Tested Applications
| Positive WB detected in | PDGF treated NIH/3T3 cells, HeLa cells, Jurkat cells, Calyculin A treated HeLa cells, Calyculin A treated Jurkat cells |
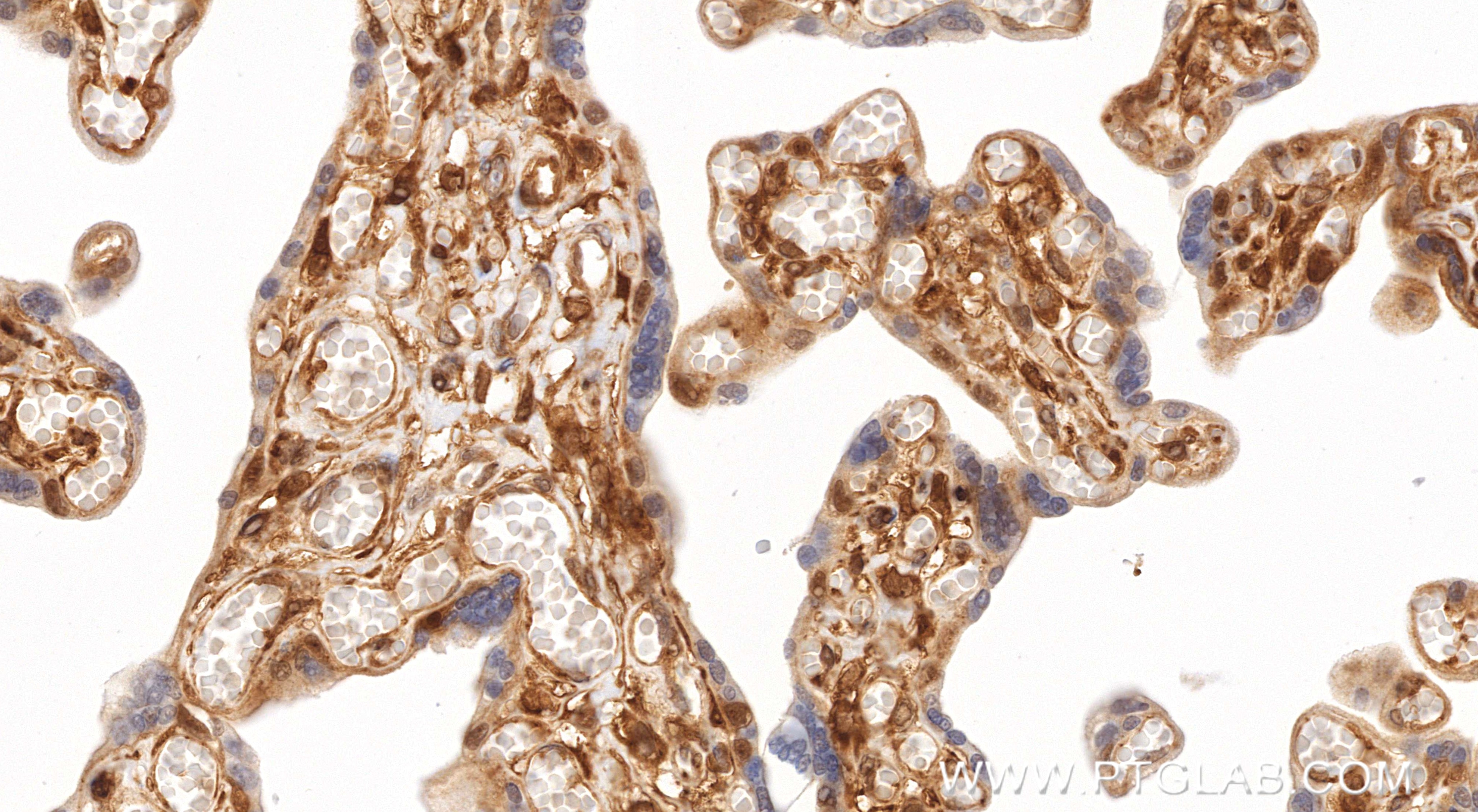
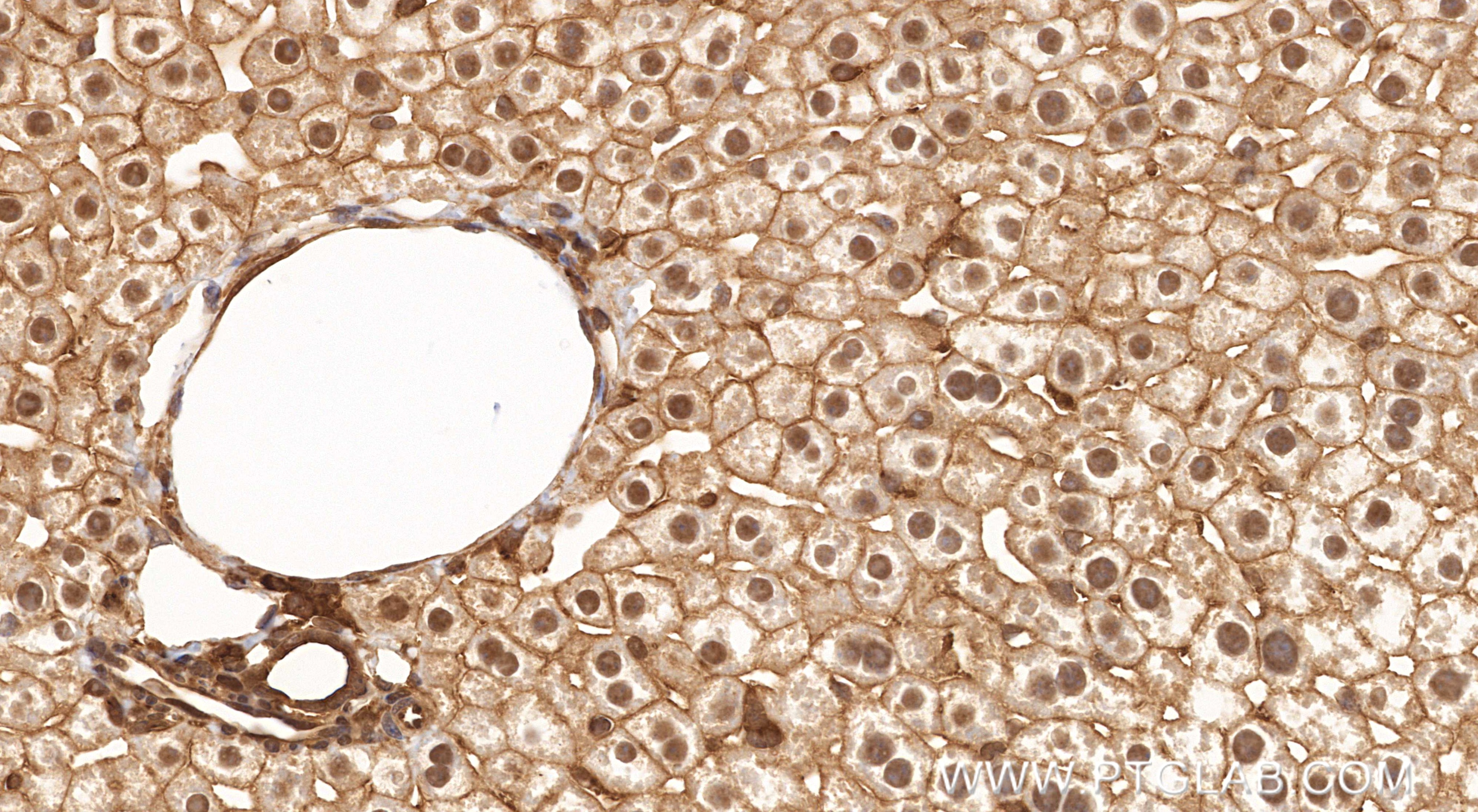
| Positive IHC detected in | human malignant melanoma tissue, human placenta tissue, Jurkat cells, mouse liver tissue Note: suggested antigen retrieval with TE buffer pH 9.0; (*) Alternatively, antigen retrieval may be performed with citrate buffer pH 6.0 |
| Positive IF/ICC detected in | HeLa cells |
| Positive FC (Intra) detected in | TPA treated Jurkat cells |
Recommended dilution
| Application | Dilution |
|---|---|
| Western Blot (WB) | WB : 1:1000-1:5000 |
| Immunohistochemistry (IHC) | IHC : 1:1000-1:4000 |
| Immunofluorescence (IF)/ICC | IF/ICC : 1:250-1:1000 |
| Flow Cytometry (FC) (INTRA) | FC (INTRA) : 0.40 ug per 10^6 cells in a 100 µl suspension |
| It is recommended that this reagent should be titrated in each testing system to obtain optimal results. | |
| Sample-dependent, Check data in validation data gallery. | |
Product Information
80108-1-RR targets Phospho-RPS6KA1 (Ser380) in WB, IHC, IF/ICC, FC (Intra), ELISA applications and shows reactivity with human, mouse samples.
| Tested Reactivity | human, mouse |
| Host / Isotype | Rabbit / IgG |
| Class | Recombinant |
| Type | Antibody |
| Immunogen |
Peptide Predict reactive species |
| Full Name | ribosomal protein S6 kinase, 90kDa, polypeptide 1 |
| Calculated Molecular Weight | 735 aa, 83 kDa |
| Observed Molecular Weight | 83-90 kDa |
| GenBank Accession Number | BC014966 |
| Gene Symbol | RPS6KA1 |
| Gene ID (NCBI) | 6195 |
| RRID | AB_2918865 |
| Conjugate | Unconjugated |
| Form | Liquid |
| Purification Method | Protein A purification |
| UNIPROT ID | Q15418 |
| Storage Buffer | PBS with 0.02% sodium azide and 50% glycerol, pH 7.3. |
| Storage Conditions | Store at -20°C. Stable for one year after shipment. Aliquoting is unnecessary for -20oC storage. 20ul sizes contain 0.1% BSA. |
Background Information
The 90 kDa ribosomal S6 kinases (RSK1-4) are a family of widely expressed serine/threonine kinases and play an important role in the MAPK signaling cascade and act downstream of ERK1/2 signaling. It can mediate mitogenic and stress-induced activation of the transcription factors CREB1, ETV1/ER81 and NR4A1/NUR77. RSK1 (RPS6KA1) is also designated as p90RSK associated with cellular proliferation, survival and differentiation. It has been reported that the phosphorylation of RPS6KA1 at Ser380 is involved in autophosphorylation by activation of the C-terminal kinase domain. (PMID: 16458888, 30813401, 17259979, 10679322)
Protocols
| Product Specific Protocols | |
|---|---|
| IF protocol for Phospho-RPS6KA1 (Ser380) antibody 80108-1-RR | Download protocol |
| IHC protocol for Phospho-RPS6KA1 (Ser380) antibody 80108-1-RR | Download protocol |
| WB protocol for Phospho-RPS6KA1 (Ser380) antibody 80108-1-RR | Download protocol |
| Standard Protocols | |
|---|---|
| Click here to view our Standard Protocols |























