Tested Applications
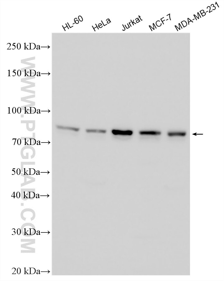
| Positive WB detected in | MCF-7 cells, HL-60 cells, rat testis tissue, HeLa cells, Jurkat cells, MDA-MB-231 cells, mouse kidney tissue |
| Positive IP detected in | HeLa cells |
Recommended dilution
| Application | Dilution |
|---|---|
| Western Blot (WB) | WB : 1:2000-1:10000 |
| Immunoprecipitation (IP) | IP : 0.5-4.0 ug for 1.0-3.0 mg of total protein lysate |
| It is recommended that this reagent should be titrated in each testing system to obtain optimal results. | |
| Sample-dependent, Check data in validation data gallery. | |
Published Applications
| KD/KO | See 2 publications below |
| WB | See 12 publications below |
| IHC | See 1 publications below |
Product Information
15271-1-AP targets INTS10 in WB, IHC, IP, ELISA applications and shows reactivity with human, mouse, rat samples.
| Tested Reactivity | human, mouse, rat |
| Cited Reactivity | human, mouse, rat |
| Host / Isotype | Rabbit / IgG |
| Class | Polyclonal |
| Type | Antibody |
| Immunogen |
CatNo: Ag7383 Product name: Recombinant human INTS10 protein Source: e coli.-derived, PGEX-4T Tag: GST Domain: 37-382 aa of BC001915 Sequence: LLKVTEQCFNTLERSEMLLLLLRRFPETVVQHGVGLGEALLEAETIEEQESPVNCFRKLFVCDVLPLIINNHDVRLPANLLYKYLNKAAEFYINYVTRSTQIENQHQGAQDTSDLMSPSKRSSQKYIIEGLTEKSSQIVDPWERLFKILNVVGMRCEWQMDKGRRSYGDILHRMKDLCRYMNNFDSEAHAKYKNQVVYSTMLVFFKNAFQYVNSIQPSLFQGPNAPSQVPLVLLEDVSNVYGDVEIDRNKHIHKKRKLAEGREKTMSSDDEDCSAKGRNRHIVVNKAELANSTEVLESFKLARESWELLYSLEFLDKEFTRICLAWKTDTWLWLRIFLTDMIIYQG Predict reactive species |
| Full Name | integrator complex subunit 10 |
| Calculated Molecular Weight | 82 kDa |
| Observed Molecular Weight | 70-82 kDa |
| GenBank Accession Number | BC001915 |
| Gene Symbol | INTS10 |
| Gene ID (NCBI) | 55174 |
| RRID | AB_2127260 |
| Conjugate | Unconjugated |
| Form | Liquid |
| Purification Method | Antigen affinity purification |
| UNIPROT ID | Q9NVR2 |
| Storage Buffer | PBS with 0.02% sodium azide and 50% glycerol, pH 7.3. |
| Storage Conditions | Store at -20°C. Stable for one year after shipment. Aliquoting is unnecessary for -20oC storage. 20ul sizes contain 0.1% BSA. |
Background Information
INTS10 is a subunit of the Integrator complex, which associates with the C-terminal domain of RNA polymerase II large subunit. INTS10, Asunder/INTS13 and INTS14 form a separable, functional Integrator module.
Protocols
| Product Specific Protocols | |
|---|---|
| IP protocol for INTS10 antibody 15271-1-AP | Download protocol |
| WB protocol for INTS10 antibody 15271-1-AP | Download protocol |
| Standard Protocols | |
|---|---|
| Click here to view our Standard Protocols |
Publications
| Species | Application | Title |
|---|---|---|
Mol Cell PGC-1α senses the CBC of pre-mRNA to dictate the fate of promoter-proximally paused RNAPII | ||
Mol Cell Integrator Recruits Protein Phosphatase 2A to Prevent Pause Release and Facilitate Transcription Termination. | ||
Nat Commun INTS13 variants causing a recessive developmental ciliopathy disrupt assembly of the Integrator complex | ||
Nat Commun INTS10-INTS13-INTS14 form a functional module of Integrator that binds nucleic acids and the cleavage module.
| ||
Nat Commun DSIF and NELF interact with Integrator to specify the correct post-transcriptional fate of snRNA genes. | ||
Proc Natl Acad Sci U S A Molecular basis for the interaction between Integrator subunits IntS9 and IntS11 and its functional importance. |







