Tested Applications
| Positive WB detected in | HeLa cells, MCF-7 cells, K-562 cells |
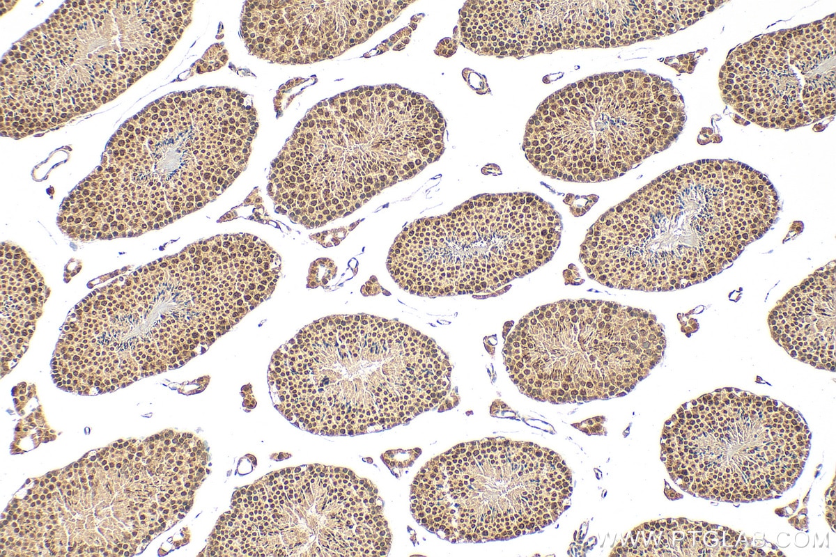
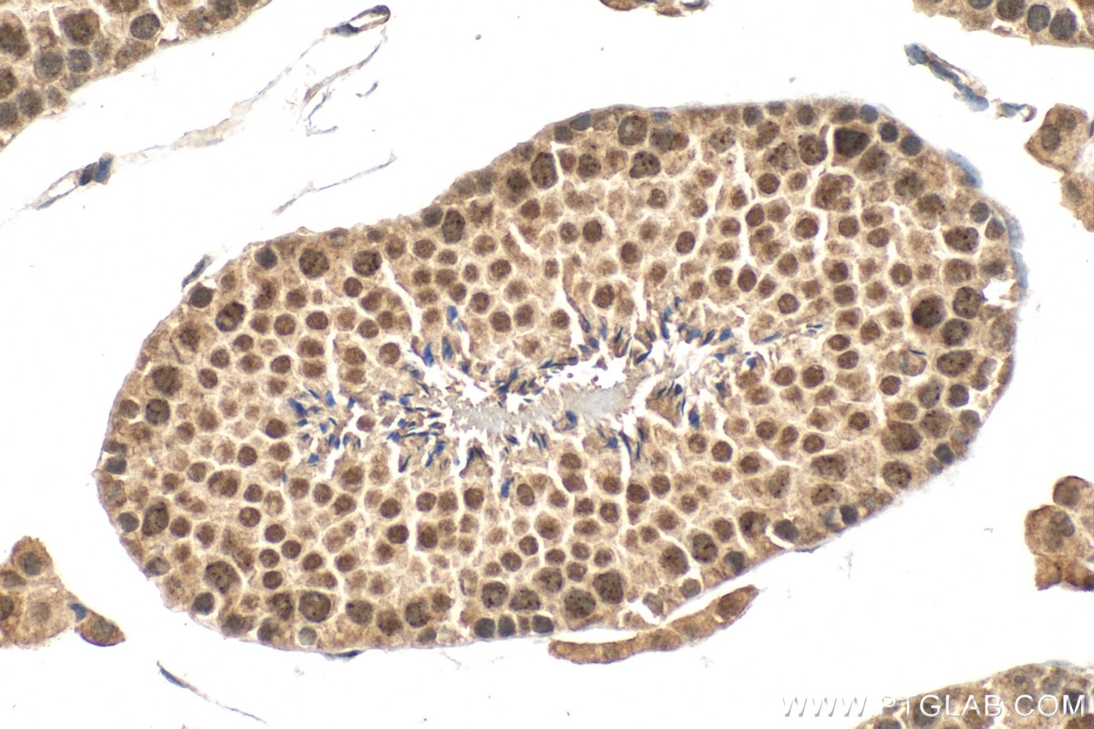
| Positive IHC detected in | mouse testis tissue Note: suggested antigen retrieval with TE buffer pH 9.0; (*) Alternatively, antigen retrieval may be performed with citrate buffer pH 6.0 |
| Positive IF/ICC detected in | MCF-7 cells |
Recommended dilution
| Application | Dilution |
|---|---|
| Western Blot (WB) | WB : 1:500-1:3000 |
| Immunohistochemistry (IHC) | IHC : 1:50-1:500 |
| Immunofluorescence (IF)/ICC | IF/ICC : 1:50-1:500 |
| It is recommended that this reagent should be titrated in each testing system to obtain optimal results. | |
| Sample-dependent, Check data in validation data gallery. | |
Published Applications
| WB | See 4 publications below |
| IF | See 3 publications below |
Product Information
16074-1-AP targets PIAS2 in WB, IHC, IF/ICC, ELISA applications and shows reactivity with human, mouse samples.
| Tested Reactivity | human, mouse |
| Cited Reactivity | human |
| Host / Isotype | Rabbit / IgG |
| Class | Polyclonal |
| Type | Antibody |
| Immunogen |
CatNo: Ag9032 Product name: Recombinant human PIAS2 protein Source: e coli.-derived, PGEX-4T Tag: GST Domain: 1-346 aa of BC015190 Sequence: MADFEELRNMVSSFRVSELQVLLGFAGRNKSGRKHDLLMRALHLLKSGCSPAVQIKIRELYRRRYPRTLEGLSDLSTIKSSVFSLDGGSSPVEPDLAVAGIHSLPSTSVTPHSPSSPVGSVLLQDTKPTFEMQQPSPPIPPVHPDVQLKNLPFYDVLDVLIKPTSLVQSSIQRFQEKFFIFALTPQQVREICISRDFLPGGRRDYTVQVQLRLCLAETSCPQEDNYPNSLCIKVNGKLFPLPGYAPPPKNGIEQKRPGRPLNITSLVRLSSAVPNQISISWASEIGKNYSMSVYLVRQLTSAMLLQRLKMKGIRNPDHSRALIKEKLTADPDSEIATTSLRVSLMC Predict reactive species |
| Full Name | protein inhibitor of activated STAT, 2 |
| Calculated Molecular Weight | 63 kDa, 69 kDa |
| Observed Molecular Weight | 68 kDa |
| GenBank Accession Number | BC015190 |
| Gene Symbol | PIAS2 |
| Gene ID (NCBI) | 9063 |
| RRID | AB_2164208 |
| Conjugate | Unconjugated |
| Form | Liquid |
| Purification Method | Antigen affinity purification |
| UNIPROT ID | O75928 |
| Storage Buffer | PBS with 0.02% sodium azide and 50% glycerol, pH 7.3. |
| Storage Conditions | Store at -20°C. Stable for one year after shipment. Aliquoting is unnecessary for -20oC storage. 20ul sizes contain 0.1% BSA. |
Background Information
PIAS2 functions as an E3-type small ubiquitin-like modifier (SUMO) ligase, stabilizing the interaction between UBE2I and the substrate, and as a SUMO-tethering factor. PIAS2 also plays a crucial role as a transcriptional coregulator in various cellular pathways, including the STAT pathway, the p53 pathway and the steroid hormone signaling pathway. PIAS2 has 3 isoforms produced by alternative splicing with the MW of 68 kDa, 63 kDa and 45 kDa.
Protocols
| Product Specific Protocols | |
|---|---|
| IF protocol for PIAS2 antibody 16074-1-AP | Download protocol |
| IHC protocol for PIAS2 antibody 16074-1-AP | Download protocol |
| WB protocol for PIAS2 antibody 16074-1-AP | Download protocol |
| Standard Protocols | |
|---|---|
| Click here to view our Standard Protocols |
Publications
| Species | Application | Title |
|---|---|---|
Biochim Biophys Acta Mol Cell Res IL-17 promotes melanoma through TRAF2 as a scaffold protein recruiting PIAS2 and ELAVL1 to induce EPHA5 | ||
J Mol Med (Berl) Hyper-SUMOylation of SMN induced by SENP2 deficiency decreases its stability and leads to spinal muscular atrophy-like pathology. | ||
Sci Rep Chromosome 8q24 amplification associated with human hepatocellular carcinoma predicts MYC/ZEB1/MIZ1 transcriptional regulation | ||
Nat Commun Human ANP32A/B are SUMOylated and utilized by avian influenza virus NS2 protein to overcome species-specific restriction |











