Tested Applications
| Positive WB detected in | human placenta tissue |
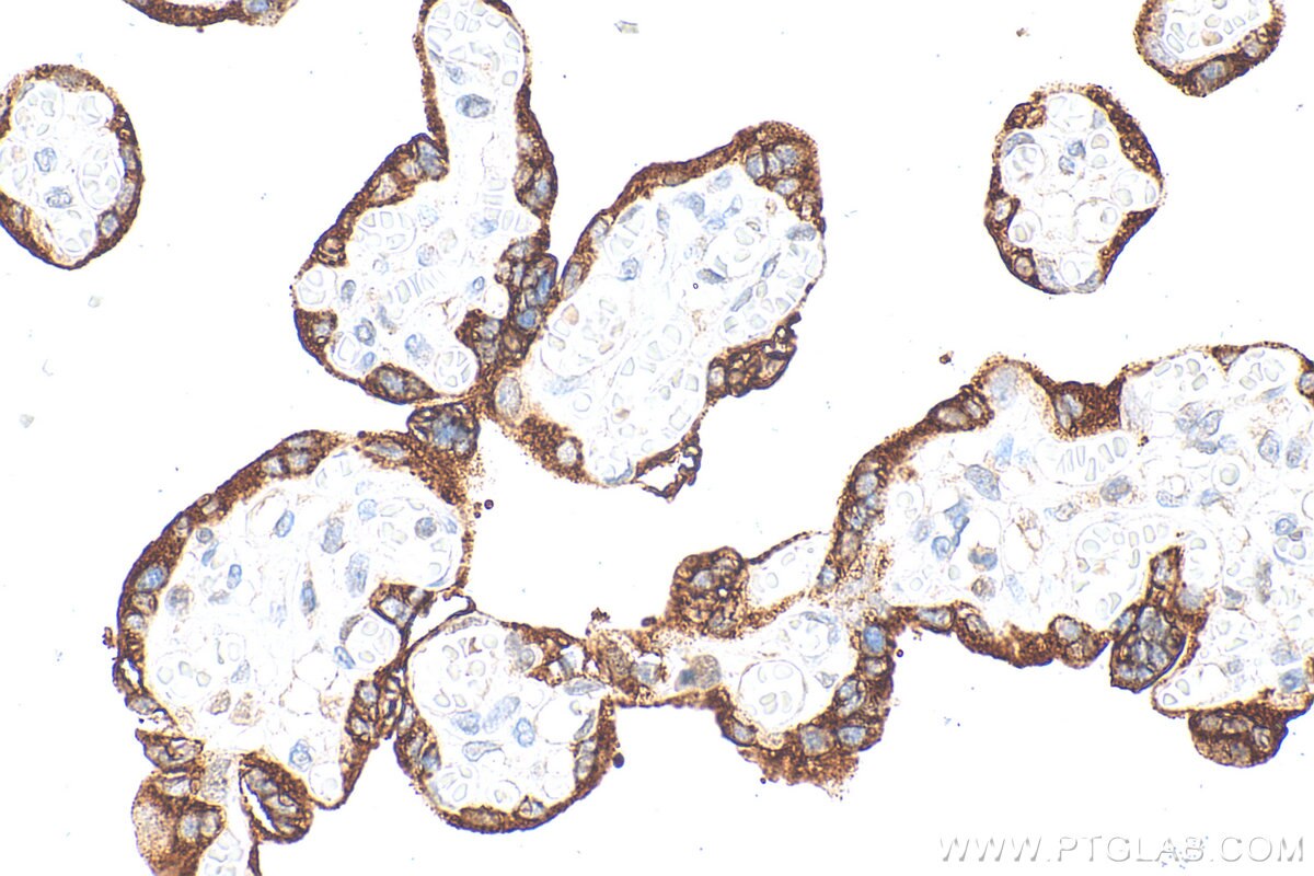
| Positive IHC detected in | human placenta tissue Note: suggested antigen retrieval with TE buffer pH 9.0; (*) Alternatively, antigen retrieval may be performed with citrate buffer pH 6.0 |
Recommended dilution
| Application | Dilution |
|---|---|
| Western Blot (WB) | WB : 1:2000-1:16000 |
| Immunohistochemistry (IHC) | IHC : 1:500-1:2000 |
| It is recommended that this reagent should be titrated in each testing system to obtain optimal results. | |
| Sample-dependent, Check data in validation data gallery. | |
Product Information
15375-1-AP targets PSG3 in WB, IHC, ELISA applications and shows reactivity with human samples.
| Tested Reactivity | human |
| Host / Isotype | Rabbit / IgG |
| Class | Polyclonal |
| Type | Antibody |
| Immunogen |
CatNo: Ag1148 Product name: Recombinant human PSG3 protein Source: e coli.-derived, PGEX-4T Tag: GST Domain: 129-428 aa of BC005924 Sequence: DGTRGETGHFTFTLYLETPKPSISSSNLYPREDMEAVSLTCDPETPDASYLWWMNGQSLPMTHSLQLSKNKRTLFLFGVTKYTAGPYECEIRNPVSASRSDPVTLNLLPKLPKPYITINNLNPRENKDVLAFTCEPKSENYTYIWWLNGQSLPVSPRVKRPIENRILILPSVTRNETGPYQCEIQDRYGGIRSYPVTLNVLYGPDLPRIYPSFTYYHSGENLYLSCFADSNPPAEYSWTINGKFQLSGQKLFIPQITTKHSGLYACSVRNSATGMESSKSMTVEVSAPSGTGHLPGLNPL Predict reactive species |
| Full Name | pregnancy specific beta-1-glycoprotein 3 |
| Calculated Molecular Weight | 48 kDa |
| Observed Molecular Weight | 48 kDa, 64 kDa |
| GenBank Accession Number | BC005924 |
| Gene Symbol | PSG3 |
| Gene ID (NCBI) | 5671 |
| Conjugate | Unconjugated |
| Form | Liquid |
| Purification Method | Antigen affinity purification |
| UNIPROT ID | Q16557 |
| Storage Buffer | PBS with 0.02% sodium azide and 50% glycerol, pH 7.3. |
| Storage Conditions | Store at -20°C. Stable for one year after shipment. Aliquoting is unnecessary for -20oC storage. 20ul sizes contain 0.1% BSA. |
Background Information
The human pregnancy-specific glycoproteins (PSGs) are a group of molecules that are mainly produced by the placental syncytiotrophoblasts during pregnancy (PMID: 1644821). The calculated molecular weight of PSG3 is 48 kDa. The 64 kDa band is its glycosylated protein form (PMID: 7851896).
Protocols
| Product Specific Protocols | |
|---|---|
| IHC protocol for PSG3 antibody 15375-1-AP | Download protocol |
| WB protocol for PSG3 antibody 15375-1-AP | Download protocol |
| Standard Protocols | |
|---|---|
| Click here to view our Standard Protocols |





