Tested Applications
| Positive WB detected in | Y79 cells, K-562 cells, mouse testis tissue |
| Positive IP detected in | Y79 cells |
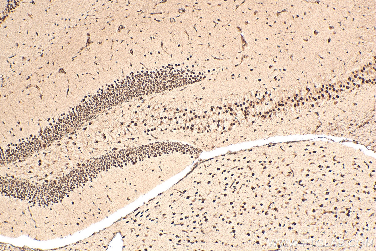
| Positive IHC detected in | mouse brain tissue Note: suggested antigen retrieval with TE buffer pH 9.0; (*) Alternatively, antigen retrieval may be performed with citrate buffer pH 6.0 |
Recommended dilution
| Application | Dilution |
|---|---|
| Western Blot (WB) | WB : 1:2000-1:12000 |
| Immunoprecipitation (IP) | IP : 0.5-4.0 ug for 1.0-3.0 mg of total protein lysate |
| Immunohistochemistry (IHC) | IHC : 1:50-1:500 |
| It is recommended that this reagent should be titrated in each testing system to obtain optimal results. | |
| Sample-dependent, Check data in validation data gallery. | |
Published Applications
| IF | See 1 publications below |
Product Information
16929-1-AP targets PRPF40B in WB, IHC, IF, IP, ELISA applications and shows reactivity with human, mouse samples.
| Tested Reactivity | human, mouse |
| Cited Reactivity | human |
| Host / Isotype | Rabbit / IgG |
| Class | Polyclonal |
| Type | Antibody |
| Immunogen |
CatNo: Ag10361 Product name: Recombinant human PRPF40B protein Source: e coli.-derived, PET28a Tag: 6*His Domain: 522-871 aa of BC067364 Sequence: AVSTDVRFANMLGQPGSTPLDLFKFYVEELKARFHDEKKIIKDILKDRGFCVEVNTAFEDFAHVISFDKRAAALDAGNIKLTFNSLLEKAEAREREREKEEARRMRRREAAFRSMLRQAVPALELGTAWEEVRERFVCDSAFEQITLESERIRLFREFLQVLEQTECQHLHTKGRKHGRKGKKHHHKRSHSPSGSESEEEELPPPSLRPPKRRRRNPSESGSEPSSSLDSVESGGAALGGRGSPSSHLLGADHGLRKAKKPKKKTKKRRHKSNSPESETDPEEKAGKESDEKEQEQDKDRELQQAELPNRSPGFGIKKEKTGWDTSESELSEGELERRRRTLLQQLDDHQ Predict reactive species |
| Full Name | PRP40 pre-mRNA processing factor 40 homolog B (S. cerevisiae) |
| Calculated Molecular Weight | 871 aa, 99 kDa |
| Observed Molecular Weight | 130-150 kDa |
| GenBank Accession Number | BC067364 |
| Gene Symbol | PRPF40B |
| Gene ID (NCBI) | 25766 |
| RRID | AB_2171041 |
| Conjugate | Unconjugated |
| Form | Liquid |
| Purification Method | Antigen affinity purification |
| UNIPROT ID | Q6NWY9 |
| Storage Buffer | PBS with 0.02% sodium azide and 50% glycerol, pH 7.3. |
| Storage Conditions | Store at -20°C. Stable for one year after shipment. Aliquoting is unnecessary for -20oC storage. 20ul sizes contain 0.1% BSA. |
Protocols
| Product Specific Protocols | |
|---|---|
| IHC protocol for PRPF40B antibody 16929-1-AP | Download protocol |
| IP protocol for PRPF40B antibody 16929-1-AP | Download protocol |
| WB protocol for PRPF40B antibody 16929-1-AP | Download protocol |
| Standard Protocols | |
|---|---|
| Click here to view our Standard Protocols |











