Tested Applications
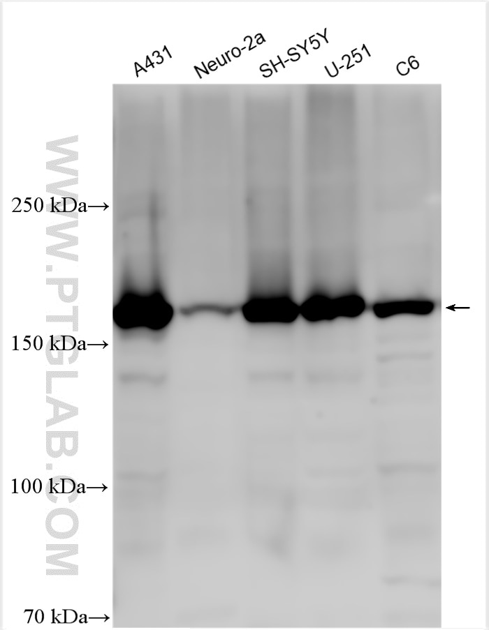
| Positive WB detected in | A431 cells, HeLa cells, Neuro-2a cells, SH-SY5Y cells, U-251 cells, C6 cells |
Recommended dilution
| Application | Dilution |
|---|---|
| Western Blot (WB) | WB : 1:500-1:2000 |
| It is recommended that this reagent should be titrated in each testing system to obtain optimal results. | |
| Sample-dependent, Check data in validation data gallery. | |
Product Information
30140-1-AP targets KIAA1797 in WB, ELISA applications and shows reactivity with Human, mouse, rat samples.
| Tested Reactivity | Human, mouse, rat |
| Host / Isotype | Rabbit / IgG |
| Class | Polyclonal |
| Type | Antibody |
| Immunogen |
CatNo: Ag31233 Product name: Recombinant human KIAA1797 protein Source: e coli.-derived, PET28a Tag: 6*His Domain: 230-502 aa of BC001246 Sequence: LLSEATGKIFDLLPNKIRRKDLELYISIAKCLLEMTDDDANRIAQVTKSNIEKAAFVKLYLVSQGRFPLVNLTDMLSVAVQHREKEVLAWMILHSLYQARIVSHANTGVLKRMEWLLELMGYIRNVAYQSTSFHNTALDEALDFFLLIFATAVVAWADHTAPLLLGLSASWLPWHQENGPAGPVPSFLGRSPMHRVTLQEVLTLLPNSMALLLQKEPWKEQTQKFIDWLFSIMESPKEALSAQSRDLLKATLLSLRVLPEFKKKAVWTRAYGW Predict reactive species |
| Full Name | KIAA1797 |
| Observed Molecular Weight | 160-170 kDa |
| GenBank Accession Number | BC001246 |
| Gene Symbol | KIAA1797 |
| Gene ID (NCBI) | 54914 |
| RRID | AB_3086244 |
| Conjugate | Unconjugated |
| Form | Liquid |
| Purification Method | Antigen affinity purification |
| UNIPROT ID | Q5VW36 |
| Storage Buffer | PBS with 0.02% sodium azide and 50% glycerol, pH 7.3. |
| Storage Conditions | Store at -20°C. Stable for one year after shipment. Aliquoting is unnecessary for -20oC storage. 20ul sizes contain 0.1% BSA. |
Background Information
KIAA1797 is a novel component of the focal adhesion complex expressed in glial and neuronal cells with a tumour suppressor function in gliomas, which is also named 'focadhesin' (PMID: 22427331).
Protocols
| Product Specific Protocols | |
|---|---|
| IF protocol for KIAA1797 antibody 30140-1-AP | Download protocol |
| WB protocol for KIAA1797 antibody 30140-1-AP | Download protocol |
| Standard Protocols | |
|---|---|
| Click here to view our Standard Protocols |





