Tested Applications
| Positive WB detected in | mouse liver tissue, Jurkat cells, HepG2 cells, L02 cells, rat liver tissue |
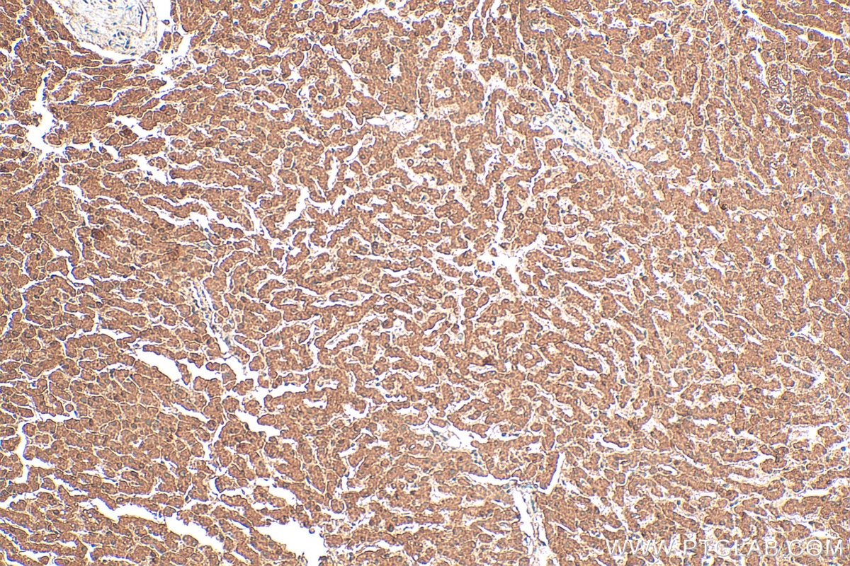
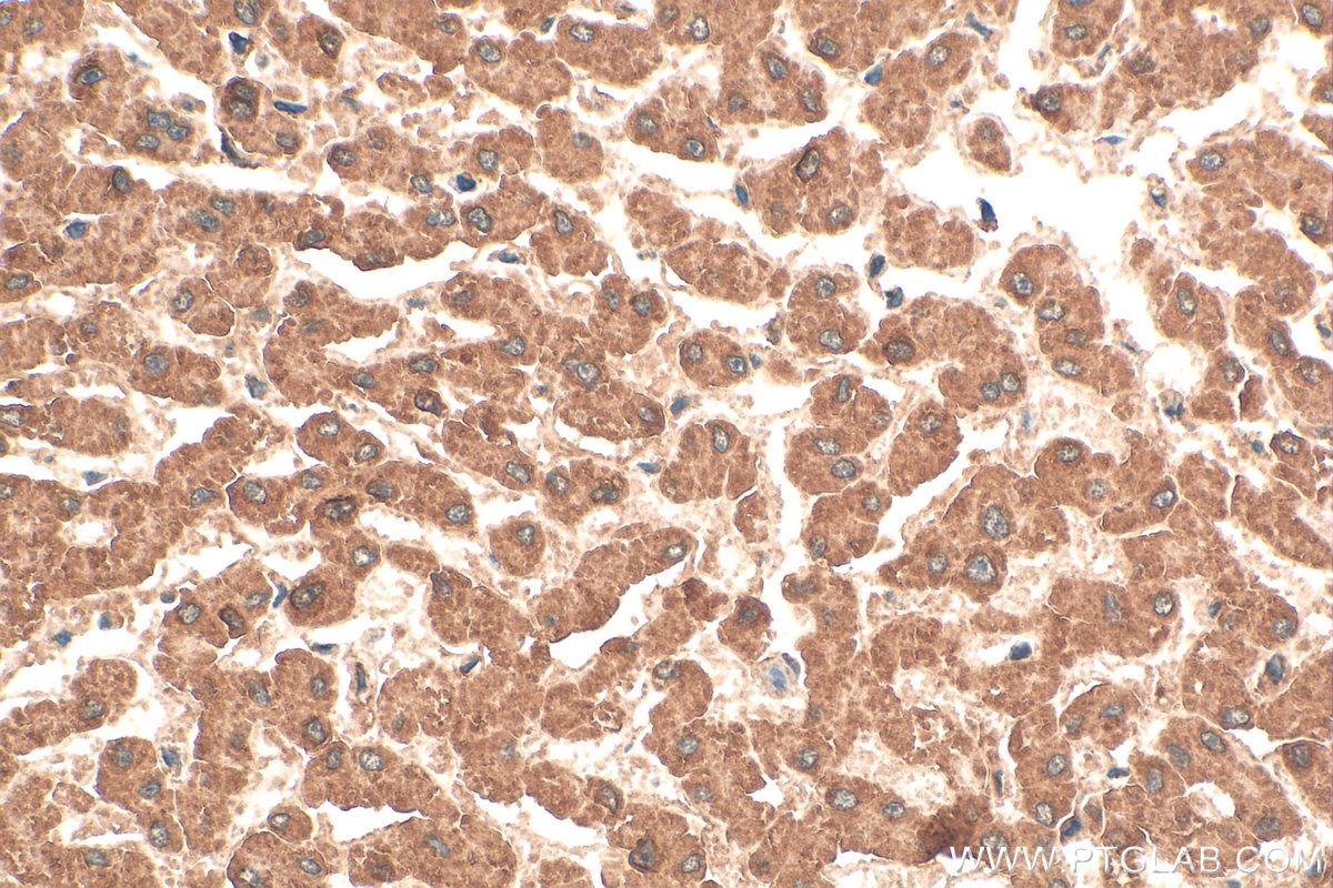
| Positive IHC detected in | human liver tissue, human small intestine tissue Note: suggested antigen retrieval with TE buffer pH 9.0; (*) Alternatively, antigen retrieval may be performed with citrate buffer pH 6.0 |
| Positive IF/ICC detected in | HepG2 cells, Hela cells |
Recommended dilution
| Application | Dilution |
|---|---|
| Western Blot (WB) | WB : 1:1000-1:6000 |
| Immunohistochemistry (IHC) | IHC : 1:50-1:500 |
| Immunofluorescence (IF)/ICC | IF/ICC : 1:10-1:100 |
| It is recommended that this reagent should be titrated in each testing system to obtain optimal results. | |
| Sample-dependent, Check data in validation data gallery. | |
Published Applications
| WB | See 3 publications below |
| IHC | See 1 publications below |
Product Information
21566-1-AP targets NAGS in WB, IHC, IF/ICC, ELISA applications and shows reactivity with human, mouse, rat samples.
| Tested Reactivity | human, mouse, rat |
| Cited Reactivity | human, mouse, rat |
| Host / Isotype | Rabbit / IgG |
| Class | Polyclonal |
| Type | Antibody |
| Immunogen |
CatNo: Ag16073 Product name: Recombinant human NAGS protein Source: e coli.-derived, PGEX-4T Tag: GST Domain: 1-368 aa of BC111713 Sequence: MDMKPLVVLGLPAPTAPSGCLSFWEAKAQLAKSCKVLVDALRHNAAAAVPFFGGGSVLRAAEPAPHASYGGIVSVETDLLQWCLESGSIPILCPIGETAARRSVLLDSLEVTASLAKALRPTKIIFLNNTGGLRDSSHKVLSNVNLPADLDLVCNAEWVSTKERQQMRLIVDVLSRLPHHSSAVITAASTLLTELFSNKGSGTLFKNAERMLRVRSLDKLDQGRLVDLVNASFGKKLRDDYLASLRPRLHSIYVSEGYNAAAILTMEPVLGGTPYLDKFVVSSSRQGQGSGQMLWECLRRDLQTLFWRSRVTNPINPWYFKHSDGSFSNKQWIFFWFGLADIRDSYELVNHAKGLPDSFHKPASDPGS Predict reactive species |
| Full Name | N-acetylglutamate synthase |
| Calculated Molecular Weight | 534 aa, 58 kDa |
| Observed Molecular Weight | 58-66 kDa |
| GenBank Accession Number | BC111713 |
| Gene Symbol | NAGS |
| Gene ID (NCBI) | 162417 |
| RRID | AB_10733886 |
| Conjugate | Unconjugated |
| Form | Liquid |
| Purification Method | Antigen affinity purification |
| UNIPROT ID | Q8N159 |
| Storage Buffer | PBS with 0.02% sodium azide and 50% glycerol, pH 7.3. |
| Storage Conditions | Store at -20°C. Stable for one year after shipment. Aliquoting is unnecessary for -20oC storage. 20ul sizes contain 0.1% BSA. |
Background Information
N-acetylglutamate synthase, also known as NAGS, is a mitochondrial enzyme that catalyzes the formation of N-acetylglutamate (NAG) from glutamate and acetyl coenzyme-A. NAGS is the key enzyme for regulating the hepatic urea cycle and is also highly expressed in the kidney and gut. Deficiency of NAGS leads to hyperammonemia due to decreased activity of CPSI deprived of its cofactor NAG(PMID:12459178,12754705).
Protocols
| Product Specific Protocols | |
|---|---|
| IF protocol for NAGS antibody 21566-1-AP | Download protocol |
| IHC protocol for NAGS antibody 21566-1-AP | Download protocol |
| WB protocol for NAGS antibody 21566-1-AP | Download protocol |
| Standard Protocols | |
|---|---|
| Click here to view our Standard Protocols |
Publications
| Species | Application | Title |
|---|---|---|
Mol Metab SWI/SNF complex subunit BAF60a represses hepatic ureagenesis through a crosstalk between YB-1 and PGC-1α. | ||
Heliyon Machine learning deciphers the significance of mitochondrial regulators on the diagnosis and subtype classification in non-alcoholic fatty liver disease | ||
Drug Des Devel Ther The Potential Mechanisms of Althaea rosea (Linn.) Cavan. Flower in Alleviating Tetrodotoxin Poisoning: An Integrated Metabolomics, Network Pharmacology and Experimental Validation |
Reviews
The reviews below have been submitted by verified Proteintech customers who received an incentive for providing their feedback.
FH Heaji (Verified Customer) (09-30-2019) | As shown in the image the antibody recognizes a strong band of the wrong size in the NAGS knockout model -- I don't think this works as intended. Thank you.
![]() |




















