Tested Applications
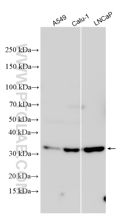
| Positive WB detected in | A549 cells, HeLa cells, Calu-1 cells, LNCaP cells |
| Positive IHC detected in | human kidney tissue, human lung tissue, human ovary tissue, human placenta tissue, human spleen tissue, human testis tissue Note: suggested antigen retrieval with TE buffer pH 9.0; (*) Alternatively, antigen retrieval may be performed with citrate buffer pH 6.0 |
Recommended dilution
| Application | Dilution |
|---|---|
| Western Blot (WB) | WB : 1:500-1:3000 |
| Immunohistochemistry (IHC) | IHC : 1:20-1:200 |
| It is recommended that this reagent should be titrated in each testing system to obtain optimal results. | |
| Sample-dependent, Check data in validation data gallery. | |
Published Applications
| IF | See 1 publications below |
Product Information
18001-1-AP targets PPCS in WB, IHC, IF, ELISA applications and shows reactivity with human, mouse, rat samples.
| Tested Reactivity | human, mouse, rat |
| Cited Reactivity | human |
| Host / Isotype | Rabbit / IgG |
| Class | Polyclonal |
| Type | Antibody |
| Immunogen |
CatNo: Ag12491 Product name: Recombinant human PPCS protein Source: e coli.-derived, PET28a Tag: 6*His Domain: 1-311 aa of BC106064 Sequence: MAEMDPVAEFPQPPGAARWAEVMARFAARLGAQGRRVVLVTSGGTKVPLEARPVRFLDNFSSGRRGATSAEAFLAAGYGVLFLYRARSAFPYAHRFPPQTWLSALRPSGPALSGLLSLEAEENALPGFAEALRSYQEAAAAGTFLAVEFTTLADYLHLLQAAAQALNPLGPSAMFYLAAAVSDFYVPVSEMPEHKIQSSGGPLQITMKMVPKLLSPLVKDWAPKAFIISFKLETDPAIVINRARKALEIYQHQVVVANILESRQSFVFIVTKDSETKLLLSEEEIEKGVEIEEKIVDNLQSRHTAFIGDRN Predict reactive species |
| Full Name | phosphopantothenoylcysteine synthetase |
| Calculated Molecular Weight | 311 aa, 34 kDa |
| Observed Molecular Weight | 34 kDa |
| GenBank Accession Number | BC106064 |
| Gene Symbol | PPCS |
| Gene ID (NCBI) | 79717 |
| RRID | AB_10548725 |
| Conjugate | Unconjugated |
| Form | Liquid |
| Purification Method | Antigen affinity purification |
| UNIPROT ID | Q9HAB8 |
| Storage Buffer | PBS with 0.02% sodium azide and 50% glycerol, pH 7.3. |
| Storage Conditions | Store at -20°C. Stable for one year after shipment. Aliquoting is unnecessary for -20oC storage. 20ul sizes contain 0.1% BSA. |
Background Information
PPCS(Phosphopantothenate--cysteine ligase) is also named as COAB and belongs to the PPC synthetase family. It catalyzes the first step in the biosynthesis of coenzyme A from vitamin B5, where cysteine is conjugated to 4'-phosphopantothenate to form 4-phosphopantothenoylcysteine. It can be exsit as a homodimer(PMID:12906824).
Protocols
| Product Specific Protocols | |
|---|---|
| IHC protocol for PPCS antibody 18001-1-AP | Download protocol |
| WB protocol for PPCS antibody 18001-1-AP | Download protocol |
| Standard Protocols | |
|---|---|
| Click here to view our Standard Protocols |
Reviews
The reviews below have been submitted by verified Proteintech customers who received an incentive for providing their feedback.
FH Jovana (Verified Customer) (09-17-2020) | The antibody worked well to detect endogenous PPCS protein on WB in HEK293 cells. Dilution used was 1:1000 and incubation was 2h at RT.
|



























