Tested Applications
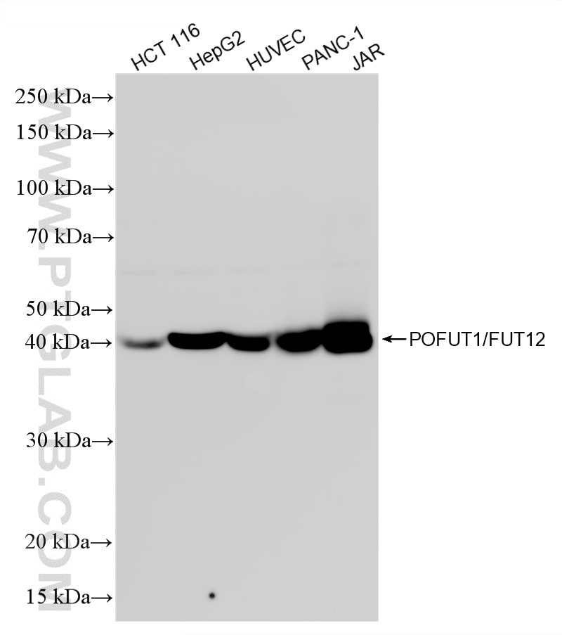
| Positive WB detected in | HCT 116 cells, HepG2 cells, HUVEC cells, PANC-1 cells, JAR cells |
Recommended dilution
| Application | Dilution |
|---|---|
| Western Blot (WB) | WB : 1:2000-1:10000 |
| It is recommended that this reagent should be titrated in each testing system to obtain optimal results. | |
| Sample-dependent, Check data in validation data gallery. | |
Product Information
87434-1-RR targets POFUT1 in WB, ELISA applications and shows reactivity with human samples.
| Tested Reactivity | human |
| Host / Isotype | Rabbit / IgG |
| Class | Recombinant |
| Type | Antibody |
| Immunogen |
CatNo: Eg6687 Product name: Recombinant human POFUT1/FUT12 protein Source: mammalian cells-derived, V37 Tag: C-rFc Domain: 27-388 aa of NM_015352.2 Sequence: GSWDPAGYLLYCPCMGRFGNQADHFLGSLAFAKLLNRTLAVPPWIEYQHHKPPFTNLHVSYQKYFKLEPLQAYHRVISLEDFMEKLAPTHWPPEKRVAYCFEVAAQRSPDKKTCPMKEGNPFGPFWDQFHVSFNKSELFTGISFSASYREQWSQRFSPKEHPVLALPGAPAQFPVLEEHRPLQKYMVWSDEMVKTGEAQIHAHLVRPYVGIHLRIGSDWKNACAMLKDGTAGSHFMASPQCVGYSRSTAAPLTMTMCLPDLKEIQRAVKLWVRSLDAQSVYVATDSESYVPELQQLFKGKVKVVSLKPEVAQVDLYILGQADHFIGNCVSSFTAFVKRERDLQGRPSSFFGMDRPPKLRDEF Predict reactive species |
| Full Name | protein O-fucosyltransferase 1 |
| Calculated Molecular Weight | 44 kDa |
| Observed Molecular Weight | 40-45 kDa |
| GenBank Accession Number | NM_015352.2 |
| Gene Symbol | POFUT1 |
| Gene ID (NCBI) | 23509 |
| Conjugate | Unconjugated |
| Form | Liquid |
| Purification Method | Protein A purification |
| UNIPROT ID | Q9H488-1 |
| Storage Buffer | PBS with 0.02% sodium azide and 50% glycerol, pH 7.3. |
| Storage Conditions | Store at -20°C. Stable for one year after shipment. Aliquoting is unnecessary for -20oC storage. 20ul sizes contain 0.1% BSA. |
Background Information
POFUT1 (protein O-fucosyltransferase 1), also known as GDP-fucose protein O-fucosyltransferase, is an enzyme that catalyzes the reaction that attaches fucose through an O-glycosidic linkage to a conserved serine or threonine residue in EGF domains and plays a crucial role in Notch signaling.
Protocols
| Product Specific Protocols | |
|---|---|
| WB protocol for POFUT1 antibody 87434-1-RR | Download protocol |
| Standard Protocols | |
|---|---|
| Click here to view our Standard Protocols |



