Tested Applications
| Positive WB detected in | A549 cells, HeLa cells |
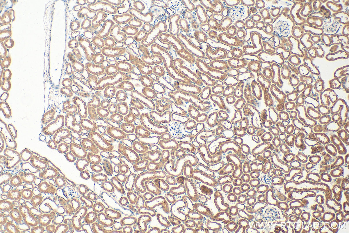
| Positive IHC detected in | mouse kidney tissue, human stomach cancer tissue Note: suggested antigen retrieval with TE buffer pH 9.0; (*) Alternatively, antigen retrieval may be performed with citrate buffer pH 6.0 |
| Positive IF/ICC detected in | HepG2 cells |
Recommended dilution
| Application | Dilution |
|---|---|
| Western Blot (WB) | WB : 1:500-1:2000 |
| Immunohistochemistry (IHC) | IHC : 1:50-1:500 |
| Immunofluorescence (IF)/ICC | IF/ICC : 1:200-1:800 |
| It is recommended that this reagent should be titrated in each testing system to obtain optimal results. | |
| Sample-dependent, Check data in validation data gallery. | |
Product Information
19775-1-AP targets PARP4 in WB, IHC, IF/ICC, ELISA applications and shows reactivity with human samples.
| Tested Reactivity | human |
| Host / Isotype | Rabbit / IgG |
| Class | Polyclonal |
| Type | Antibody |
| Immunogen |
Peptide Predict reactive species |
| Full Name | poly (ADP-ribose) polymerase family, member 4 |
| Calculated Molecular Weight | 193 kDa |
| Observed Molecular Weight | 193 kDa |
| GenBank Accession Number | NM_006437 |
| Gene Symbol | PARP4 |
| Gene ID (NCBI) | 143 |
| RRID | AB_3085585 |
| Conjugate | Unconjugated |
| Form | Liquid |
| Purification Method | Antigen affinity purification |
| UNIPROT ID | Q9UKK3 |
| Storage Buffer | PBS with 0.02% sodium azide and 50% glycerol, pH 7.3. |
| Storage Conditions | Store at -20°C. Stable for one year after shipment. Aliquoting is unnecessary for -20oC storage. 20ul sizes contain 0.1% BSA. |
Background Information
PARP4, also named as ADPRTL1, KIAA0177, PARPL, VPARP and PH5P, catalyzes the reaction: NAD+ + (ADP-D-ribosyl)(n)-acceptor = nicotinamide + (ADP-D-ribosyl)(n+1)-acceptor.
Protocols
| Product Specific Protocols | |
|---|---|
| IF protocol for PARP4 antibody 19775-1-AP | Download protocol |
| IHC protocol for PARP4 antibody 19775-1-AP | Download protocol |
| WB protocol for PARP4 antibody 19775-1-AP | Download protocol |
| Standard Protocols | |
|---|---|
| Click here to view our Standard Protocols |











