Tested Applications
| Positive WB detected in | mouse kidney tissue, mouse liver tissue |
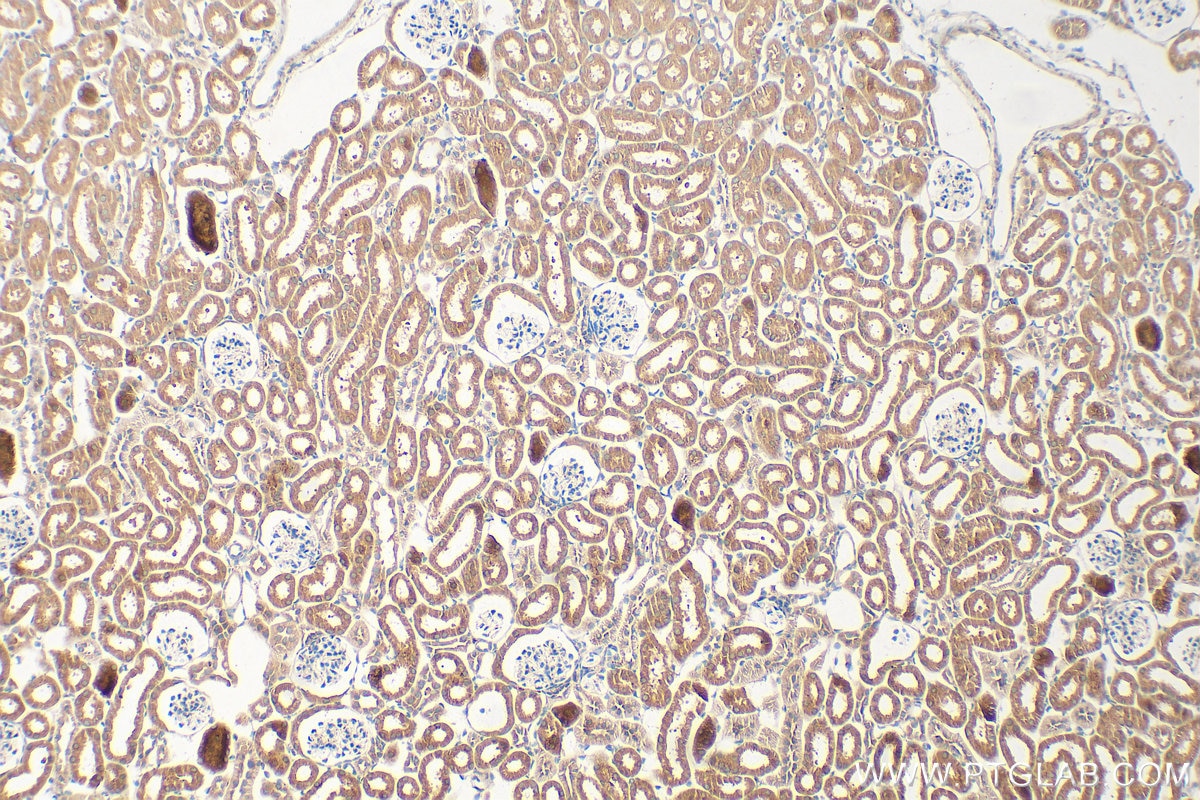
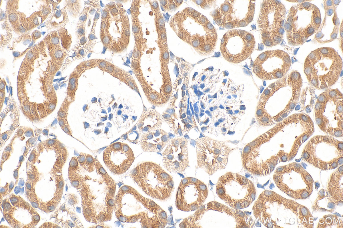
| Positive IHC detected in | mouse kidney tissue Note: suggested antigen retrieval with TE buffer pH 9.0; (*) Alternatively, antigen retrieval may be performed with citrate buffer pH 6.0 |
Recommended dilution
| Application | Dilution |
|---|---|
| Western Blot (WB) | WB : 1:500-1:2000 |
| Immunohistochemistry (IHC) | IHC : 1:50-1:500 |
| It is recommended that this reagent should be titrated in each testing system to obtain optimal results. | |
| Sample-dependent, Check data in validation data gallery. | |
Product Information
10908-1-AP targets NAT8 in WB, IHC, ELISA applications and shows reactivity with human, mouse samples.
| Tested Reactivity | human, mouse |
| Host / Isotype | Rabbit / IgG |
| Class | Polyclonal |
| Type | Antibody |
| Immunogen |
CatNo: Ag1353 Product name: Recombinant human NAT8 protein Source: e coli.-derived, PGEX-4T Tag: GST Domain: 1-227 aa of BC012626 Sequence: MAPCHIRKYQESDRQWVVGLLSRGMAEHAPATFRQLLKLPRTLILLLGGPLALLLVSGSWLLALVFSISLFPALWFLAKKPWTEYVDMTLCTDMSDITKSYLSERGSCFWVAESEEKVVGMVGALPVDDPTLREKRLQLFHLFVDSEHRRQGIAKALVRTVLQFARDQGYSEVILDTGTIQLSAMALYQSMGFKKTGQSFFCVWARLVALHTVHFIYHLPSSKVGSQ Predict reactive species |
| Full Name | N-acetyltransferase 8 (GCN5-related, putative) |
| Calculated Molecular Weight | 26 kDa |
| Observed Molecular Weight | 25 kDa |
| GenBank Accession Number | BC012626 |
| Gene Symbol | NAT8 |
| Gene ID (NCBI) | 9027 |
| Conjugate | Unconjugated |
| Form | Liquid |
| Purification Method | Antigen affinity purification |
| UNIPROT ID | Q9UHE5 |
| Storage Buffer | PBS with 0.02% sodium azide and 50% glycerol, pH 7.3. |
| Storage Conditions | Store at -20°C. Stable for one year after shipment. Aliquoting is unnecessary for -20oC storage. 20ul sizes contain 0.1% BSA. |
Background Information
NAT8 (N-acetyltransferase 8), also known as ATase2 or camello-like protein 1, is a microsomal enzyme predominantly expressed in the kidney and liver. It catalyzes the final step in mercapturic acid formation by acetylating cysteine S-conjugates, facilitating the detoxification and excretion of electrophilic xenobiotics. Additionally, NAT8 exhibits protein lysine N-acetyltransferase activity, regulating apoptosis and amyloid-beta secretion through BACE1 acetylation. Genetic variants of NAT8 have been implicated in chronic kidney disease progression and blood pressure regulation. (PMID: 20392701; 18402670)
Protocols
| Product Specific Protocols | |
|---|---|
| IHC protocol for NAT8 antibody 10908-1-AP | Download protocol |
| WB protocol for NAT8 antibody 10908-1-AP | Download protocol |
| Standard Protocols | |
|---|---|
| Click here to view our Standard Protocols |





