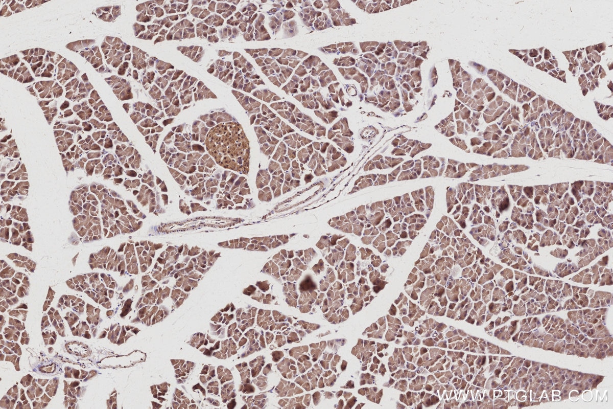
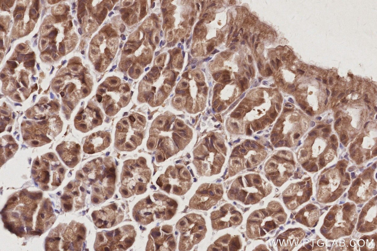
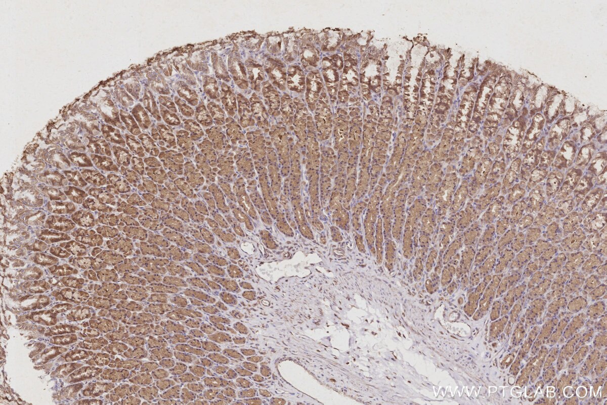
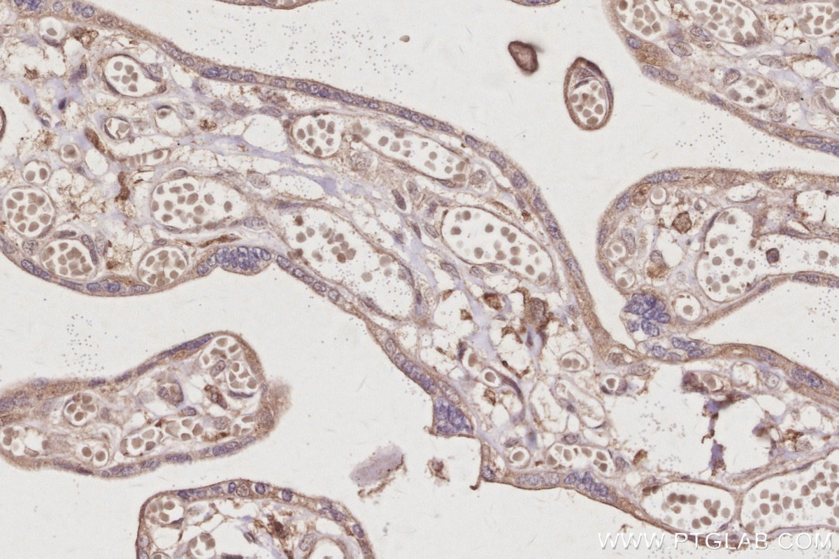
IHCeasy® USP24 Ready-To-Use IHC Kit
USP24 Ready-to-use reagent kit for IHC.
Cat no : KHC3047
Synonyms
Deubiquitinating enzyme 24, EC:3.4.19.12, KIAA1057, Ubiquitin carboxyl-terminal hydrolase 24, Ubiquitin thioesterase 24
Validation Data Gallery View All
Product Information
KHC3047 is a ready-to-use IHC kit for staining of USP24. The kit provides all reagents, from antigen retrieval to cover slip mounting, that require little to no diluting or handling prior to use. Simply apply the reagents to your sample slide according to the protocol and you're steps away from obtaining high-quality IHC data.
| Product name | IHCeasy® USP24 Ready-To-Use IHC Kit |
| Sample type | FFPE tissue |
| Assay type | Immunohistochemistry |
| Primary antibody type | Rabbit Polyclonal |
| Secondary antibody type | Polymer-HRP-Goat anti-Rabbit |
| Reactivity | Human, Mouse, Rat |
Kit components
| Component | Size | Concentration |
|---|---|---|
| Antigen Retrieval Buffer | 100 mL | 50× |
| Washing Buffer | 100 mL ×2 | 20× |
| Blocking Buffer | 5 mL | RTU |
| Primary Antibody | 5 mL | RTU |
| Secondary Antibody | 5 mL | RTU |
| Chromogen Component A | 0.2 mL | RTU |
| Chromogen Component B | 4 mL | RTU |
| Signal Enhancer | 5 mL | RTU |
| Counter Staining Reagent | 5 mL | RTU |
| Mounting Media | 5 mL | RTU |
| Datasheet | 1 Copy | |
| Manual | 1 Copy |
Properties
| Storage Instructions | All the reagents are stored at 2-8°C. The kit is stable for 6 months from the date of receipt. |
| Synonyms | Deubiquitinating enzyme 24, EC:3.4.19.12, KIAA1057, Ubiquitin carboxyl-terminal hydrolase 24, Ubiquitin thioesterase 24 |






