Tested Applications
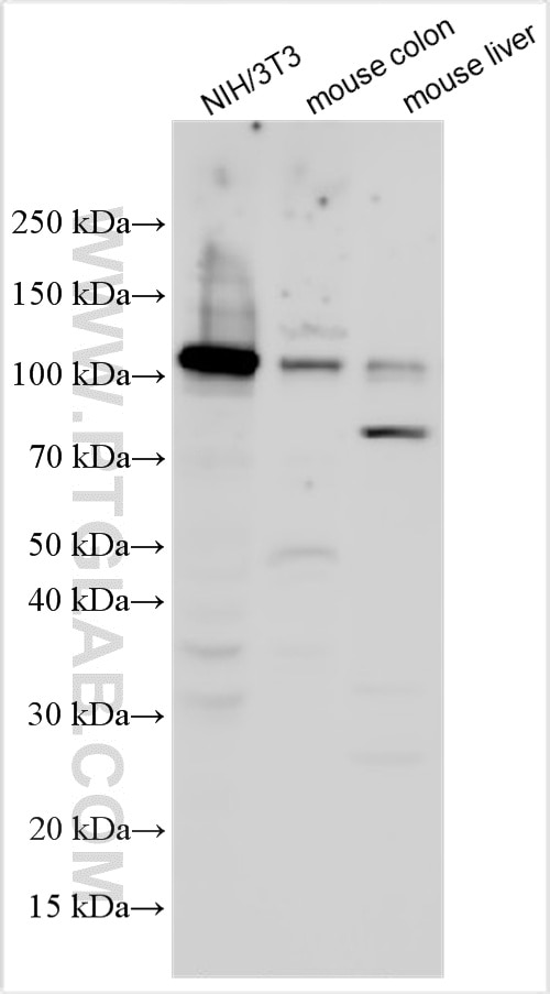
| Positive WB detected in | NIH/3T3 cells, NR8383 cells, rat liver tissue, mouse colon tissue, mouse liver tissue |
| Positive IF/ICC detected in | NIH/3T3 cells |
Recommended dilution
| Application | Dilution |
|---|---|
| Western Blot (WB) | WB : 1:500-1:2000 |
| Immunofluorescence (IF)/ICC | IF/ICC : 1:200-1:800 |
| It is recommended that this reagent should be titrated in each testing system to obtain optimal results. | |
| Sample-dependent, Check data in validation data gallery. | |
Published Applications
| WB | See 3 publications below |
Product Information
33123-1-AP targets Nrf2 in WB, IF/ICC, ELISA applications and shows reactivity with mouse, rat samples.
| Tested Reactivity | mouse, rat |
| Cited Reactivity | mouse |
| Host / Isotype | Rabbit / IgG |
| Class | Polyclonal |
| Type | Antibody |
| Immunogen |
CatNo: Ag39859 Product name: Recombinant mouse Nfe2l2 protein Source: e coli.-derived, PGEX-4T Tag: GST Domain: 400-597 aa of NM_010902.4 Sequence: SPAQGHSAPMRESQCENTTKKEVPVSPGHQKAPFTKDKHSSRLEAHLTRDELRAKALHIPFPVEKIINLPVDDFNEMMSKEQFNEAQLALIRDIRRRGKNKVAAQNCRKRKLENIVELEQDLGHLKDEREKLLREKGENDRNLHLLKRRLSTLYLEVFSMLRDEDGKPYSPSEYSLQQTRDGNVFLVPKSKKPDTKKN Predict reactive species |
| Full Name | nuclear factor, erythroid derived 2, like 2 |
| Calculated Molecular Weight | 67 kDa |
| Observed Molecular Weight | 110 kDa, 75 kDa |
| GenBank Accession Number | NM_010902.4 |
| Gene Symbol | Nfe2l2 |
| Gene ID (NCBI) | 18024 |
| Conjugate | Unconjugated |
| Form | Liquid |
| Purification Method | Antigen affinity Purification |
| UNIPROT ID | Q60795 |
| Storage Buffer | PBS with 0.02% sodium azide and 50% glycerol, pH 7.3. |
| Storage Conditions | Store at -20°C. Stable for one year after shipment. Aliquoting is unnecessary for -20oC storage. 20ul sizes contain 0.1% BSA. |
Background Information
NRF2, also named as NFE2L2, belongs to the bZIP family and CNC subfamily. It is a transcription activator that binds to antioxidant response (ARE) elements in the promoter regions of target genes. NRF2 is important for the coordinated up-regulation of genes in response to oxidative stress. It may be involved in the transcriptional activation of genes of the beta-globin cluster by mediating enhancer activity of hypersensitive site 2 of the beta-globin locus control region. Nrf2 is a key player in the regulation of genes encoding for many antioxidative response enzymes.The expression of NRF2 may be induced under oxidative stress (PMID:14567983).In lung cancer, Nrf2 activation in malignant cells has been associated with tumor progression and chemotherapy resistance(PMID:20534738). Identifying patients with abnormal NRF2 expression may be important for selection for chemotherapy in NSCLC. As new investigators break into the emerging field of Nrf2 research, confusion regarding the correct migratory pattern of Nrf2 is causing doubts about the accuracy and reproducibility of published results. This letter provides solid evidence that the actually observed molecular weight of Nrf2 is about 70kDa and 95-110 kDa. (PMID: 22703241).
Protocols
| Product Specific Protocols | |
|---|---|
| IF protocol for Nrf2 antibody 33123-1-AP | Download protocol |
| WB protocol for Nrf2 antibody 33123-1-AP | Download protocol |
| Standard Protocols | |
|---|---|
| Click here to view our Standard Protocols |
Publications
| Species | Application | Title |
|---|---|---|
Food Funct Ferulic acid identification in brown rice using untargeted metabolomics and network analysis and its effects in mitigating AFB1-induced hepatic damage | ||
Gut Microbes Lachnospiraceae bacterium alleviates alcohol-associated liver disease by enhancing N-acetyl-glutamic acid levels and inhibiting ferroptosis through the KEAP1-NRF2 pathway | ||
Neurochem Res Diminazene Alleviates Neuroinflammation in Ischemic Stroke by Inhibiting Astrocytic Endoplasmic Reticulum Stress and Oxidative Stress |









