Tested Applications
| Positive WB detected in | HEK-293 cells, human skeletal muscle tissue, mouse brain tissue, fetal human brain tissue, mouse cerebellum tissue, rat brain tissue |
| Positive IP detected in | mouse brain tissue |
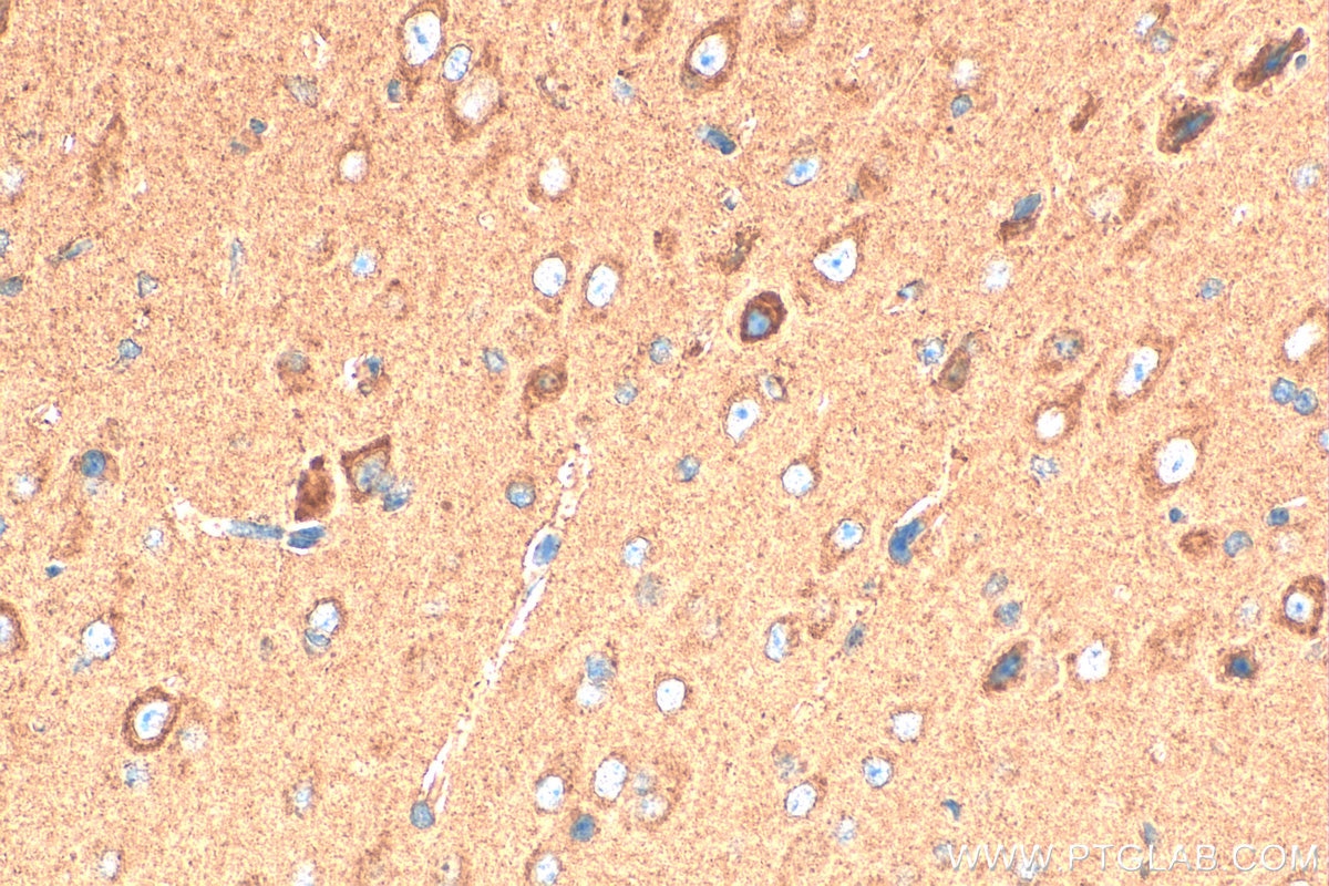
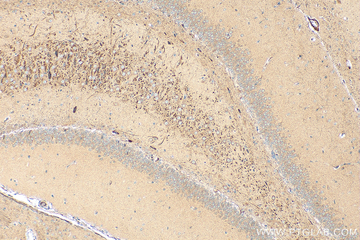
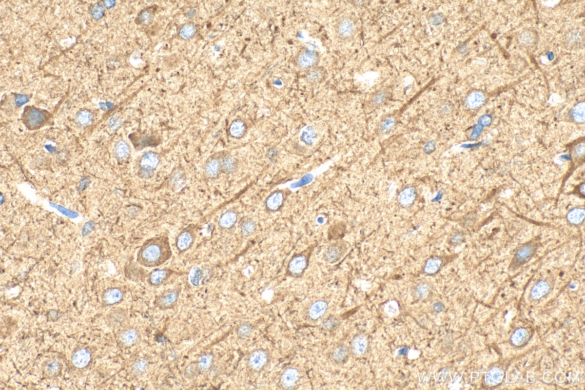
| Positive IHC detected in | human gliomas tissue, mouse brain tissue Note: suggested antigen retrieval with TE buffer pH 9.0; (*) Alternatively, antigen retrieval may be performed with citrate buffer pH 6.0 |
Recommended dilution
| Application | Dilution |
|---|---|
| Western Blot (WB) | WB : 1:5000-1:50000 |
| Immunoprecipitation (IP) | IP : 0.5-4.0 ug for 1.0-3.0 mg of total protein lysate |
| Immunohistochemistry (IHC) | IHC : 1:50-1:500 |
| It is recommended that this reagent should be titrated in each testing system to obtain optimal results. | |
| Sample-dependent, Check data in validation data gallery. | |
Published Applications
| WB | See 2 publications below |
| IHC | See 2 publications below |
Product Information
11445-1-AP targets RAB24 in WB, IHC, IP, ELISA applications and shows reactivity with human, mouse, rat samples.
| Tested Reactivity | human, mouse, rat |
| Cited Reactivity | human, mouse, canine |
| Host / Isotype | Rabbit / IgG |
| Class | Polyclonal |
| Type | Antibody |
| Immunogen |
CatNo: Ag1995 Product name: Recombinant human RAB24 protein Source: e coli.-derived, PGEX-4T Tag: GST Domain: 1-203 aa of BC021263 Sequence: MSGQRVDVKVVMLGKEYVGKTSLVERYVHDRFLVGPYQNTIGAAFVAKVMSVGDRTVTLGIWDTAGSERYEAMSRIYYRGAKAAIVCYDLTDSSSFERAKFWVKELRSLEEGCQIYLCGTKSDLLEEDRRRRRVDFHDVQDYADNIKAQLFETSSKTGQSVDELFQKVAEDYVSVAAFQVMTEDKGVDLGQKPNPYFYSCCHH Predict reactive species |
| Full Name | RAB24, member RAS oncogene family |
| Calculated Molecular Weight | 203 aa, 23 kDa |
| Observed Molecular Weight | 23 kDa |
| GenBank Accession Number | BC021263 |
| Gene Symbol | RAB24 |
| Gene ID (NCBI) | 53917 |
| RRID | AB_2269046 |
| Conjugate | Unconjugated |
| Form | Liquid |
| Purification Method | Antigen affinity purification |
| UNIPROT ID | Q969Q5 |
| Storage Buffer | PBS with 0.02% sodium azide and 50% glycerol, pH 7.3. |
| Storage Conditions | Store at -20°C. Stable for one year after shipment. Aliquoting is unnecessary for -20oC storage. 20ul sizes contain 0.1% BSA. |
Background Information
RAB24 is a small GTPase of the Rab subfamily of Ras-related proteins that regulate intracellular protein trafficking. Unlike other Rab family members, RAB24 does not interact with GDP dissociation inhibitors (GDIs), including ARHGDIA and ARHGDIB. It Interacts with ZFYVE20. Rab24 modulates several mitotic events, including chromosome segregation and cytokinesis, perhaps through the interaction with microtubules.
Protocols
| Product Specific Protocols | |
|---|---|
| IHC protocol for RAB24 antibody 11445-1-AP | Download protocol |
| IP protocol for RAB24 antibody 11445-1-AP | Download protocol |
| WB protocol for RAB24 antibody 11445-1-AP | Download protocol |
| Standard Protocols | |
|---|---|
| Click here to view our Standard Protocols |
Publications
| Species | Application | Title |
|---|---|---|
PLoS Genet Canine Hereditary Ataxia in Old English Sheepdogs and Gordon Setters Is Associated with a Defect in the Autophagy Gene Encoding RAB24. | ||
Dose Response Genome-Wide Identification of Autophagy Prognostic Signature in Pancreatic Cancer. | ||
Cell Tissue Res Rab24 protein levels show dynamic changes in mouse tissues and human cancers. |





















