Tested Applications
| Positive WB detected in | rat kidney tissue |
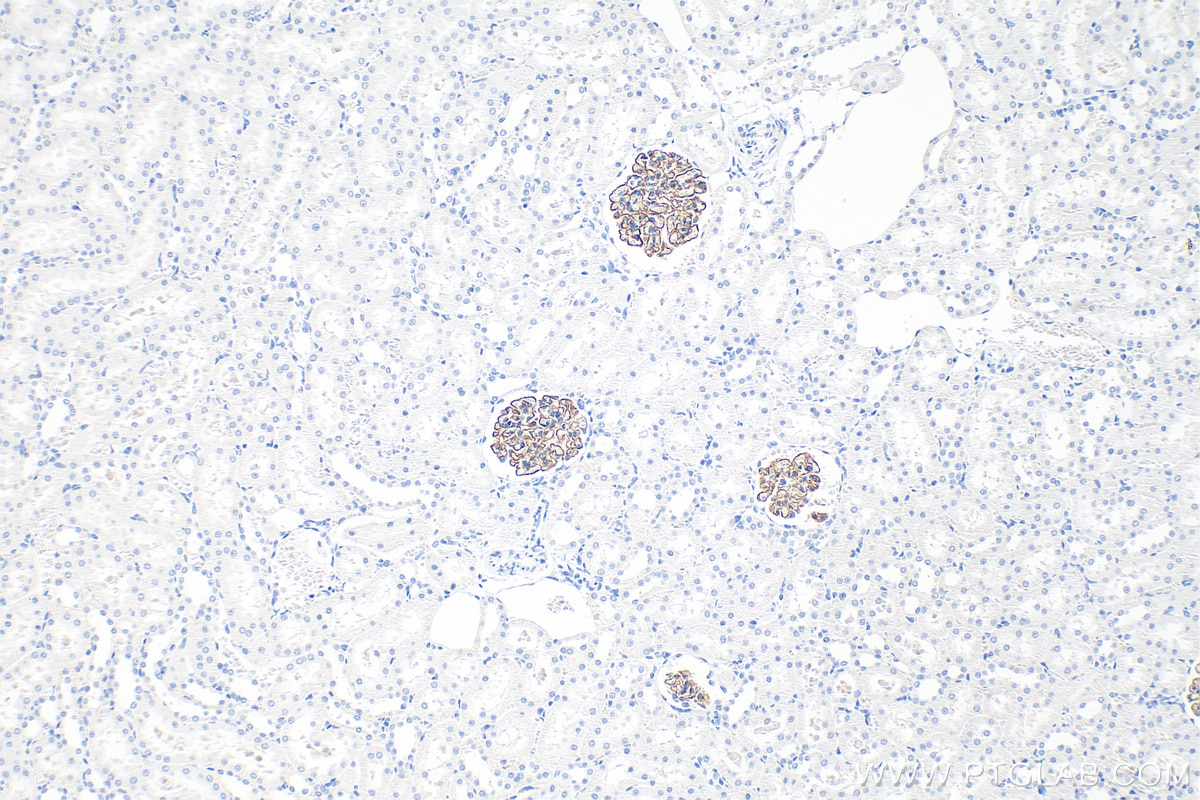
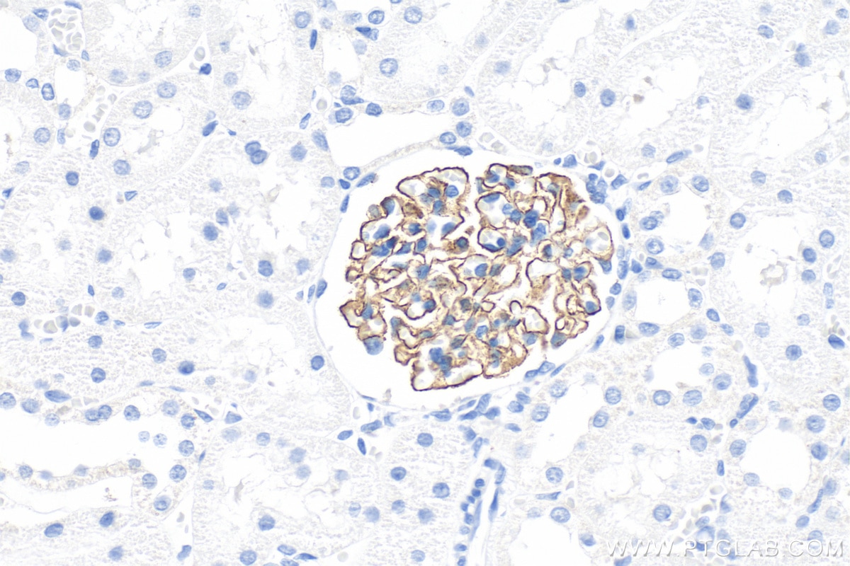
| Positive IHC detected in | rat kidney tissue, mouse kidney tissue Note: suggested antigen retrieval with TE buffer pH 9.0; (*) Alternatively, antigen retrieval may be performed with citrate buffer pH 6.0 |
| Positive IF-P detected in | rat kidney tissue, mouse kidney tissue |
| Positive IF-Fro detected in | mouse kidney tissue |
Recommended dilution
| Application | Dilution |
|---|---|
| Western Blot (WB) | WB : 1:500-1:1000 |
| Immunohistochemistry (IHC) | IHC : 1:1000-1:4000 |
| Immunofluorescence (IF)-P | IF-P : 1:500-1:2000 |
| Immunofluorescence (IF)-FRO | IF-FRO : 1:50-1:500 |
| It is recommended that this reagent should be titrated in each testing system to obtain optimal results. | |
| Sample-dependent, Check data in validation data gallery. | |
Published Applications
| WB | See 48 publications below |
| IHC | See 10 publications below |
| IF | See 40 publications below |
| ELISA | See 1 publications below |
Product Information
20384-1-AP targets NPHS2 in WB, IHC, IF-P, IF-Fro, ELISA applications and shows reactivity with human, mouse, rat samples.
| Tested Reactivity | human, mouse, rat |
| Cited Reactivity | human, mouse, rat, rabbit, zebrafish |
| Host / Isotype | Rabbit / IgG |
| Class | Polyclonal |
| Type | Antibody |
| Immunogen |
CatNo: Ag14213 Product name: Recombinant human NPHS2 protein Source: e coli.-derived, PGEX-4T Tag: GST Domain: 124-315 aa of BC029141 Sequence: CVKVVQEYERVIIFRLGHLLPGRAKGPGLFFFLPCLDTYHKVDLRLQTLEIPFHEVALDSVTCIWGIKVERIEIKDVRLPAGLQHSLAVEAEAQRQAKVRMIAAEAEKAASESLRMAAEILSGTPAAVQLRYLHTLQSLSTEKPSTVVLPLPFDLLNCLSSPSNRTQGSLPFPSPSKPVEPLNPKKKDSPML Predict reactive species |
| Full Name | nephrosis 2, idiopathic, steroid-resistant (podocin) |
| Calculated Molecular Weight | 383 aa, 42 kDa |
| Observed Molecular Weight | 42 kDa |
| GenBank Accession Number | BC029141 |
| Gene Symbol | NPHS2 |
| Gene ID (NCBI) | 7827 |
| RRID | AB_10697662 |
| Conjugate | Unconjugated |
| Form | Liquid |
| Purification Method | Antigen affinity purification |
| UNIPROT ID | Q9NP85 |
| Storage Buffer | PBS with 0.02% sodium azide and 50% glycerol, pH 7.3. |
| Storage Conditions | Store at -20°C. Stable for one year after shipment. Aliquoting is unnecessary for -20oC storage. 20ul sizes contain 0.1% BSA. |
Background Information
NPHS2 (also known as Podocin) is a membrane protein located on the podocyte foot process and is the critical component of the glomerular filtration barrier. Mutations of NPHS2 cause recessive steroidresistant nephrotic syndrome. Two isoforms of NPHS2 exist with molecular weights of 42 kDa and 35 kDa, respectively. (PMID: 21499232)
Protocols
| Product Specific Protocols | |
|---|---|
| IF protocol for NPHS2 antibody 20384-1-AP | Download protocol |
| IHC protocol for NPHS2 antibody 20384-1-AP | Download protocol |
| WB protocol for NPHS2 antibody 20384-1-AP | Download protocol |
| Standard Protocols | |
|---|---|
| Click here to view our Standard Protocols |
Publications
| Species | Application | Title |
|---|---|---|
Kidney Int A small molecule chaperone rescues keratin-8 mediated trafficking of misfolded podocin to correct genetic Nephrotic Syndrome | ||
Phytomedicine Deciphering the pharmacological mechanisms of Rostellularia procumbens (L) Nees. Extract alleviates adriamycin-induced nephropathy in vivo and in vitro | ||
Phytomedicine Wen-Shen-Jian-Pi-Hua-Tan decoction protects against early obesity-related glomerulopathy by improving renal bile acid composition and suppressing lipogenesis, inflammation, and fibrosis | ||
Front Immunol Canagliflozin reverses Th1/Th2 imbalance and promotes podocyte autophagy in rats with membranous nephropathy | ||
Cell Mol Life Sci IPSC-induced podocytes from a BORS patient with EYA1 gene mutation showed glucocorticoid-resistant and cytoskeletal rearrangement | ||
Reviews
The reviews below have been submitted by verified Proteintech customers who received an incentive for providing their feedback.
FH Javier (Verified Customer) (09-09-2025) | Wb, IF and IHQ.
|



















