Tested Applications
| Positive WB detected in | HEK-293 cells, Jurkat cells |
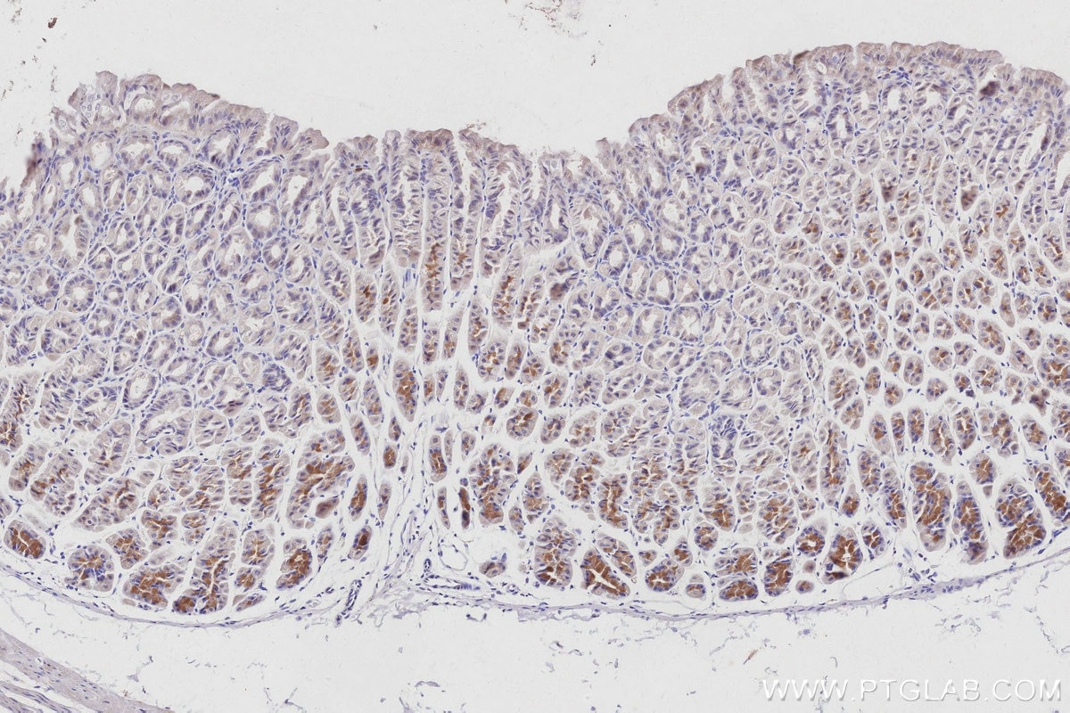
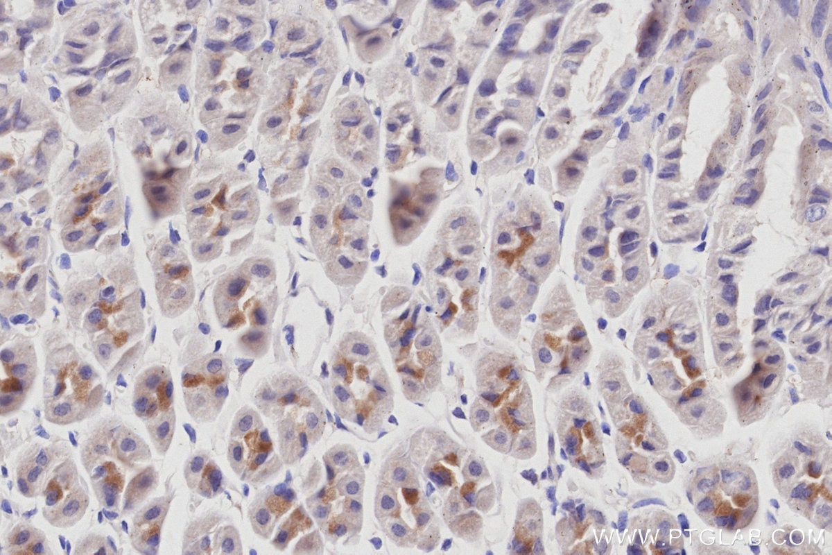
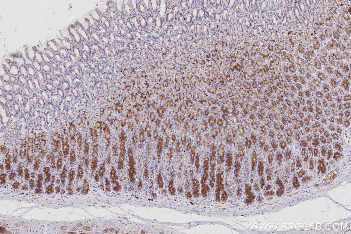
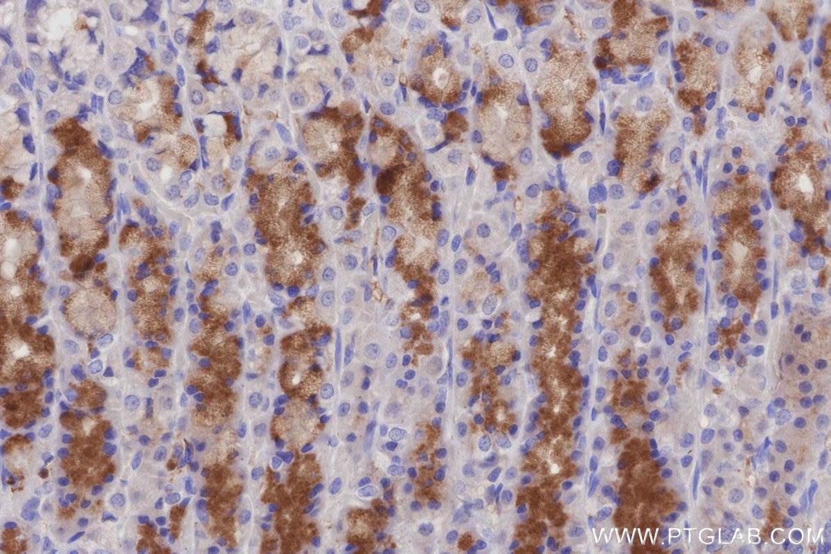
| Positive IHC detected in | mouse stomach tissue, rat stomach tissue Note: suggested antigen retrieval with TE buffer pH 9.0; (*) Alternatively, antigen retrieval may be performed with citrate buffer pH 6.0 |
Recommended dilution
| Application | Dilution |
|---|---|
| Western Blot (WB) | WB : 1:1000-1:6000 |
| Immunohistochemistry (IHC) | IHC : 1:1000-1:4000 |
| It is recommended that this reagent should be titrated in each testing system to obtain optimal results. | |
| Sample-dependent, Check data in validation data gallery. | |
Published Applications
| WB | See 1 publications below |
Product Information
66748-1-Ig targets KIDINS220 in WB, IHC, ELISA applications and shows reactivity with human, mouse, rat samples.
| Tested Reactivity | human, mouse, rat |
| Cited Reactivity | human |
| Host / Isotype | Mouse / IgG2b |
| Class | Monoclonal |
| Type | Antibody |
| Immunogen |
CatNo: Ag17624 Product name: Recombinant human KIDINS220 protein Source: e coli.-derived, PET28a Tag: 6*His Domain: 1374-1672 aa of BC130610 Sequence: LDPITEEDEKSDQSGSKLLPGKKSSERSSLFQTDLKLKGSGLRYQKLPSDEDESGTEESDNTPLLKDDKDRKAEGKVERVPKSPEHSAEPIRTFIKAKEYLSDALLDKKDSSDSGVRSSESSPNHSLHNEVADDSQLEKANLIELEDDSHSGKRGIPHSLSGLQDPIIARMSICSEDKKSPSECSLIASSPEENWPACQKAYNLNRTPSTVTLNNNSAPANRANQNFDEMEGIRETSQVILRPSSSPNPTTIQNENLKSMTHKRSQRSSYTRLSKDPPELHAAASSESTGFGEERESIL Predict reactive species |
| Full Name | kinase D-interacting substrate, 220kDa |
| Calculated Molecular Weight | 1672 aa, 187 kDa |
| Observed Molecular Weight | 200 kDa |
| GenBank Accession Number | BC130610 |
| Gene Symbol | KIDINS220 |
| Gene ID (NCBI) | 57498 |
| RRID | AB_2882095 |
| Conjugate | Unconjugated |
| Form | Liquid |
| Purification Method | Protein A purification |
| UNIPROT ID | Q9ULH0 |
| Storage Buffer | PBS with 0.02% sodium azide and 50% glycerol, pH 7.3. |
| Storage Conditions | Store at -20°C. Stable for one year after shipment. Aliquoting is unnecessary for -20oC storage. 20ul sizes contain 0.1% BSA. |
Background Information
Kidins220 (Kinase D-interacting substrate 220 kD) is a crucial mediator of signal transduction in neural tissues. Also it named ARMS(Ankyrin Repeat-Rich Membrane Spanning) due to the presence of ankyrin repeats and transmembrane domains together with other binding motifs. It is a multidomain transmembrane protein that not only transduces signaling mediated by the receptor tyrosine kinase (RTK), but also regulates the stability of cytoskeletal network through a number of cytoskeleton-associated proteins, including Septin5, MAPs , and stathmin family members. KIDINS220 exists some isoforms with MV 194 kDa, 185 kDa, 115 kDa, and 60 kDa.
Protocols
| Product Specific Protocols | |
|---|---|
| IHC protocol for KIDINS220 antibody 66748-1-Ig | Download protocol |
| WB protocol for KIDINS220 antibody 66748-1-Ig | Download protocol |
| Standard Protocols | |
|---|---|
| Click here to view our Standard Protocols |









