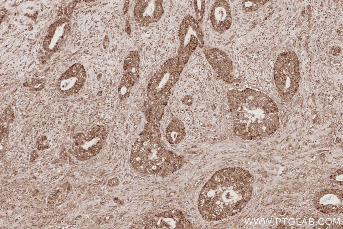
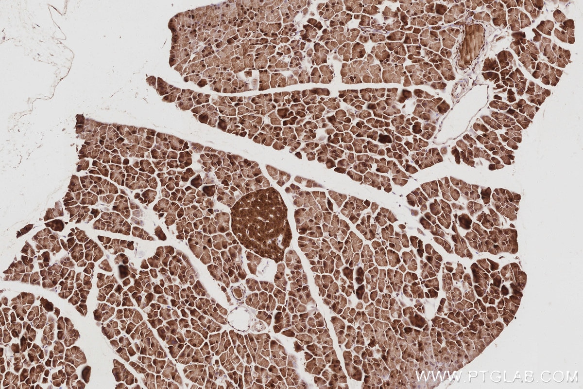
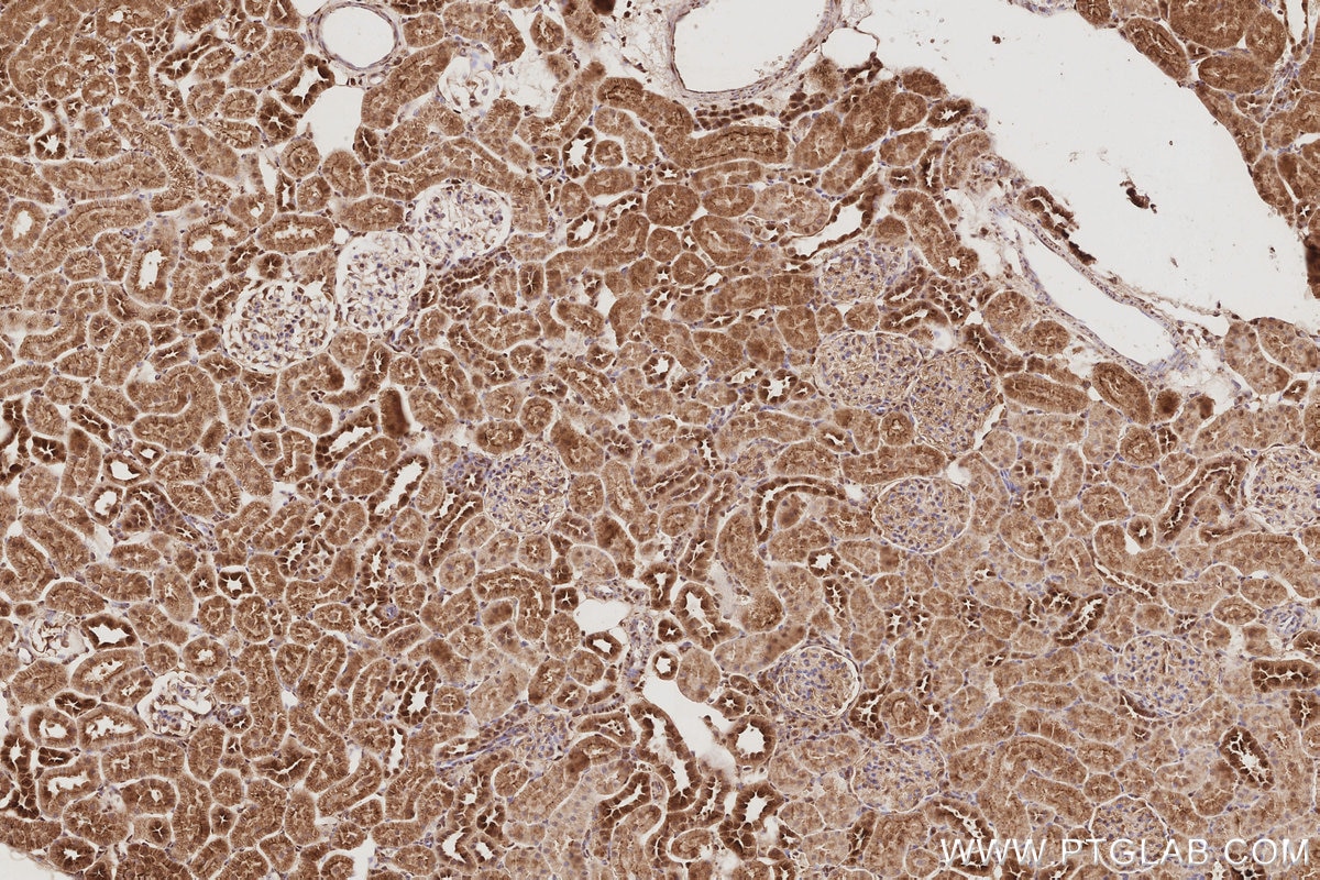
Validation Data Gallery View All
Product Information
KHC3078 is a ready-to-use IHC kit for staining of UCHL5. The kit provides all reagents, from antigen retrieval to cover slip mounting, that require little to no diluting or handling prior to use. Simply apply the reagents to your sample slide according to the protocol and you're steps away from obtaining high-quality IHC data.
| Product name | IHCeasy® UCHL5 Ready-To-Use IHC Kit |
| Sample type | FFPE tissue |
| Assay type | Immunohistochemistry |
| Primary antibody type | Mouse Monoclonal |
| Secondary antibody type | Polymer-HRP-Goat anti-Mouse |
| Reactivity | Human, Mouse, Rat |
Kit components
| Component | Size | Concentration |
|---|---|---|
| Antigen Retrieval Buffer | 100 mL | 50× |
| Washing Buffer | 100 mL ×2 | 20× |
| Blocking Buffer | 5 mL | RTU |
| Primary Antibody | 5 mL | RTU |
| Secondary Antibody | 5 mL | RTU |
| Chromogen Component A | 0.2 mL | RTU |
| Chromogen Component B | 4 mL | RTU |
| Signal Enhancer | 5 mL | RTU |
| Counter Staining Reagent | 5 mL | RTU |
| Mounting Media | 5 mL | RTU |
| Datasheet | 1 Copy | |
| Manual | 1 Copy |
Background Information
UCHL5 (Ubiquitin carboxyl-terminal hydrolase isozyme L5) is also named as UCH37 and belongs to the peptidase C12 family. It is functionally linked with multiple protein complexes and signal transduction pathways.
Properties
| Storage Instructions | All the reagents are stored at 2-8°C. The kit is stable for 6 months from the date of receipt. |
| Synonyms | UCH37, AD-019, CGI 70, CGI70, CGI-70 |






