Tested Applications
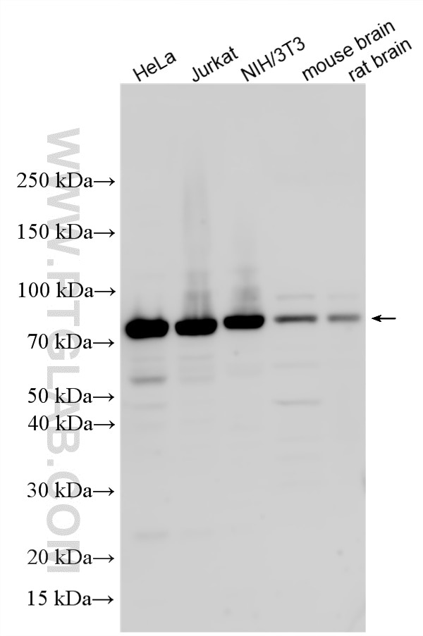
| Positive WB detected in | HeLa cells, Jurkat cells, NIH/3T3 cells, mouse brain tissue, rat brain tissue |
| Positive IHC detected in | human breast cancer tissue, human placenta tissue, human testis tissue, human skin tissue, human liver tissue, human spleen tissue, human stomach cancer tissue, human ovary tissue Note: suggested antigen retrieval with TE buffer pH 9.0; (*) Alternatively, antigen retrieval may be performed with citrate buffer pH 6.0 |
| Positive IF/ICC detected in | HeLa cells |
Recommended dilution
| Application | Dilution |
|---|---|
| Western Blot (WB) | WB : 1:5000-1:50000 |
| Immunohistochemistry (IHC) | IHC : 1:50-1:500 |
| Immunofluorescence (IF)/ICC | IF/ICC : 1:50-1:500 |
| It is recommended that this reagent should be titrated in each testing system to obtain optimal results. | |
| Sample-dependent, Check data in validation data gallery. | |
Published Applications
| KD/KO | See 3 publications below |
| WB | See 13 publications below |
| IF | See 3 publications below |
| IP | See 3 publications below |
Product Information
17067-1-AP targets LARP7 in WB, IHC, IF/ICC, IP, ELISA applications and shows reactivity with human, mouse, rat samples.
| Tested Reactivity | human, mouse, rat |
| Cited Reactivity | human, mouse |
| Host / Isotype | Rabbit / IgG |
| Class | Polyclonal |
| Type | Antibody |
| Immunogen |
CatNo: Ag10891 Product name: Recombinant human LARP7 protein Source: e coli.-derived, PGEX-4T Tag: GST Domain: 83-331 aa of BC006981 Sequence: LTTDGKLIARALRSSAVVELDLEGTRIRRKKPLGERPKDEDERTVYVELLPKNVNHSWIERVFGKCGNVVYISIPHYKSTGDPKGFAFVEFETKEQAAKAIEFLNNPPEEAPRKPGIFPKTVKNKPIPALRVVEEKKKKKKKKGRMKKEDNIQAKEENMDTSNTSISKMKRSRPTSEGSDIESTEPQKQCSKKKKKRDRVEASSLPEVRTGKRKRSSSEDAESLAPRSKVKKIIQKDIIKEASEASKE Predict reactive species |
| Full Name | La ribonucleoprotein domain family, member 7 |
| Calculated Molecular Weight | 582 aa, 67 kDa |
| Observed Molecular Weight | 67 kDa |
| GenBank Accession Number | BC006981 |
| Gene Symbol | LARP7 |
| Gene ID (NCBI) | 51574 |
| RRID | AB_2132693 |
| Conjugate | Unconjugated |
| Form | Liquid |
| Purification Method | Antigen affinity purification |
| UNIPROT ID | Q4G0J3 |
| Storage Buffer | PBS with 0.02% sodium azide and 50% glycerol, pH 7.3. |
| Storage Conditions | Store at -20°C. Stable for one year after shipment. Aliquoting is unnecessary for -20oC storage. 20ul sizes contain 0.1% BSA. |
Background Information
LARP7 belongs to the LARP RNA-binding protein family, which includes the lupus LA antigen gene, and modulates the metabolism and function of a variety of RNA species [PMID:20138158]. LARP7 binds to the 7SK RNP complex, and sequesters the positive transcription elongation factor b (P-TEFb) in an inactive form, preventing RNA polymerase II phosphorylation and subsequent transcriptional elongation. binds to and stabilizes 7sk snRNA[PMID:19416841].
Protocols
| Product Specific Protocols | |
|---|---|
| IF protocol for LARP7 antibody 17067-1-AP | Download protocol |
| IHC protocol for LARP7 antibody 17067-1-AP | Download protocol |
| WB protocol for LARP7 antibody 17067-1-AP | Download protocol |
| Standard Protocols | |
|---|---|
| Click here to view our Standard Protocols |
Publications
| Species | Application | Title |
|---|---|---|
Genes Dev Cell cycle gene-specific control of transcription has a critical role in proliferation of primordial germ cells. | ||
Nat Commun Interaction of 7SK with the Smn complex modulates snRNP production.
| ||
Nucleic Acids Res HMGA1 recruits CTIP2-repressed P-TEFb to the HIV-1 and cellular target promoters. | ||
Nucleic Acids Res 7SK small nuclear RNA directly affects HMGA1 function in transcription regulation. | ||
EMBO Rep Human METTL16 is a N6-methyladenosine (m6A) methyltransferase that targets pre-mRNAs and various non-coding RNAs. | ||
MBio Interaction of the Ankyrin H Core Effector of Legionella with the Host LARP7 Component of the 7SK snRNP Complex. |
Reviews
The reviews below have been submitted by verified Proteintech customers who received an incentive for providing their feedback.
FH Monika (Verified Customer) (10-09-2023) | Great antibody, successfully used in western blots with 1:1000 to 1:2000 dilutions. Verified using a Calu-3 and HEK293T LARP7 knock-out cell lines.
|



































