Tested Applications
| Positive WB detected in | SK-N-SH cells, BxPC-3 cells, HEK-293 cells, human placenta tissue, MCF-7 cells, Neuro-2a cells, SGC-7901 cells, ROS1728 cells, BT-549 cells |
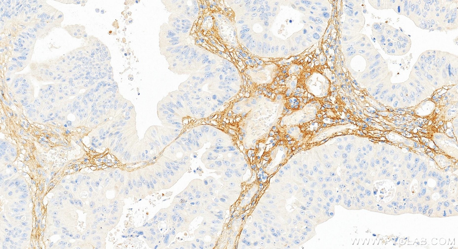
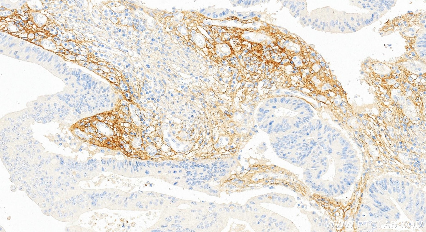
| Positive IHC detected in | human breast cancer tissue, human colon tissue, human colon cancer tissue, human stomach tissue Note: suggested antigen retrieval with TE buffer pH 9.0; (*) Alternatively, antigen retrieval may be performed with citrate buffer pH 6.0 |
| Positive IF-P detected in | human breast cancer tissue, mouse spleen tissue |
| Positive IF-Fro detected in | mouse breast cancer |
Recommended dilution
| Application | Dilution |
|---|---|
| Western Blot (WB) | WB : 1:5000-1:50000 |
| Immunohistochemistry (IHC) | IHC : 1:4000-1:16000 |
| Immunofluorescence (IF)-P | IF-P : 1:4000-1:16000 |
| Immunofluorescence (IF)-FRO | IF-FRO : 1:200-1:800 |
| It is recommended that this reagent should be titrated in each testing system to obtain optimal results. | |
| Sample-dependent, Check data in validation data gallery. | |
Published Applications
| KD/KO | See 5 publications below |
| WB | See 15 publications below |
| IHC | See 15 publications below |
| IF | See 17 publications below |
| ELISA | See 1 publications below |
Product Information
66491-1-Ig targets Periostin in WB, IHC, IF-P, IF-Fro, ELISA applications and shows reactivity with human, mouse, rat samples.
| Tested Reactivity | human, mouse, rat |
| Cited Reactivity | human, mouse, rat, goat |
| Host / Isotype | Mouse / IgG1 |
| Class | Monoclonal |
| Type | Antibody |
| Immunogen |
CatNo: Ag14487 Product name: Recombinant human POSTN protein Source: e coli.-derived, PET28a Tag: 6*His Domain: 21-368 aa of BC106710 Sequence: ANNHYDKILAHSRIRGRDQGPNVCALQQILGTKKKYFSTCKNWYKKSICGQKTTVLYECCPGYMRMEGMKGCPAVLPIDHVYGTLGIVGATTTQRYSDASKLREEIEGKGSFTYFAPSNEAWDNLDSDIRRGLESNVNVELLNALHSHMINKRMLTKDLKNGMIIPSMYNNLGLFINHYPNGVVTVNCARIIHGNQIATNGVVHVIDRVLTQIGTSIQDFIEAEDDLSSFRAAAITSDILEALGRDGHFTLFAPTNEAFEKLPRGVLERIMGDKVASEALMKYHILNTLQCSESIMGGAVFETLEGNTIEIGCDGDSITVNGIKMVNKKDIVTNNGVIHLIDQVLIPD Predict reactive species |
| Full Name | periostin, osteoblast specific factor |
| Calculated Molecular Weight | 93 kDa |
| Observed Molecular Weight | 85-90 kDa |
| GenBank Accession Number | BC106710 |
| Gene Symbol | Periostin |
| Gene ID (NCBI) | 10631 |
| RRID | AB_2881856 |
| Conjugate | Unconjugated |
| Form | Liquid |
| Purification Method | Protein G purification |
| UNIPROT ID | Q15063 |
| Storage Buffer | PBS with 0.02% sodium azide and 50% glycerol, pH 7.3. |
| Storage Conditions | Store at -20°C. Stable for one year after shipment. Aliquoting is unnecessary for -20oC storage. 20ul sizes contain 0.1% BSA. |
Background Information
Periostin (POSTN, PN), originally named as osteoblast-specific factor 2 (OSF-2), is a 90-kDa secreted protein which is now classified as a matricellular protein. It is present in a wide variety of normal adult tissues and fetal tissues, and has a role in bone, tooth and heart development and function. Studies show that periostin is overexpressed in a broad range of human cancer types, including lung, ovary, breast and colon cancers. Recent evidence reveals that periostin is expressed by fibroblasts in the normal tissue and in the stroma of the primary tumour, and it is required to allow cancer stem cell maintenance. The isoforms of periostin are between 83 and 93 kDa in mass and differ in their C-terminal sequences, characterized by individual presence or absence of cassette exons 17-21 (UniProtKB/Swiss-Prot, PMID: 21997759).
Protocols
| Product Specific Protocols | |
|---|---|
| IF protocol for Periostin antibody 66491-1-Ig | Download protocol |
| IHC protocol for Periostin antibody 66491-1-Ig | Download protocol |
| WB protocol for Periostin antibody 66491-1-Ig | Download protocol |
| Standard Protocols | |
|---|---|
| Click here to view our Standard Protocols |
Publications
| Species | Application | Title |
|---|---|---|
Cell Metab Myocardial infarction accelerates the progression of MASH by triggering immunoinflammatory response and induction of periosti | ||
Adv Sci (Weinh) Spatiotemporal Characterization of Human Early Intervertebral Disc Formation at Single-Cell Resolution | ||
Mol Ther Self-amplifying loop of NF-κB and periostin initiated by PIEZO1 accelerates mechano-induced senescence of nucleus pulposus cells and intervertebral disc degeneration. | ||
Cancer Cell Int Periostin promotes the proliferation and metastasis of osteosarcoma by increasing cell survival and activates the PI3K/Akt pathway.
| ||
Biochem Biophys Res Commun Changed PGA and POSTN levels in choroid plexus are associated with depressive-like behaviors in mice. | ||
Aging (Albany NY) An immune signature to predict the prognosis of ATRX-wildtype glioma patients and guide immune checkpoint blockade therapy |
Reviews
The reviews below have been submitted by verified Proteintech customers who received an incentive for providing their feedback.
FH Niklas (Verified Customer) (11-08-2022) | great staining with even a high dilution factor
|

































