Tested Applications
| Positive WB detected in | Jurkat cells, RAW 264.7 cells, mouse testis tissue, rat testis tissue |
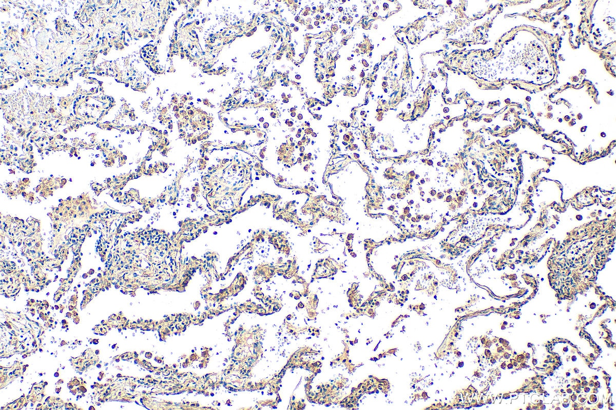
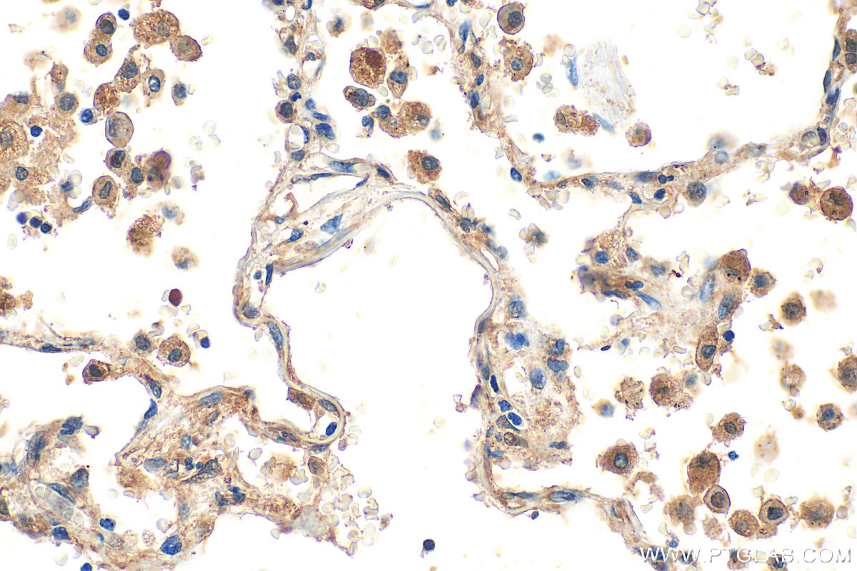
| Positive IHC detected in | human lung tissue Note: suggested antigen retrieval with TE buffer pH 9.0; (*) Alternatively, antigen retrieval may be performed with citrate buffer pH 6.0 |
| Positive IF/ICC detected in | HeLa cells |
Recommended dilution
| Application | Dilution |
|---|---|
| Western Blot (WB) | WB : 1:1000-1:4000 |
| Immunohistochemistry (IHC) | IHC : 1:200-1:800 |
| Immunofluorescence (IF)/ICC | IF/ICC : 1:50-1:500 |
| It is recommended that this reagent should be titrated in each testing system to obtain optimal results. | |
| Sample-dependent, Check data in validation data gallery. | |
Published Applications
| KD/KO | See 1 publications below |
| WB | See 3 publications below |
| IF | See 1 publications below |
Product Information
14973-1-AP targets MTMR14 in WB, IHC, IF/ICC, ELISA applications and shows reactivity with human, mouse, rat samples.
| Tested Reactivity | human, mouse, rat |
| Cited Reactivity | human, mouse |
| Host / Isotype | Rabbit / IgG |
| Class | Polyclonal |
| Type | Antibody |
| Immunogen |
CatNo: Ag6883 Product name: Recombinant human MTMR14 protein Source: e coli.-derived, PET28a Tag: 6*His Domain: 245-598 aa of BC050626 Sequence: LSIPYPGCEFFKEYKDRDYMAEGLIFNWKQDYVDAPLSIPDFLTHSLNIDWSQYQCWDLVQQTQNYLKLLLSLVNSDDDSGLLVHCISGWDRTPLFISLLRLSLWADGLIHTSLKPTEILYLTVAYDWFLFGHMLVDRLSKGEEIFFFCFNFLKHITSEEFSALKTQRRKSLPARDGGFTLEDICMLRRKDRGSTTSLGSDFSLVMESSPGATGSFTYEAVELVPAGAPTQAAWRKSHSSSPQSVLWNRPQPSEDRLPSQQGLAEARSSSSSSSNHSDNFFRMGSSPLEVPKPRLAALSDRETRLQEVRSAFLAAYSSTVGLRAVAPSPSGAIGGLLEQFARGVGLRSISSNAL Predict reactive species |
| Full Name | myotubularin related protein 14 |
| Calculated Molecular Weight | 72 kDa |
| Observed Molecular Weight | 60-72 kDa |
| GenBank Accession Number | BC050626 |
| Gene Symbol | MTMR14 |
| Gene ID (NCBI) | 64419 |
| RRID | AB_2147828 |
| Conjugate | Unconjugated |
| Form | Liquid |
| Purification Method | Antigen affinity purification |
| UNIPROT ID | Q8NCE2 |
| Storage Buffer | PBS with 0.02% sodium azide and 50% glycerol, pH 7.3. |
| Storage Conditions | Store at -20°C. Stable for one year after shipment. Aliquoting is unnecessary for -20oC storage. 20ul sizes contain 0.1% BSA. |
Background Information
MTMR14, also known as Jumpy, belongs to the MTM1/MTMRs family which has 15 members that divided into two subgroup: catalytically inactive and active. MTMR14 is a catalytically active member possessing an active phosphatase domain, that specifically dephosphorylates PI3P and phosphatidylinositol (3,5)-bisphosphate (PI3,5P2) at position 3 on inositol ring. A remarkable feature of the MTM1/MTMRs family is the association between a catalytically inactive member and a catalytically active member, which plays an important regulatory role. MTMR14 has 3 isoforms with molecular weight of 60-72 kDa.
Protocols
| Product Specific Protocols | |
|---|---|
| IF protocol for MTMR14 antibody 14973-1-AP | Download protocol |
| IHC protocol for MTMR14 antibody 14973-1-AP | Download protocol |
| WB protocol for MTMR14 antibody 14973-1-AP | Download protocol |
| Standard Protocols | |
|---|---|
| Click here to view our Standard Protocols |
Publications
| Species | Application | Title |
|---|---|---|
Respir Res MTMR14 depletion aggravates intrapulmonary inflammation and emphysema in experimental COPD through activating macrophage M1 polarization | ||
Nat Commun Mitochondrial damage triggers the concerted degradation of negative regulators of neuronal autophagy. | ||
Gene Knockdown MTMR14 promotes cell apoptosis and inhibits migration in liver cancer cells.
|







