Tested Applications
| Positive WB detected in | PC-3 cells, A2780 cells, human liver tissue, mouse liver tissue, NIH/3T3 cells |
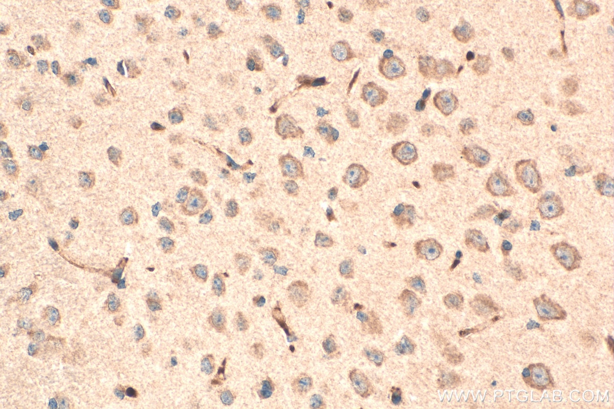
| Positive IHC detected in | mouse brain tissue, human liver cancer tissue Note: suggested antigen retrieval with TE buffer pH 9.0; (*) Alternatively, antigen retrieval may be performed with citrate buffer pH 6.0 |
| Positive IF/ICC detected in | HepG2 cells |
Recommended dilution
| Application | Dilution |
|---|---|
| Western Blot (WB) | WB : 1:500-1:2000 |
| Immunohistochemistry (IHC) | IHC : 1:50-1:500 |
| Immunofluorescence (IF)/ICC | IF/ICC : 1:50-1:500 |
| It is recommended that this reagent should be titrated in each testing system to obtain optimal results. | |
| Sample-dependent, Check data in validation data gallery. | |
Published Applications
| WB | See 1 publications below |
| IF | See 1 publications below |
Product Information
12596-1-AP targets OLFM3 in WB, IHC, IF/ICC, ELISA applications and shows reactivity with human, mouse samples.
| Tested Reactivity | human, mouse |
| Cited Reactivity | human |
| Host / Isotype | Rabbit / IgG |
| Class | Polyclonal |
| Type | Antibody |
| Immunogen |
CatNo: Ag3207 Product name: Recombinant human OLFM3 protein Source: e coli.-derived, PGEX-4T Tag: GST Domain: 159-458 aa of BC022531 Sequence: NLSAVLTGIQEEIGAYDYEELHQRVLSLETRLRDCMKKLTCGKLMKITGPVTVKTSGTRFGAWMTDPLASEKNNRVWYMDSYTNNKIVREYKSIADFVSGAESRTYNLPFKWAGTNHVVYNGSLYFNKYQSNIIIKYSFDMGRVLAQRSLEYAGFHNVYPYTWGGFSDIDLMADEIGLWAVYATNQNAGNIVISQLNQDTLEVMKSWSTGYPKRSAGESFMICGTLYVTNSHLTGAKVYYSYSTKTSTYEYTDIPFHNQYFHISMLDYNARDRALCAWNNGHQVLFNVTLFHIIKTEDDT Predict reactive species |
| Full Name | olfactomedin 3 |
| Calculated Molecular Weight | 458 aa, 53 kDa |
| Observed Molecular Weight | 50-55 kDa |
| GenBank Accession Number | BC022531 |
| Gene Symbol | OLFM3 |
| Gene ID (NCBI) | 118427 |
| RRID | AB_2157228 |
| Conjugate | Unconjugated |
| Form | Liquid |
| Purification Method | Antigen affinity purification |
| UNIPROT ID | Q96PB7 |
| Storage Buffer | PBS with 0.02% sodium azide and 50% glycerol, pH 7.3. |
| Storage Conditions | Store at -20°C. Stable for one year after shipment. Aliquoting is unnecessary for -20oC storage. 20ul sizes contain 0.1% BSA. |
Background Information
OLFM3, also known as Noelin-3, belongs to a larger family of proteins containing the olfactomedin domain. OLFM3, which is most closely related to OLFM2, is expressed in the retinal ganglion and inner nuclear layers of the adult rat retina (PMID: 12019210).
Protocols
| Product Specific Protocols | |
|---|---|
| IF protocol for OLFM3 antibody 12596-1-AP | Download protocol |
| IHC protocol for OLFM3 antibody 12596-1-AP | Download protocol |
| WB protocol for OLFM3 antibody 12596-1-AP | Download protocol |
| Standard Protocols | |
|---|---|
| Click here to view our Standard Protocols |

















