Tested Applications
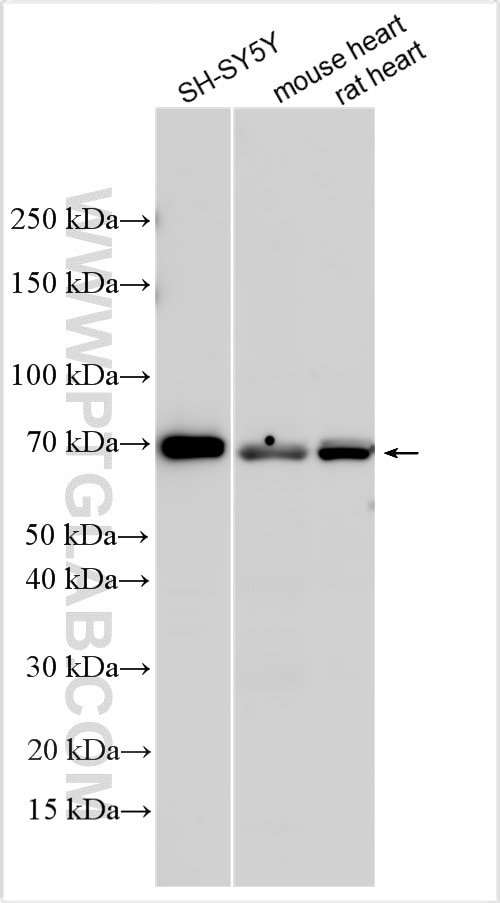
| Positive WB detected in | SH-SY5Y cells, mouse heart tissue, rat heart tissue |
Recommended dilution
| Application | Dilution |
|---|---|
| Western Blot (WB) | WB : 1:1000-1:6000 |
| It is recommended that this reagent should be titrated in each testing system to obtain optimal results. | |
| Sample-dependent, Check data in validation data gallery. | |
Product Information
17306-1-AP targets NLN in WB, ELISA applications and shows reactivity with human, mouse, rat samples.
| Tested Reactivity | human, mouse, rat |
| Host / Isotype | Rabbit / IgG |
| Class | Polyclonal |
| Type | Antibody |
| Immunogen |
CatNo: Ag11193 Product name: Recombinant human NLN protein Source: e coli.-derived, PGEX-4T Tag: GST Domain: 280-607 aa of BC004985 Sequence: LQQLLPLRTKVAKLLGYSTHADFVLEMNTAKSTSRVTAFLDDLSQKLKPLGEAEREFILNLKKKECKDRGFEYDGKINAWDLYYYMTQTEELKYSIDQEFLKEYFPIEVVTEGLLNTYQELLGLSFEQMTDAHVWNKSVTLYTVKDKATGEVLGQFYLDLYPREGKYNHAACFGLQPGCLLPDGSRMMAVAALVVNFSQPVAGRPSLLRHDEVRTYFHEFGHVMHQICAQVSFFFPPVNLPISFFRKLLDCCQVSAPNRFFQKLNVFKNFIGLLQNQNFPYPVLFHNIFLLGGSSTSERCLLNNSLWKKNKTICKERLQILCFFLLIL Predict reactive species |
| Full Name | neurolysin (metallopeptidase M3 family) |
| Calculated Molecular Weight | 607 aa, 70 kDa |
| Observed Molecular Weight | 70-80 kDa |
| GenBank Accession Number | BC004985 |
| Gene Symbol | NLN |
| Gene ID (NCBI) | 57486 |
| Conjugate | Unconjugated |
| Form | Liquid |
| Purification Method | Antigen affinity purification |
| UNIPROT ID | Q9BYT8 |
| Storage Buffer | PBS with 0.02% sodium azide and 50% glycerol, pH 7.3. |
| Storage Conditions | Store at -20°C. Stable for one year after shipment. Aliquoting is unnecessary for -20oC storage. 20ul sizes contain 0.1% BSA. |
Background Information
NLN(Neurolysin, mitochondrial) is also named as AGTBP, KIAA1226 and belongs to the peptidase M3 family. It is an enzyme involved in the metabolic inactivation of bioactive peptides and functions as a monomer of molecular mass 78 kDa. It also can be dected the molecular weight between 70 kDa and 85 kDa according to the reports(PMID:10095765, 11092934). The full length protein has a transit peptide with 37 amino acids.
Protocols
| Product Specific Protocols | |
|---|---|
| WB protocol for NLN antibody 17306-1-AP | Download protocol |
| Standard Protocols | |
|---|---|
| Click here to view our Standard Protocols |



