Tested Applications
| Positive WB detected in | mouse colon tissue, human placenta tissue, rat colon tissue |
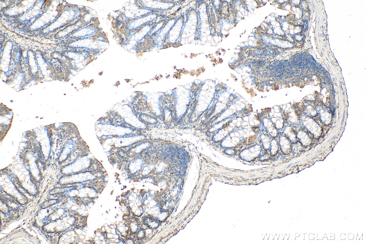
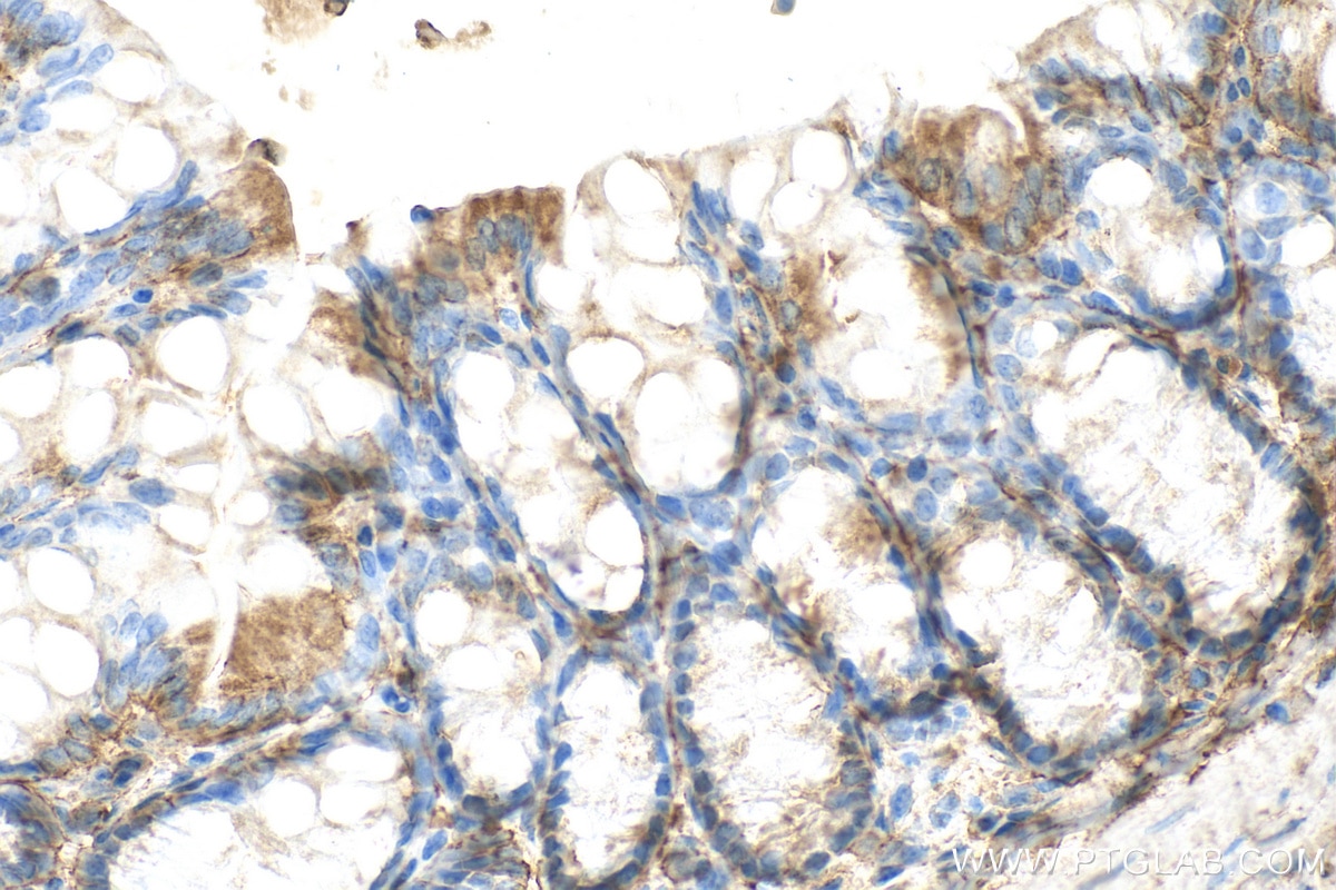
| Positive IHC detected in | mouse colon tissue Note: suggested antigen retrieval with TE buffer pH 9.0; (*) Alternatively, antigen retrieval may be performed with citrate buffer pH 6.0 |
Recommended dilution
| Application | Dilution |
|---|---|
| Western Blot (WB) | WB : 1:500-1:1000 |
| Immunohistochemistry (IHC) | IHC : 1:50-1:500 |
| It is recommended that this reagent should be titrated in each testing system to obtain optimal results. | |
| Sample-dependent, Check data in validation data gallery. | |
Published Applications
| KD/KO | See 1 publications below |
| WB | See 7 publications below |
| IF | See 2 publications below |
Product Information
26655-1-AP targets Malectin in WB, IHC, IF, ELISA applications and shows reactivity with human, mouse, rat samples.
| Tested Reactivity | human, mouse, rat |
| Cited Reactivity | human, mouse, rat |
| Host / Isotype | Rabbit / IgG |
| Class | Polyclonal |
| Type | Antibody |
| Immunogen |
CatNo: Ag24379 Product name: Recombinant human MLEC protein Source: e coli.-derived, PGEX-4T Tag: GST Domain: 106-269 aa of BC000371 Sequence: EETFGYEVPIKEEGDYVLVLKFAEVYFAQSQQKVFDVRLNGHVVVKDLDIFDRVGHSTAHDEIIPMSIRKGKLSVQGEVSTFTGKLYIEFVKGYYDNPKVCALYIMAGTVDDVPKLQPHPGLEKKEEEEEEEEYDEGSNLKKQTNKNRVQSGPRTPNPYASDNS Predict reactive species |
| Full Name | malectin |
| Calculated Molecular Weight | 292 aa, 32 kDa |
| Observed Molecular Weight | 32 kDa |
| GenBank Accession Number | BC000371 |
| Gene Symbol | Malectin |
| Gene ID (NCBI) | 9761 |
| RRID | AB_2880591 |
| Conjugate | Unconjugated |
| Form | Liquid |
| Purification Method | Antigen affinity purification |
| UNIPROT ID | Q14165 |
| Storage Buffer | PBS with 0.02% sodium azide and 50% glycerol, pH 7.3. |
| Storage Conditions | Store at -20°C. Stable for one year after shipment. Aliquoting is unnecessary for -20oC storage. 20ul sizes contain 0.1% BSA. |
Background Information
Malectin is a conserved, endoplasmic reticulum (ER)-resident lectin that recognizes high mannose oligosaccharides displaying terminal glucose residues. Like other intracellular lectins involved in glycoprotein quality control, malectin is highly conserved in animals (PMID: 21298103).
Protocols
| Product Specific Protocols | |
|---|---|
| IHC protocol for Malectin antibody 26655-1-AP | Download protocol |
| WB protocol for Malectin antibody 26655-1-AP | Download protocol |
| Standard Protocols | |
|---|---|
| Click here to view our Standard Protocols |
Publications
| Species | Application | Title |
|---|---|---|
J Cell Biol Competition for calnexin binding regulates secretion and turnover of misfolded GPI-anchored proteins | ||
Exp Cell Res Blood coagulation factor VIII D1241E polymorphism leads to a weak malectin interaction and reduction of factor VIII posttranslational modification and secretion.
| ||
Biochemistry Integrated Structural Analysis of N-Glycans and Free Oligosaccharides Allows for a Quantitative Evaluation of ER Stress. | ||
Int Immunopharmacol Identification of TAP1 as a T-cell related therapeutic target in gastric cancer by mediating oxalipliatin-related synergistic enhancement of immunotherapy | ||
bioRxiv The glycoprotein quality control factor Malectin promotes coronavirus replication and viral protein biogenesis |









