Tested Applications
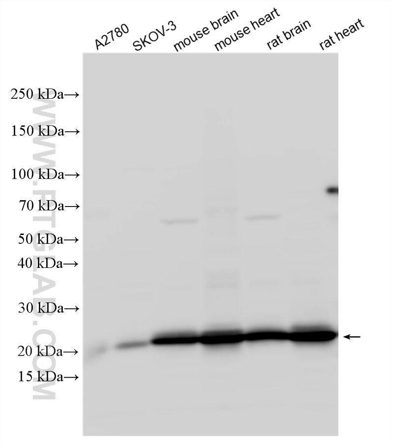
| Positive WB detected in | A2780 cells, SKOV-3 cells, mouse brain tissue, mouse heart tissue, rat brain tissue, rat heart tissue |
| Positive IHC detected in | human liver cancer tissue Note: suggested antigen retrieval with TE buffer pH 9.0; (*) Alternatively, antigen retrieval may be performed with citrate buffer pH 6.0 |
| Positive IF/ICC detected in | A431 cells |
Recommended dilution
| Application | Dilution |
|---|---|
| Western Blot (WB) | WB : 1:500-1:2000 |
| Immunohistochemistry (IHC) | IHC : 1:100-1:400 |
| Immunofluorescence (IF)/ICC | IF/ICC : 1:175-1:700 |
| It is recommended that this reagent should be titrated in each testing system to obtain optimal results. | |
| Sample-dependent, Check data in validation data gallery. | |
Published Applications
| WB | See 1 publications below |
Product Information
25172-1-AP targets NDUFS8 in WB, IHC, IF/ICC, ELISA applications and shows reactivity with human, mouse samples.
| Tested Reactivity | human, mouse |
| Cited Reactivity | mouse |
| Host / Isotype | Rabbit / IgG |
| Class | Polyclonal |
| Type | Antibody |
| Immunogen |
CatNo: Ag18531 Product name: Recombinant human NDUFS8 protein Source: e coli.-derived, PGEX-4T Tag: GST Domain: 1-210 aa of BC119754 Sequence: MRCLTTPMLLRALAQAARAGPPGGRSLHSSAVAATYKYVNMQDPEMDMKSVTDRAARTLLWTELFRGLGMTLSYLFREPATINYPFEKGPLSPRFRGEHALRRYPSGEERCIACKLCEAICPAQAITIEAEPRADGSRRTTRYDIDMTKCIYCGFCQEACPVDAIVEGPNFEFSTETHEELLYNKEKLLNNGDKWEAEIAANIQADYLYR Predict reactive species |
| Full Name | NADH dehydrogenase (ubiquinone) Fe-S protein 8, 23kDa (NADH-coenzyme Q reductase) |
| Calculated Molecular Weight | 210 aa, 24 kDa |
| Observed Molecular Weight | 24 kDa |
| GenBank Accession Number | BC119754 |
| Gene Symbol | NDUFS8 |
| Gene ID (NCBI) | 4728 |
| RRID | AB_2879939 |
| Conjugate | Unconjugated |
| Form | Liquid |
| Purification Method | Antigen affinity purification |
| UNIPROT ID | O00217 |
| Storage Buffer | PBS with 0.02% sodium azide and 50% glycerol, pH 7.3. |
| Storage Conditions | Store at -20°C. Stable for one year after shipment. Aliquoting is unnecessary for -20oC storage. 20ul sizes contain 0.1% BSA. |
Background Information
NADH: ubiquinone oxidoreductase core subunit S8 (NDUFS8), also called TYKY, is an essential core subunit and component of the iron-sulfur (FeS) fragment of mitochondrial complex I directly involved in the electron transfer process and energy metabolism (PMID: 36557887). Pathogenic variants of the NDUFS8 are relevant to infantile-onset and severe diseases, including Leigh syndrome, cancer, and diabetes mellitus (PMID: 36557887). Knockdown of NDUFS8 impaired mitochondrial function, increased ROS, disrupted redox homeostasis, induced apoptosis, and suppressed proliferation and migration of HCC cells (PMID: 40914145).
Protocols
| Product Specific Protocols | |
|---|---|
| IF protocol for NDUFS8 antibody 25172-1-AP | Download protocol |
| IHC protocol for NDUFS8 antibody 25172-1-AP | Download protocol |
| WB protocol for NDUFS8 antibody 25172-1-AP | Download protocol |
| Standard Protocols | |
|---|---|
| Click here to view our Standard Protocols |







