Tested Applications
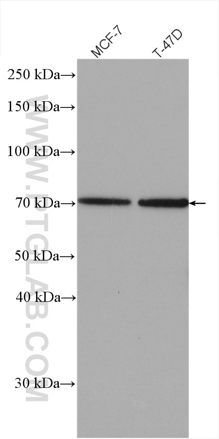
| Positive WB detected in | MCF-7 cells, T-47D cells |
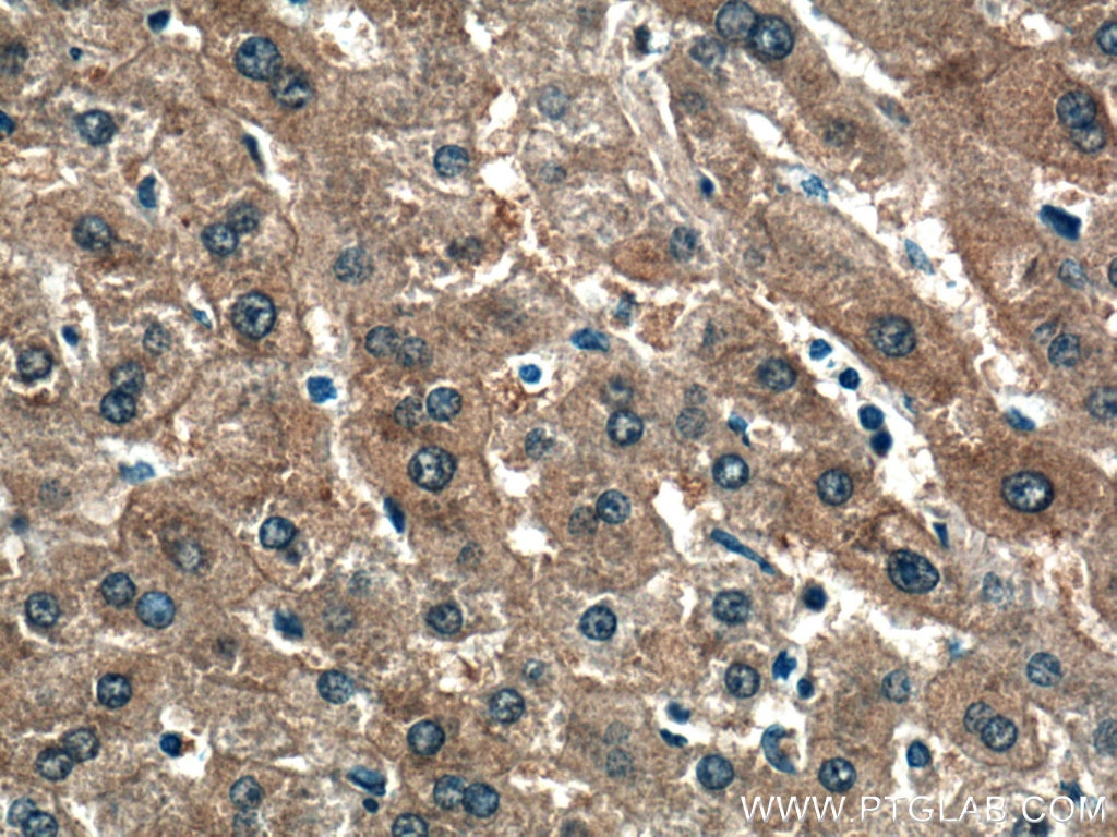
| Positive IHC detected in | human liver cancer tissue Note: suggested antigen retrieval with TE buffer pH 9.0; (*) Alternatively, antigen retrieval may be performed with citrate buffer pH 6.0 |
Recommended dilution
| Application | Dilution |
|---|---|
| Western Blot (WB) | WB : 1:500-1:1000 |
| Immunohistochemistry (IHC) | IHC : 1:50-1:500 |
| It is recommended that this reagent should be titrated in each testing system to obtain optimal results. | |
| Sample-dependent, Check data in validation data gallery. | |
Product Information
28020-1-AP targets NKPD1 in WB, IHC, ELISA applications and shows reactivity with Human samples.
| Tested Reactivity | Human |
| Host / Isotype | Rabbit / IgG |
| Class | Polyclonal |
| Type | Antibody |
| Immunogen |
CatNo: Ag27667 Product name: Recombinant human NKPD1 protein Source: e coli.-derived, PET28a Tag: 6*His Domain: 183-390 aa of XM_011526805 Sequence: MVSQRKKIERLVSREKFGSQLGFMCEVKKEVELLTDFLCFLEIYQRRRLRVVLEVTGLDTCYPERVVGVLNAINTLLSDSHAPFIFILVVDPSILAACLESAGNMKGTADNGYLFLNRTVTLPFSVPIMGRRTKLQFLHDAVQSRDDLLYREMTRKPWLPGDAGGESAQLLAVQAQAGTERGQGRIDDEAARRIQEALFCLHDERDCLY Predict reactive species |
| Full Name | NTPase, KAP family P-loop domain containing 1 |
| Calculated Molecular Weight | 68 aa |
| Observed Molecular Weight | 70 kDa |
| GenBank Accession Number | XM_011526805 |
| Gene Symbol | NKPD1 |
| Gene ID (NCBI) | 284353 |
| RRID | AB_2918141 |
| Conjugate | Unconjugated |
| Form | Liquid |
| Purification Method | Antigen affinity purification |
| UNIPROT ID | Q17RQ9 |
| Storage Buffer | PBS with 0.02% sodium azide and 50% glycerol, pH 7.3. |
| Storage Conditions | Store at -20°C. Stable for one year after shipment. Aliquoting is unnecessary for -20oC storage. 20ul sizes contain 0.1% BSA. |
Protocols
| Product Specific Protocols | |
|---|---|
| IHC protocol for NKPD1 antibody 28020-1-AP | Download protocol |
| WB protocol for NKPD1 antibody 28020-1-AP | Download protocol |
| Standard Protocols | |
|---|---|
| Click here to view our Standard Protocols |





