Tested Applications
| Positive WB detected in | mouse brain tissue, human milk, SGC-7901 cells, rat brain tissue |
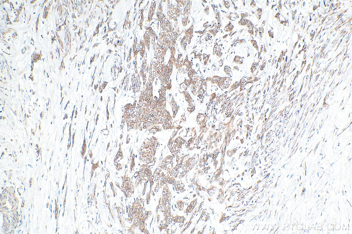
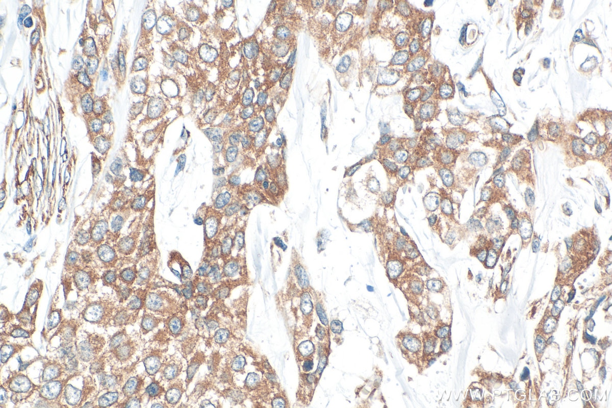
| Positive IHC detected in | human intrahepatic cholangiocarcinoma tissue, human urothelial carcinoma tissue Note: suggested antigen retrieval with TE buffer pH 9.0; (*) Alternatively, antigen retrieval may be performed with citrate buffer pH 6.0 |
| Positive IF/ICC detected in | U2OS cells |
Recommended dilution
| Application | Dilution |
|---|---|
| Western Blot (WB) | WB : 1:1000-1:4000 |
| Immunohistochemistry (IHC) | IHC : 1:200-1:800 |
| Immunofluorescence (IF)/ICC | IF/ICC : 1:200-1:800 |
| It is recommended that this reagent should be titrated in each testing system to obtain optimal results. | |
| Sample-dependent, Check data in validation data gallery. | |
Product Information
30604-1-AP targets NUCB2 in WB, IHC, IF/ICC, ELISA applications and shows reactivity with human, mouse, rat samples.
| Tested Reactivity | human, mouse, rat |
| Host / Isotype | Rabbit / IgG |
| Class | Polyclonal |
| Type | Antibody |
| Immunogen |
CatNo: Ag30704 Product name: Recombinant human NUCB2 protein Source: e coli.-derived, PGEX-4T Tag: GST Domain: 320-420 aa of NM_005013 Sequence: KATEKKEFLEPDSWETLDQQQFFTEEELKEYENIIALQENELKKKADELQKQKEELQRQHDQLEAQKLEYHQVIQQMEQKKLQQGIPPSGPAGELKFEPHI Predict reactive species |
| Full Name | nucleobindin 2 |
| Calculated Molecular Weight | 50 kDa |
| Observed Molecular Weight | 46-50 kDa |
| GenBank Accession Number | NM_005013 |
| Gene Symbol | NUCB2 |
| Gene ID (NCBI) | 4925 |
| RRID | AB_3086372 |
| Conjugate | Unconjugated |
| Form | Liquid |
| Purification Method | Antigen affinity purification |
| UNIPROT ID | P80303 |
| Storage Buffer | PBS with 0.02% sodium azide and 50% glycerol, pH 7.3. |
| Storage Conditions | Store at -20°C. Stable for one year after shipment. Aliquoting is unnecessary for -20oC storage. 20ul sizes contain 0.1% BSA. |
Background Information
NucB2, an anorexigenic molecule, is expressed mainly in the hypothalamus, particularly in the supraoptic nucleus (SON) and the paraventricular nucleus (PVN). NucB2 is also expressed in the subfornical organ (SFO). Because the SON and PVN are involved in body fluid regulation, NucB2 may be involved in dehydration-induced anorexia. NUCB2 is composed of a signal peptide of 24 amino acids in the N-terminal region and a protin structure containing 396 amino acids. Nesfatin-1 is an 82-amino-acid peptide hormone cleaved from nucleobindin2 (NUCB2).
Protocols
| Product Specific Protocols | |
|---|---|
| IF protocol for NUCB2 antibody 30604-1-AP | Download protocol |
| IHC protocol for NUCB2 antibody 30604-1-AP | Download protocol |
| WB protocol for NUCB2 antibody 30604-1-AP | Download protocol |
| Standard Protocols | |
|---|---|
| Click here to view our Standard Protocols |















