Tested Applications
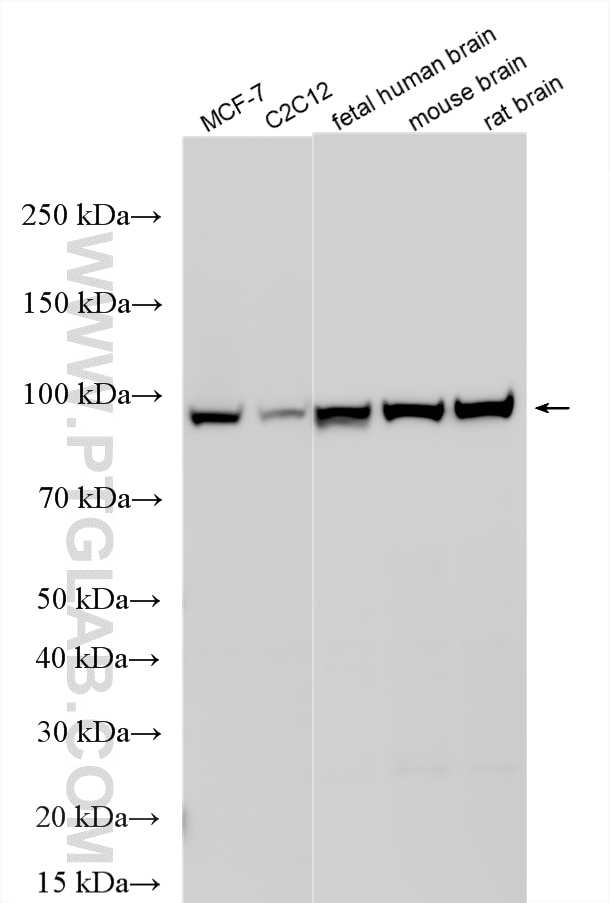
| Positive WB detected in | MCF-7 cells, human brain tissue, rat brain tissue, C2C12 cells, fetal human brain tissue, mouse brain tissue |
| Positive IP detected in | mouse brain tissue |
| Positive IHC detected in | human stomach cancer tissue, human ovary tumor tissue, mouse heart tissue, rat brain tissue Note: suggested antigen retrieval with TE buffer pH 9.0; (*) Alternatively, antigen retrieval may be performed with citrate buffer pH 6.0 |
Recommended dilution
| Application | Dilution |
|---|---|
| Western Blot (WB) | WB : 1:2000-1:10000 |
| Immunoprecipitation (IP) | IP : 0.5-4.0 ug for 1.0-3.0 mg of total protein lysate |
| Immunohistochemistry (IHC) | IHC : 1:400-1:1600 |
| It is recommended that this reagent should be titrated in each testing system to obtain optimal results. | |
| Sample-dependent, Check data in validation data gallery. | |
Published Applications
| KD/KO | See 3 publications below |
| WB | See 17 publications below |
| IHC | See 6 publications below |
| IP | See 2 publications below |
Product Information
12075-1-AP targets PYGB in WB, IHC, IP, ELISA applications and shows reactivity with human, mouse, rat samples.
| Tested Reactivity | human, mouse, rat |
| Cited Reactivity | human, mouse, rat |
| Host / Isotype | Rabbit / IgG |
| Class | Polyclonal |
| Type | Antibody |
| Immunogen |
CatNo: Ag2732 Product name: Recombinant human PYGB protein Source: e coli.-derived, PGEX-4T Tag: GST Domain: 544-843 aa of BC017045 Sequence: LKFSAFLEKEYKVKINPSSMFDVHVKRIHEYKRQLLNCLHVVTLYNRIKRDPAKAFVPRTVMIGGKAAPGYHMAKLIIKLVTSIGDVVNHDPVVGDRLKVIFLENYRVSLAEKVIPAADLSQQISTAGTEASGTGNMKFMLNGALTIGTMDGANVEMAEEAGAENLFIFGLRVEDVEALDRKGYNAREYYDHLPELKQAVDQISSGFFSPKEPDCFKDIVNMLMHHDRFKVFADYEAYMQCQAQVDQLYRNPKEWTKKVIRNIACSGKFSSDRTITEYAREIWGVEPSDLQIPPPNIPRD Predict reactive species |
| Full Name | phosphorylase, glycogen; brain |
| Calculated Molecular Weight | 843 aa, 97 kDa |
| Observed Molecular Weight | 97 kDa |
| GenBank Accession Number | BC017045 |
| Gene Symbol | PYGB |
| Gene ID (NCBI) | 5834 |
| RRID | AB_2174885 |
| Conjugate | Unconjugated |
| Form | Liquid |
| Purification Method | Antigen affinity purification |
| UNIPROT ID | P11216 |
| Storage Buffer | PBS with 0.02% sodium azide and 50% glycerol, pH 7.3. |
| Storage Conditions | Store at -20°C. Stable for one year after shipment. Aliquoting is unnecessary for -20oC storage. 20ul sizes contain 0.1% BSA. |
Background Information
The three main subtypes of GP found in human tissues-brain-type glycogen phosphorylase (PYGB), liver-type glycogen phosphorylase (PYGL), and muscle-type glycogen phosphorylase (PYGM)-differ in function, structure, and tissue distribution. PYGB (Brain‑type glycogen phosphorylase) is a glycogen phosphorylase and is primarily localized in adult brain tissues and embryo liver tissues, whose function is to provide energy to organisms (PMID: 30106110). PYGB has been observed to be overexpressed in many types of cancer and tumor cell lines and is expected to be a novel target for the diagnosis and treatment of various cancers (PMID: 38334681).
Protocols
| Product Specific Protocols | |
|---|---|
| IHC protocol for PYGB antibody 12075-1-AP | Download protocol |
| IP protocol for PYGB antibody 12075-1-AP | Download protocol |
| WB protocol for PYGB antibody 12075-1-AP | Download protocol |
| Standard Protocols | |
|---|---|
| Click here to view our Standard Protocols |
Publications
| Species | Application | Title |
|---|---|---|
Brain C9orf72 expansion within astrocytes reduces metabolic flexibility in amyotrophic lateral sclerosis. | ||
Int J Biol Sci PYGL-mediated glucose metabolism reprogramming promotes EMT phenotype and metastasis of pancreatic cancer | ||
Mol Cell Proteomics Multi-omics integration reveals the landscape of pro-metastasis metabolism in hepatocellular carcinoma. | ||
iScience Using brain cell-type-specific protein interactomes to interpret neurodevelopmental genetic signals in schizophrenia | ||
Front Cell Dev Biol Glycogen Phosphorylase B Is Regulated by miR101-3p and Promotes Hepatocellular Carcinoma Tumorigenesis. | ||
Reviews
The reviews below have been submitted by verified Proteintech customers who received an incentive for providing their feedback.
FH Patricia (Verified Customer) (02-25-2020) | works fine
|





















